#大有学问#今天给大家解读一组肾脏疾病,之所以把它们放在一起是因为它们在超声图像上有一些相似又有一些区别,一不小心有可能就下错了诊断,更重要的是日常检查种好多患者朋友们都有疑问,肾结石大家比较熟悉,但是对于结晶和钙化灶,他们经常会问,“大夫,什么是结晶,钙化灶什么意思”,所以接下来就跟大家一块聊一聊这个话题。
咱们先来聊聊肾结“石”和肾结“晶”,之所以把这两个字分别引起来,因为它俩有关系,属于“亲戚关系”,肾结晶是肾结石的前身或者说是前兆,结晶有可能会发展成结石,肾结晶其实本质上就是从尿液中析出的一种晶体物质,当我们平时饮水少,导致尿液浓度高,这种尿结晶就会被析出,时间长了结晶堆积在一起,变大了,就形成了结石。说了一堆还是没点出重点,到底啥区别?咱们用具体的数值量化一下,一般情况下,结晶<3mm,结石>5mm,这下明白了吧,两者大小不同,这是本质的区别,刚才我们说了结晶不一定发展成结石,因为结晶很小,这个阶段如果我们通过多喝水、多运动、多排尿,这些小结晶是有可能随着尿液排出体外的,而结石一般情况下不那么容易排出去,小一点可能会掉到输尿管引起血尿、积水,更痛苦的是这个过程很疼啊,绞痛,翻来覆去,一般都得需要药物或者是碎石后进行排石。说了一堆文字,大家可能还存在想象中,接下来给大家分享几张具体的图像直观的看一下结晶和结石的区别。

图中剪头所示那个亮亮的结构,强回声斑块便是结晶,直径2.7mm

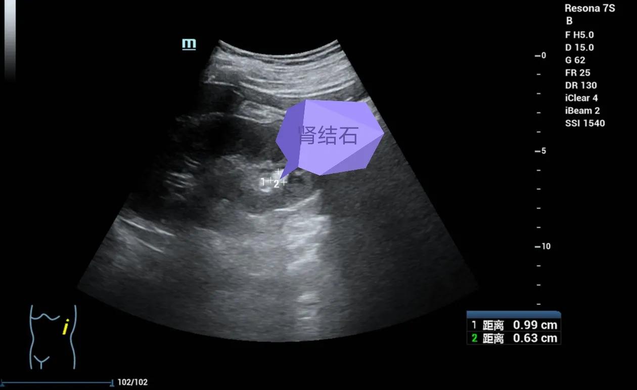
图中箭头所示的亮亮的强回声斑便是结石,大小9.9*6.3mm
通过上述两幅图我们可以看到区别了吧,主要就是大小的区别,回声上类似,都是强回声。肾结石和肾结晶说完了,再说一下肾钙化灶,先看图片,再看区别。

图中这个亮亮的强回声斑就是钙化灶,大小8.8*6.4mm
肾钙化灶同样表现为肾内的强回声斑,看到这大家可能疑惑了,“大夫,刚刚区分了肾结石和肾结晶,这个明白了,一个大一个小,这会肾钙化灶也是强回声斑,这个怎么区别,这不又混在一起了”,大家别着急,图像上他们确实类似,但是发生的位置上他们是有严格的区别的,我们上面说了结晶是尿中析出的结晶,尿液在肾脏形成后通过肾乳头开口流入肾小盏—肾大盏—肾盂—输尿管—膀胱—尿道—排出体外,而肾小盏、肾大盏、肾盂和输尿管结构再加上内部的血管、脂肪结构统一构成了肾脏集合系统,又称为肾窦,这个结构在咱们超声上表现为高回声,而周围的低回声为肾实质结构,这个肾脏的回声之前的内容咱们讲过,大家可以找出来看一看,说了这个知识大家就明白了吧,肾结石和结晶一定是发生在肾脏的集合系统内,而肾钙化灶则发生在肾实质内,这是他们的本质区别,下面再给大家分享几张图,直观的感受一下。



今天的解读就到这里了,希望通过今天的分享大家对于这一组疾病有了一定的了解,咱们下期再见[微笑][微笑][微笑][玫瑰][玫瑰][玫瑰]