



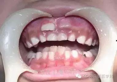
“为什么我会像鲨鱼一样有好多牙齿?”6岁的糖糖正值换牙期,想不到乳牙还没脱落,就有两颗恒牙在乳牙后面挤出来了,这让糖糖看起来就像是有两层牙齿的“小怪物”。原来,乳牙未退同时恒牙生出造成“双层牙”的这种现象叫乳牙滞留,是由于孩子在婴幼儿时期饮食过于精细,乳牙没得到良好的护理所致。宝宝乳牙护理关系到成年后的牙齿健康,本期【BB护理站】告诉粑粑麻麻如何三步走,保护宝宝小贝齿。
孩子成双层牙“小怪物”?都怪饮食太精细
一般情况下,孩子6、7岁时,乳牙就完成使命,自动脱落,随后恒牙逐渐萌出,成为孩子一辈子的好伙伴。但是,有些孩子恒牙已经长出来了,而相应的乳牙却不肯“退位让贤”,恒牙被迫从乳牙后面“委曲求全”,从而形成一前一后两层牙齿。这时候,如果不及时把顽固的乳牙拔掉,就会影响恒牙的正常生长,导致牙齿错位,排列不齐,咬合不正。
生命在于运动,牙齿也一样。牙齿的主要作用就是咀嚼食物,宝宝长出乳牙后,让牙齿多咀嚼食物,多“锻炼”,才能促进乳牙牙根的生长发育,而到了一定时期(6、7岁)它才会自然脱落,这是符合一般自然规律的事情,类似于“瓜熟蒂落”。但是,很多家长担心宝宝吃韧性大的东西噎着,怕硬的食物损伤牙齿,把宝宝的食物都弄得过于精细,青菜切断了吃,苹果削薄片吃,坚果磨粉冲泡着吃。这些精细的食物缺乏纤维,食用时根本无需过多咀嚼,不能充分给予乳牙生理性的刺激,从而让乳牙的牙根和牙槽骨的连接密不可分。恒牙无法取缔对应位置的乳牙,只能“另寻出路”,从乳牙的后方长出,这就形成了双层牙。
俗话说“粗茶淡饭好养人”,过于精细的食物不仅缺失了锌、硒、钙等微量元素,影响宝宝生长发育,还由于太容易吞食而使宝宝乳牙不能得到合理的锻炼。牙科专家建议,家长应该根据宝宝的年龄和乳牙的咀嚼能力,适当地让宝宝多进食一些耐嚼的食物,例如芹菜、玉米、苹果、海蜇、牛肉、花生等。常吃这些耐嚼食物可以增加牙齿的咀嚼能力,通过咀嚼动作牵动咀嚼肌群的运动,加速血液循环,促进牙床、颌骨与面骨的发育,促使乳牙按时脱落,保证以后换牙期顺利换牙。
宝宝乳牙护理 从出生开始
很多人认为乳牙会自动脱落,健不健康、美不美观无所谓。其实不然,乳牙的钙化程度低,不太坚固,如果幼儿时期护理不当,就容易患龋齿。一旦宝宝有龋齿,他的咀嚼功能和消化功能自然容易受到影响,胃肠道无法更好地吸收营养,宝宝的生长发育就会受到影响。另外,宝宝的乳牙不健康,口腔卫生不能得到保证,对日后恒牙的生长也是会有影响的。所以,孩子以后“牙口”好不好,还要看幼儿时期牙齿护理做得是不是到位。
1、口腔清洁,从出生开始
第一步:无论宝宝吃母乳还是奶粉,若“饭后”不漱口,残留的奶就会在口腔里发酵,滋生细菌,从而影响口腔健康。生长环境不好,萌出的乳牙固然会不健康。所以,从宝宝出生开始,妈妈就要注意宝宝的口腔清洁,每次进食后,要喂宝宝些白开水,将附在口腔黏膜上的残留食物冲掉。又或者用纱布蘸点水,给宝宝抹抹上下颚、牙龈和小舌头,这样既清洁口腔、刺激牙床,又可以促使乳牙萌出。
第二步:宝宝乳牙萌出后,更应该做好乳牙的护理。首先应该逐渐戒掉夜奶,因为晚上宝宝吃奶后不便给他清洁口腔,而晚上又恰好是细菌偷偷繁殖的好时机,夜奶不断,宝宝很容易得蛀牙。
第三步:宝宝到一岁半左右,臼齿会慢慢长出。臼齿咬合面比较大,又容易积聚食物残渣,光是清水漱口和抹牙齿已经不能满足清洁口腔的需求了,这时妈妈就要教宝宝早晚刷牙了。刷牙时,对牙齿的里面、外面、咬合面,依序将乳牙清洁干净。
2、养成良好的饮食习惯
第一、喂养要定时定量:让孩子从小养成良好的饮食习惯,加强胃肠道消化功能,消化好、吸收好,孩子的牙齿生长才能更健康,这是一个良性循环。
第二、克服偏食习惯,保证营养均衡:及时给宝宝添加辅食,纠正宝宝偏食的坏习惯,保证宝宝摄取的营养足够、均衡,以保证牙齿的正常结构、形态以及提高牙齿对齿病的抵抗力。另外,宝宝乳牙萌出时应注意补充钙、磷、维生素C等营养元素,这样可以促进宝宝牙齿的发育和钙化,保证牙周组织的健康,减少牙齿病变的可能。
第三、养成正确的吃奶姿势:有些宝宝吃奶的时候,会因为姿势不正确或奶瓶的位置不当,而形成下颌前突或后缩。长期如此,会导致宝宝的牙齿和颌骨畸形,不但会影响宝宝的容貌,还会影响咀嚼功能的发展。宝宝吃奶的时候,最佳姿势是半卧位,奶瓶与口唇呈90度角,同时奶嘴不压迫上下唇。
第四、让牙齿做做运动:出牙期的宝宝特别喜欢咬人或者啃咬硬的东西,这是因为乳牙长出要挤压周边,从而让牙龈组织感到痒痛。这时妈妈可以让宝宝咀嚼一些较硬的东西,例如饼干、烤面包片、苹果片、胡萝卜片等,一方面缓解牙龈的不适,另一方面可以锻炼咀嚼肌,促进牙齿和颌骨的发育。
3、改正不良行为习惯
第一、戒奶瓶,早用杯子:有些宝宝喜欢长时间吸吮空奶瓶,或是含着奶瓶睡觉,这样会使残留在牙齿上的食物残渣长时间不离口腔,促使细菌繁衍,影响牙齿和口腔健康。另外,宝宝经常含着奶瓶,容易造成嘴巴翘、牙齿咬合受影响,甚至嘴巴闭不起来等问题。所以,妈妈应该想办法让宝宝戒掉奶瓶,改用杯子喝奶。
第二、改掉咬异物&舔牙齿的坏习惯:排除婴儿“口欲期”爱用嘴巴探索世界的那个阶段,如果宝宝2、3岁后仍然喜欢吮手指、咬手指甲或咬其他异物,以及换牙期喜欢用舌头舔松动的乳牙,妈妈就应该出面“干预”了。因为这些不良习惯会影响宝宝牙齿的排列,甚至会导致宝宝面部左右发育不对称,发音异常等。
4、按时接受口腔牙齿检查
从宝宝长出第一颗乳牙开始,妈妈就应该让宝宝养成每半年做一次口腔牙齿检查的习惯,发现牙病及早治疗。同时牙医会根据孩子的年龄和生活习惯给出保护孩子牙齿的方法和建议。