肿瘤诊断神器
“这个PET-CT检查真是神奇,要是能早点做就好了!也不至于耽误病情这么久……”一位大爷在河北医科大学第一医院核医学科直向王勇主任团队点赞。

反复发烧、咳嗽、头晕,总不见好,多次辗转求医路……
家住河北某县的段大爷今年68岁了,多年来身体一直都比较硬朗。未曾想,今年初断断续续地总是发烧,还伴有咳嗽、咳痰、头痛、头晕等症状。家里人以为就是感冒,过几天就好了,也没当个事儿,但这一拖就20多天过去了,总也不见好,体温也越来越高。家人赶紧带他去当地县医院就诊,拍了胸部CT,提示双肺炎症、双肺多发斑片、团片、结节状高密度病变;右肺门增大;纵隔内气管分叉区团块软组织密度影;纵隔内肿大淋巴结。当地医院按照肺部感染性疾病给予抗感染治疗,均未见明显好转。家人急忙带着段大爷到当地上级医院做了支气管镜检查,仅提示右肺主支气管中叶管腔外压狭窄,粘膜光滑,局部组织咬检病理显示炎性渗出组织中可见退变异型细胞。
辗转多次,最终还是没查出病因。
柳暗花明,终遇“查癌利器”PET-CT显神威
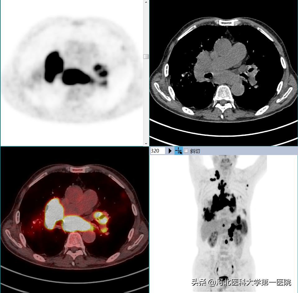
经人介绍,段大爷来到河北医科大学第一医院就诊,经过详细问诊后,医生建议做PET-CT进一步检查。于是在住院第2天,段大爷便到核医学科进行全身PET-CT检查,检查结果显示段大爷双肺有多发大小不等结节状及片状高密度病变,双侧肺门、纵隔、双侧颈部、右侧锁骨上窝、左侧腋窝、腹膜后有多发淋巴结,部分肿大并且融合成团,并且这些病变均有明显的FDG高摄取。

结合临床表现,综合考虑段大爷患有恶性肿瘤性病变,淋巴瘤的可能性非常大。据此,临床医生很快为段大爷安排了经皮右肺病变活检穿刺,最终病理结合免疫组化证实为非霍奇金淋巴瘤(弥漫大B细胞淋巴瘤),肺内病变是淋巴瘤引起的肺浸润。

至此,总算是找到了段大爷一直间断发烧的真正原因,接下来经过医生专业的个性化精准治疗,段大爷很快就退烧了,病情也得到了明显的缓解。
什么是PET-CT?筛查癌症,它到底有多牛?
“PET-CT是目前世界上最先进的核医学分子影像设备。它是PET(功能分子影像)与CT(解剖影像)的优化组合,同时具有PET和CT的功能,可以同时反映病灶的功能代谢和精准的解剖结构,因此在早期诊断疾病的同时,也明显的提高了诊断的准确性。”核医学科主任王勇介绍到。

“我们医院引进的PET-CT是德国原装进口西门子PET-CT,设备档次目前位于全国领先水平。”突出特点有:
1、 精准 。我院引进的是最新一代PET-CT,分辨率达到毫米级,全视野超高清平台提供极精细器官细节显示,并对病灶提供精确的可重复定量分析,极大提高了微小病灶的检出和确诊率。
2、 全面 。通过血管内注射示踪剂,采用动态连续扫描全身,可实现“0”床位重叠,无拼接,同时可实现4D全身动态成像;动态数据分析,跟踪检查精准定位,全身病变无处遁形。
3、 快速 。PET-CT检查快速,最快可3分钟扫描全身。
4、 绿色 。核素辐射总体剂量较低,且在体内代谢快,对身体影响较小,相对安全可靠。
5、 舒适 。作为影像学检查,无任何痛觉和创伤。78cm大孔径进床平稳。
这4类人群适合做PET-CT检查
1、肿瘤高危人群
有肿瘤家族聚集现象者或者接触高危因素的人群。
2、有癌前病变的人群
癌前病变如肝炎、肝硬化、胃溃疡、直肠息肉、宫颈炎等极易在不知不觉中转化为恶性肿瘤,有助于更早发现。
3、肿瘤疑似患者
PET-CT可有效避免出现假阴性和假阳性,为疑难病例提供正确活检部位。
4、肿瘤已确诊人群
PET-CT检查可对肿瘤进行分期,还可确认恶性肿瘤有无转移病灶。
核医学科
先进设备的背后,还有一群“火眼金睛”的幕后英雄,每一项检查,都需要多个环节紧密配合,团队成员各司其职,紧密配合。他们用细致、严谨、专业的态度,为每一位患者健康保驾护航。

河北医科大学第一医院核医学科成立于2012年,现已成为一个以核素检查、治疗为特色,拥有大型先进设备及优秀团队的集医疗、科研、教学于一体的现代化综合科室。科室业务范围有:
1、PET-CT检查项目
全身肿瘤PET-CT诊断与鉴别诊断,特别在恶性肿瘤分期与再分期、放疗前生物靶区勾画以及疗效评估等方面优势明显。心肌缺血性病变心肌活性PET-CT评估。神经变性疾病PET-CT早期诊断和病变严重程度及疗效评估。
2、SPECT检查项目
全身骨显像,对早期转移性骨肿瘤检出敏感。肾动态显像,反映左右分肾血流、肾功能及尿路通畅情况。心肌灌注显像,诊断心肌缺血性病变及冠状动脉重建术前、术后评估;甲状腺及甲状旁腺功能显像诊断甲亢、甲状腺炎、甲状腺结节性质及异位甲状腺、甲状旁腺功能亢进。唾液腺显像判断唾液腺功能及占位性病变;131碘全身显像对分化型甲状腺癌切除术疗效评价及随访。
3、核素治疗项目
89锶治疗骨转移瘤、131碘治疗分化型甲状腺癌和甲亢、32磷敷贴治疗皮肤血管瘤等,上述治疗具有疗效确切、毒副作用及并发症少等优点。