
今天要讲的是孩子们在生活中随时可能发生的一个意外——牙齿外伤。
在0-6岁的儿童中,口腔伤害是第二常见的伤害,几乎占所有身体伤害的20%。
牙齿外伤有两个高峰期,一个是2-3岁,一个是7-9岁 ,都是孩子爱跑爱跳的年龄。

牙齿受伤第一时间我们能做什么?磕掉的牙齿还要不要?还能接回去吗?
很多科普都在宣传一个急救方法,说磕掉的牙齿别扔,泡牛奶里送医院还能接上去继续长。可是,他们并没有说明白,这个方法对某些孩子并不适用。
所以,今天我们就说说不同类型的受伤牙齿该怎么急救、治疗。
哪些牙齿最容易受伤?
乳牙创伤最常发生在2-3岁,常见原因是坠落事故,其中有一半事故是发生在室内。
仔细想想也是这个道理,这个年龄段的宝宝喜欢跑来跑去,又喜欢爬桌子翻柜子。而长出的乳牙又不够结实,因此很容易因为被绊倒,或者从床上、餐椅上摔下来,从而磕伤牙齿。
另一个高峰年龄是7-9岁,一般换完牙3年内恒牙还没长结实,也容易受伤。最常见损伤是上门牙摔断。受伤最常见的原因是摔倒、车祸、打架和运动等。
不管大孩子还是小孩子, 男孩发生牙齿损伤的频率更高 。
孩子们最容易摔伤的是上面两颗大门牙,其次是旁边两颗侧切牙 。其他部位比较少见。

什么情况下牙齿摔伤能接回去?
我看到有些科普举的例子,说2-3岁宝宝磕掉了牙齿,建议赶紧送医院接回去。
简直大错特错。
2-3岁宝宝还是乳牙,乳牙掉了并不适合接回去,因为担心损伤恒牙牙胚。
乳牙磕掉了,牙医更担心的是门牙空出来的空间逐渐变小,会影响恒牙萌出,因此可能给戴牙间隙保持器,而不是把牙塞回去。

牙齿撕脱
科普推荐的泡牛奶啊、泡口水啊,都是针对恒牙的急救措施。
恒牙的撕脱是所有牙齿伤害中最严重的,而且首选治疗方法确实是立即再植。
为保证恒牙能成功接回去,磕掉牙第一时间家长应该这么做:
1、首先,先找到摔掉的牙,捏住牙冠部(注意不是牙根);
2、如果恒牙掉地上沾土了,千万别擦,在冷流动水下短暂冲洗10秒,然后重新放回牙槽中,再让孩子咬住干净棉球或毛巾将牙齿固定住,然后去急诊。
3、如果无法立即植入牙齿,则应将其存储在有助于保持牙周膜纤维细胞活力的介质中。比如泡在冷牛奶或生理盐水中,实在不行含在舌下,或者往杯子里吐口水,把牙齿泡进去也可以。
但是别把牙齿泡水里,因为水会引起牙周膜纤维细胞的渗透性溶解。
4、以上所有动作都要快,牙齿口外干燥超过60分钟,牙根细胞就不容易存活了。
其他类型伤害怎么办?
其实磕掉整颗牙的情况并不常见,常出现的是牙齿摔“歪”了,或者磕断一截的情况。
1、牙齿摔“歪”
摔歪的牙齿通常是牙齿尖往里(舌侧方向)歪。

侧脱位
严重的牙齿可能摔“短”一截,甚至摔没了,整颗牙直接“楔”进牙槽骨里。

入侵式脱位
摔歪的牙齿,一般伴有疼痛、松动、出血,同时出现咬合障碍,家长没有什么急救方法,能做的就是尽快就诊。
脱位幅度小的,医生可能会什么都不做,等牙齿自己复位;也可能手动把牙齿复位,然后等它自己长好;严重的,可能上夹板固定,跟处理骨折一样;再严重的,可能直接拔掉。
2、牙齿摔断
牙齿摔断依旧需要家长先找到掉的那半截牙,不过不用考虑保持细胞活性,所以不用泡牛奶了,找不到掉牙也没关系,尽快送医。
断牙治疗主要看断开的位置有没有暴露牙神经,分牙冠折断、牙根折断和冠根均折断等三种类型。
没有暴露牙神经,处理就比较简单。只需将牙釉质断面较锐利的地方磨光滑,不扎舌头即可。
也可以采用断冠再接的办法,把磕掉的那半截牙冠再粘回去。
如果牙齿摔断之后,牙冠碎了或者找不到了,就在保护牙髓之后,用材料对牙齿进行修复。

图注:断牙未暴露牙神经
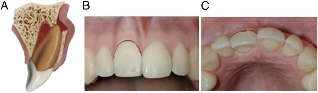
如果牙齿断得比较靠近牙根,或者摔裂了,裂缝延伸到牙根,这些情况可能会伤到牙神经,处理起来复杂一些。


图注:断牙暴露牙神经; 图源:AAP
为了防止牙神经感染,牙医通常采用一些材料,覆盖到这个露出神经的表面,然后再用材料把牙齿外形严密封闭。
如果牙齿磕断时间较长,露出的牙神经比较多,就采取牙髓切断术把受感染的这一部分牙神经去掉,把健康的牙髓保留下来,让牙根继续生长和发育。
如何预防牙外伤?
据研究数据表明,与体育有关的事故占儿童所有牙科伤害的10%至39%。大部分孩子牙齿外伤都是运动时候产生。
所以,对于2-3岁的小孩子,如果要预防牙齿受伤,可以在骑平衡车、滑板车、自行车的时候戴头盔,最好戴全盔,能把下巴也包住的那种,脸栽地的时候全盔能保护到牙齿。

对于更大的孩子,在玩篮球、足球等对抗性强的团体运动时,建议戴护齿,就是NBA里好多球员喜欢嚼的那个。
护齿可以在牙科诊所自己咬模定制,也可以去体育用品商店购买。商店的可能和自己牙齿不太贴合,可以开水煮一煮软化材料然后咬住护齿,有助于形成更好的贴合性。

图源:美联社
牙齿受伤急救算是讲完了,要不要再总结一下今天的知识点?

总结出来好像很简单嘛, 【点赞】 告诉我,你学会了吗?

参考资料
https://pubmed.ncbi.nlm.nih.gov/29600500/
https://pediatrics.aappublications.org/content/133/2/e466#F1
https://www.dentalcare.com/en-us/professional-education/ce-courses/ce04/avulsion