原创 伽玛刀张南大夫 2022-07-18 05:00 发表于上海
《Neurosurgical Review》2022 年7月 14日在线发表日本东京 NTT Medical Center Tokyo的Ryuichi Noda , Atsuya Akabane , Mariko Kawashima,等撰写的《囊肿抽吸后分割伽玛刀放射外科治疗大的囊性脑转移瘤:病例系列和文献综述。Fractionated Gamma Knife radiosurgery after cyst aspiration for large cystic brain metastases: case series and literature review》(doi: 10.1007/s10143-022-01835-y.)。

肿瘤囊肿穿刺加伽玛刀放射外科治疗是治疗巨大囊性脑转移瘤的一种合理有效的治疗策略。然而,即使有误吸,靶病变往往超过立体定向放射手术的理想靶区的尺寸。在这种情况下,局部肿瘤控制率和并发症的风险可能是一个关键的挑战。本研究旨在探讨分割GKRS (f-GKRS)能否解决上述问题。
2018年5月至2021年4月期间,连续8例9个病灶的患者在囊肿抽吸后接受5至10次f-GKRS治疗。在整个治疗过程中,根据需要反复抽吸以保持囊肿的大小和形状。病人的特点,肿瘤的放射影像学反应和临床过程回顾使用医疗记录。平均随访时间10.2(2-28)个月。GKRS治疗前平均体积为16.7 (5-55.8)mL,最大直径为39.0 (31-79)mm。经抽吸的平均肿瘤体积缩小率为55.4%。所有患者肿瘤体积均减小,症状均有所缓解。中位总体生存期为10.0个月,1年生存率为41.7% (95% CI: 10.9-70.8%)。局部肿瘤控制率为100%。未观察到与辐照相关的不良事件。f-GKRS治疗抽吸囊性脑转移瘤是一种安全、有效、微创的治疗大型囊性脑转移瘤的方法。
引言
在转移性脑瘤中出现较大的囊性成分是相对罕见的,而且目前还没有针对这些病变的标准治疗方法。伽玛刀放射外科治疗(GKRS)已成为脑转移瘤的重要治疗策略;然而,传统上认为它对囊性肿瘤的影响较差。特别是,直径3cm或体积10ml的囊肿更容易在治疗后发生放射性坏死和其他严重不良事件。由于大囊肿常因其肿块效应而引起神经系统症状,治疗的主要目的是缓解患者的症状。传统上,尽管有潜在的肿瘤细胞扩散风险,肿瘤切除术已用于治疗大型囊性病变。肿瘤囊肿抽吸,使用立体定向手术或Ommaya贮液囊植入,是一种成熟的、微创的替代治疗方法,可以立即缓解神经系统症状,而不会使被包裹的病灶分散。尽管囊肿抽吸降低手术相关播散的风险,但通过开颅手术切除肿瘤被认为与较高的肿瘤外溢的风险相关。然而,抽吸并不是转移性肿瘤的根治性治疗,它可以作为GKRS治疗的一种辅助治疗,因为通过抽吸被包裹的囊液来减少肿瘤体积有助于GKRS治疗。有肿瘤抽吸结合GKRS治疗大型囊性转移瘤有效的报道;然而,即使在抽吸后,肿瘤仍可能比适合GKRS治疗的肿瘤大。萎缩囊肿的不规则形状也使其治疗具有挑战性。以往的报道对肿瘤控制率的结果往往不充分。随着伽玛刀技术的进步,ICON为更大的病变提供了安全分割治疗的选择。在本病例系列中,我们介绍了分割GKRS (f-GKRS)结合囊肿抽吸作为大型囊性转移瘤的治疗策略。本研究的目的是探讨在这些情况下分割GKRS的有效性和安全性。
方法和材料
2018年5月至2021年4月,337例脑转移瘤患者在东京NTT医疗中心接受伽玛刀放射外科治疗(GKRS)。其中,8例(2.4%)9个大型囊性肿瘤接受了Ommaya贮液囊植入和抽吸,然后使用ICON型伽玛刀进行无框架f-GKRS治疗。随访期间使用Leksell Gamma计划(Elekta仪器AB, Stockholm, Sweden)在磁共振成像(MRI)图像上测量抽吸前和抽吸后的肿瘤体积。治疗后的前3个月每月安排随访mri,如果治疗病灶稳定,随访间隔时间最长为3个月。在门诊就诊时,如有需要,还会安排额外的手术,包括CT扫描和Omaya 贮液囊穿刺。使用医疗记录回顾病人的特点,肿瘤的放射反应和临床过程。使用Kaplan Meier曲线分析局部肿瘤控制和总体生存期(OS)。局部肿瘤控制被定义为囊性肿瘤大小的减小或稳定。单纯肿瘤囊液收集不视为肿瘤进展。


放射外科技术
f-GKRS采用热塑性面罩(无框)固定。GKRS治疗分为五个或十个连续工作日。靶体积由MRI T1加权钆计增强图像确定,该图像在第一个分割前一个工作日进行。MRI前从Omaya贮液囊抽吸肿瘤囊肿。使用Leksell伽玛计划治疗计划系统(Elekta仪器)进行治疗计划。在治疗期间,定期穿刺Omaya贮液囊。10次分割的患者在第5次分割治疗当天追加MRI进行中期评估,必要时修改治疗方案。


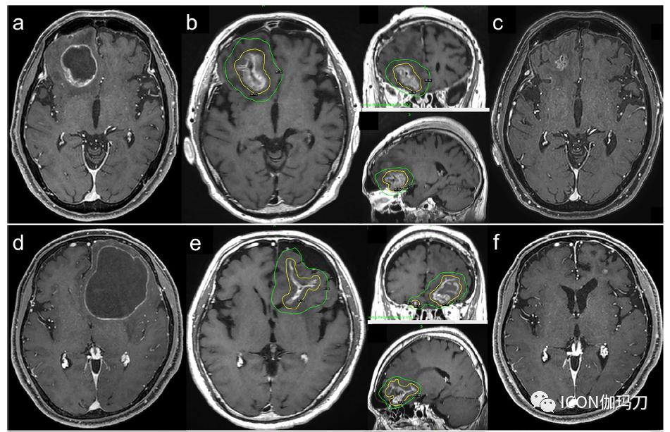
图3轴位增强T1加权磁共振成像(CE-MRI)图像显示位于右侧额叶的一个大的囊性转移(41x36x37 mm, 26.4 mL)。b Ommaya贮液囊抽吸后缩小囊性病变的GKRS剂量计划图像。黄线表示30-Gy的边缘,蓝线表示20-Gy的边缘。最大剂量为42.9 Gy。c GKRS后28个月,肿瘤得到控制。d轴位增强MRI示左侧额叶大的囊性脑转移瘤(79x48x67 mm, 110.8 mL)。e 从Ommaya贮液囊抽吸后缩小囊性病变的GKRS剂量计划图像。黄线和蓝线分别表示35-Gy和20-Gy的边界。最大剂量为48.6 Gy。f GKRS后25个月,肿瘤得到控制。g轴位增强MRI示右侧颞叶大囊性脑转移瘤(28x31x29 mm, 39.4 mL)。h 从Ommaya贮液囊抽吸后缩小囊性病变的GKRS剂量计划图像。黄线和蓝线分别表示35-Gy和20-Gy的边缘。最大剂量为47.3 Gy。i GKRS后10个月,肿瘤得到控制。
放射外科治疗结果
处方剂量为30-40 Gy,最大剂量为42.9-54.1 Gy。每个疗程治疗1-13个病灶(囊肿及其他一般性转移瘤)。只有1例患者的病变超过30个,其中7个(可能导致神经系统症状)被选择并纳入治疗。所有患者在GKRS治疗期间接受了至少一次Ommaya贮液囊穿刺。术后随访至少2个月。GKRS治疗后,对病例3、4、5、6、8行辅助化疗;病例3、5、8接受免疫治疗。MRI平均随访时间9.2(2-28)个月,临床平均随访时间10.2(2-28)个月。未观察到与辐照相关的不良事件。9个病灶的肿瘤体积均得到控制。中位总体生存期(OS)为10.0个月,估计1年生存率为41.7% (95% CI: 10.9-70.8%;图2),肿瘤控制率100%。


讨论
既往报道的囊性肿瘤的平均体积为20.3-35.3 mL;在我们的研究中,由于两个巨大的囊肿(145和110 mL),平均体积是48.2 mL。所有患者均有囊性病变,体积>10ml,直径3cm;因此,其对放疗有抵抗性,放疗坏死风险高。在我们的患者中,考虑到手术相关播散的风险,我们选择了囊肿抽吸加GKRS治疗,而不是肿瘤切除术,据报道,开颅肿瘤切除术的播散风险较高。在f-GKRS前必须将囊肿抽吸,以减少靶病灶的体积。这种治疗方法以前曾被报道(表2)作为一种有效的治疗策略。然而,这种方法的缺点是即使成功抽除囊肿,囊肿仍有很高的复发风险。由于几个月后GKRS的治疗效果明显,治疗后可能出现囊肿的充分复发,需要再次抽吸。此外,肿瘤体积较大,且常呈不规则形状;因此,对立体定向放射外科治疗是不利的。这一行为可能是以往大多数报道中肿瘤局部控制不理想的原因。因此,也应提高脑转移灶的局部肿瘤控制率,f-GKRS可用于这些情况。ICON型伽玛刀允许对较大病变进行分割无框治疗。在以前的报道中,分割治疗与高肿瘤控制率和低并发症发生率相关。然而,过去没有关于f-GKRS用于抽吸囊性脑转移瘤的报道(表2)。我们的治疗结果比之前报道的立体定向囊性肿瘤抽吸和传统单次分割GKRS联合治疗的结果更为有利。与其他报道相比,我们的方法肿瘤控制率有所提高;因此,f-GKRS联合囊性肿瘤抽吸是安全治疗囊性脑转移瘤的一种合理有效的方法。这种策略通过分割辐射剂量和通过Ommaya贮液囊抽吸,以减少囊肿体积来降低放射性坏死的风险,这也防止了治疗期间和治疗后囊内囊腔所需的回缩。
分割治疗的主要缺点是在GKRS过程中囊肿再次扩张(The main drawback of fractionation is cyst re-expansion during GKRS sessions);因此,在治疗期间,由于囊液收集,靶区可能会改变形状或体积(the target may change shape or volume due to fuid collection during the treatment period. )。在这种情况下,有必要再次抽吸,必须重新安排GKRS治疗日程。在我们的病例中,Ommaya贮液囊通过允许重复穿刺贮液囊来解决这个问题。在以前的文章中已经报道了这种设备用于囊性肿瘤,并在实际的临床环境中进行了实践。据报道,肿瘤体积缩小率为52.6-77.9%,这与我们的病例系列一致。在f-GKRS治疗过程中,Ommaya贮液囊可以防止囊液再次收集,保持靶体积、形状,并通过允许间歇吸吸,使靶区与治疗方案相适应。这种方法可以被认为是自适应(adaptive)神经外科的一种。此外,在我们的病例中,在GKRS治疗后还需要重复穿刺Ommaya贮液囊,这也有助于防止因囊肿再次扩张引起的神经系统症状。
这种治疗策略还有其他一些局限性。少数缺点之一是在文献中报道有5.5%的患者可能的Ommaya贮液囊手术部位感染。我们遇到一例慢性Omaya贮液囊感染病例,多次穿刺贮液囊可能与感染相关并发症的风险有关。此外,我们的管理策略是高维护和耗时的。在每一次或每隔几次照射GKRS治疗之前,需要从贮液囊中间歇性抽吸,以保持囊肿处于萎缩状态(体积和形状与初始治疗方案相似)。考虑到所有这些因素,以及由于近年来化疗的快速发展而使预期寿命增加的事实,我们认为,有利的结果仍然超过了这种管理的不利方面。该报告的另一个局限性是研究的人数仍然很少。需要进一步积累病例,纳入更多病例,根据不同的组织学进行细分,可以得到更多的统计和实用结论。此外,对常规方法,即抽吸加单次分割GKRS的前瞻性比较将是未来研究的主题。
据我们所知,这篇报道首次证明了f-GKRS联合囊性肿瘤穿刺的有效性。本报告的新价值是放射外科的方法,即抽吸加分割GKRS。与前面的伽玛刀系统不同,新的伽玛刀ICON可以选择不使用头架,而是通过佩戴定制的面罩进行分割放疗,已经有报道分割GKRS治疗大体积病变的良好结果。在囊肿抽吸后,植入Omaya 贮液囊是完成这种分割放射治疗的辅助技术。通过这种新型的机器和一些技术技巧,治疗效果优于传统的单次分割GKRS联合囊肿抽吸。本报告的意义在于,我们在治疗过程中和治疗后,通过将单纯囊肿穿刺改为间歇性Ommaya贮液囊穿刺,将常规的GKRS治疗方法应用于囊性脑转移瘤的治疗。这是一种自适应放射外科治疗,旨在提高治疗的安全性和有效性。
结论
这是第一篇介绍囊肿抽吸后分割GKRS治疗的报道。f-GKRS联合囊肿抽吸治疗大的囊性脑转移瘤是有效和安全的。该策略应被认为是一种适应放射外科治疗大的囊性脑转移瘤的选择,以克服其他方式的局限性,改善患者的预后。