
图源于水印
一项刊登在杂志Journal of Cardiovascular Pharmacology and Therapeutics上题为“Study of the Safety of Extracorporeal Cardiac Shock Wave Therapy: Observation of the Ultrastructures in Myocardial Cells by Transmission Electron Microscopy”的研究报告中,来自北京协和医学院的研究者们从临床、微观结构、超微结构等方面初步证实了CWST的安全性,但其长期安全性有待进一步探讨。
体外心脏冲击波治疗(CSWT)已应用于严重冠心病和心力衰竭患者,效果良好,但其安全性仍有争议。其在临床应用和微观结构的安全性已得到证实,但冲击波对心肌细胞超微结构的影响尚不清楚。
本研究将12只Sprague-Dawley大鼠随机分为对照组(NC)和CSWT治疗组(NC+SW)。对心率、血压、血清肌钙蛋白I(TNI)和心脏超声进行评价,并比较心肌炎症反应和纤维化改变。用透射电镜观察心肌组织超微结构的变化。CSWT对大鼠血流动力学指标和血清TNI无明显影响,对左心室功能无影响,未引起心肌炎症反应和纤维化改变。NC组和NC+SW组心肌超微结构损伤评分分别为1.39±0.982和2.42±1.009 (P = .103)。CSWT对心肌超微结构无明显的附加损伤。

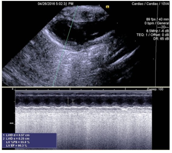
大鼠经胸超声心动图显示经胸超声心动图M型测量左室射血分数和缩短分数

NC_SW组冲击波治疗期间的心电图监测。NC_SW表示冲击波正常控制

冲击波治疗前后大鼠左心室功能

心肌苏木精伊红(HE)及Masson染色

NC_SW组超微结构变化

NC组和NC组的超微结构变化

心肌超微结构损伤评分系统

NC组和NC组心肌超微结构损伤结果
来源:Study of the Safety of Extracorporeal Cardiac Shock Wave Therapy: Observation of the Ultrastructures in Myocardial Cells by Transmission Electron Microscopy.Journal of Cardiovascular Pharmacology and Therapeutics
