
在之前那篇《磁共振发现有半月板损伤,就很严重需要处理?骨科医生:并不是!》文章发布后,后台就有不少年轻的朋友发来私信,询问自己的半月板损伤到底严不严重,要不要手术。
的确,经常会有朋友会问到类似的问题。毕竟,膝关节的外伤,经常会损伤到半月板,尤其是那些热爱运动的朋友们。今天,我就来和你说一说:半月板损伤,手术还是不手术?

#清风计划#
1、半月板,到底是干啥用的?
咱们每天走路、跑步、蹦跳,膝盖里大腿骨和小腿骨就会发生反复的摩擦和撞击。所以,如果中间没有一些减震缓冲结构,可想而知会有多可怕。

是的,半月板其实就是膝关节里面,“垫”在大腿骨和小腿骨中间的2个“软垫”。因为外形弯弯的圆圆的,类似半月形,所以叫半月板。内侧外侧各有一个,这两玩意对于膝盖平时起到的主要就是减震、缓冲并维持稳定的作用。
对于年轻人,半月板损伤主要是因为各类运动导致的急性损伤,尤其是需要负重(比如举重)或急跑急停转弯的运动(足球、篮球、格斗等)。对于岁数大的人,半月板损伤,多是一种慢性的退行性改变。
急性半月板损伤后,患者可能出现膝关节的肿胀、疼痛,并且活动受限。急性期过后,膝关节一般仍有疼痛,甚至出现弹响、卡住动不了等感觉。

2、哪些可以保守?哪些需要手术?
简单说:半月板损伤,不严重的可以保守,严重的就必须手术了。
那么,到底怎么算不严重,怎么算严重呢?这就需要知道半月板的损伤程度分级了:
#真相来了#

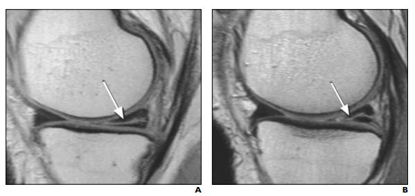
根据磁共振上,半月板的异常表现不同,我们将半月板损伤分为1-3级。其中:
1级损伤:是指半月板最轻微的病变,只是“垫子”里面出了一点点小问题,垫子外观看还是完全正常的,表面都很光滑没受损。
2级损伤:是指半月板中度的病变,损伤范围比1级要大,但是损伤都在内部,没有累及到半月板表面,没有通关节,半月板的表面依旧是光滑完整的。
3级损伤:是半月板较为严重的损伤,指半月板的撕裂样损伤,已经累及到表面,半月板表面不光滑了撕开了。
1级和2级的半月板损伤,都是首选保守治疗(休息、理疗、服药、关节内注射),不用手术;而3级半月板损伤,尤其是年轻人的急性损伤,一般都需要手术,而且需要尽快手术。
3、需要手术的,却没有(及时)手术,可能会出现什么问题?
你起过「倒刺」吧?是的,3级的半月板损伤,就有点类似手指头上起了倒刺。

一开始倒刺只是翘起来一点,如果这个时候及时的把倒刺修剪掉,就完事儿了。如果不管它,随着磨擦挤压,倒刺很可能会越撕越大,不仅会让损伤加重,疼痛加重,后面也需要减掉更多的皮。
半月板也是一个道理。3级损伤,就是撕裂的裂口一直通到半月板表面了,半月板表面不平整。这个时候及时做关节镜手术,把撕裂口休整下,就好了。
如果不及时手术,那么随着我们走路跑跳,半月板会被大腿和小腿骨头反复的挤压磨擦。磨擦磨擦,不一定有魔鬼的步伐,但是一定会把半月板的撕裂口磨擦的更大,让半月板的损伤更为严重。
很可能使得原本还可以缝合的半月板只能部分切除了,或原本只用切一点点的最后必须切一大部分了。
了解更多有趣有用有料的医学科普知识,欢迎继续关注@骨科医生路遥
#健康过大年# #红红火火过大年#