前几天一个30岁左右的女性顾客来到我的诊所,她是一位一岁孩子的妈妈,在整个孕期和哺乳期期间,觉得自己的牙齿不舒服出现了松动的情况,现在孩子一岁了,打算在上班之前先处理一下牙齿的问题
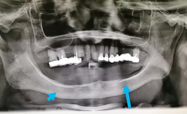
一看她的牙齿,我就知道大事不妙,给她拍完x光片以后,我数了一下,她大概只能留下4~6个牙齿……
她没想到问题那么严重,当场就懵了,接着泪流满面……

这就是我们口腔当中最常见的一种疾病__牙周炎,但是像她这个年龄就那么严重的还是比较少见的,多见于45岁以上的人群,严重者可导致整口牙齿都掉光,也是我国中老年人群当中,牙齿脱落的最主要的原因之一
2002年,我还在医院上班的时候接待一位35岁左右的男性顾客,他在口腔里面仅有十几颗摇摇晃晃的牙齿,拍完片以后,我当天就把他所有的牙齿一次性拔光,有些牙齿拔出来的时候甚至都没有出血……
通过对他从事的职业了解到(这里隐去他所从事的工作),他在工作当中经常会接触到一些相关的化学物品,而他们的防护工作做得很不到位……
无独有偶,我的另一位顾客朋友在矿山工作,在40岁的时候,全口牙快掉光了,只剩下下面几个门牙在那里摇摇欲坠,大家知道在选矿的时候也会接触到一些有毒的化学物品……
尚不能肯定地判断他牙齿掉光的原因就跟这些化学物品有关,但是我真的希望从事类似工作的一些朋友,你们要认真的做好个人的防护工作

赵姨是云南人,在云南一个边陲小县城当老师,老家在大理她的大女儿在南宁某高校读书,并且在我的诊所做了牙齿矫正……
那一年,她来探望女儿,然后又到我的诊所看了牙,她患有一种叫“口腔干燥症”的罕见疾病,口腔里几乎没有唾液,牙齿很容易烂,下排的牙齿已经全掉光
这种干燥症,患者绝大部分为女性,主要表现为口腔干燥,干燥性角膜炎,并且会出现不同程度的舌乳头萎缩,口腔黏膜无光泽,咀嚼和吞咽干燥食物是极其困难

我一个朋友的妈妈今年80多岁了,她的牙齿没有掉光,但是整口牙齿都换上虫牙,那是因为大约在20年以前因患上了鼻咽癌做放射治疗
放疗破坏了口腔中的腺体,所以几乎也没有口水分泌,因为没有口水的冲刷牙齿很容易长了虫牙
他这些虫牙跟一般的虫牙还不太一样,龋坏部位呈碳化状,整个牙齿也变得很脆,容易折断……
牙齿是我们人体最坚硬的器官,但同样它也是很脆弱的,