病例介绍
患者年龄:35岁
患者性别:女
简要病史:
进行性记忆力下降和小脑性共济失调1年。
体格检查:
贫血,斜颈,舞蹈样不自主运动,四肢反射亢进,小脑性共济失调。
自诉视力近半年下降明显,4.7/4.6。
辅助检查:

空腹血糖最高可达18mmol/L。
铁蛋白水平极高(高达1381ng/ml,正常范围为10-200ng/ml)。
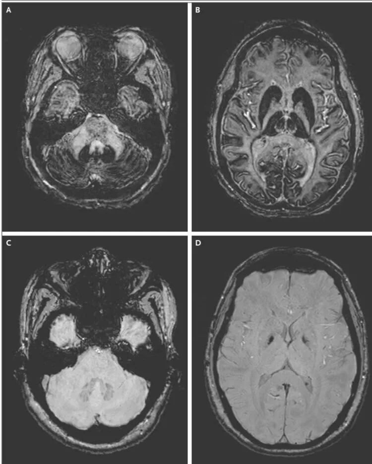
MRI:
小脑,丘脑,壳核和尾状核和肝脏的齿状核在T1和T2加权像呈低信号。

(A、B为患者;C、D为健康对照)
肝活检:
在肝脏中铜的含量稍有增加,铁含量显着增加。
追问家族史,其兄弟姐妹和儿子低血清铜蓝蛋白血症和血清铜降低。
CP基因检测:阳性。
临床诊断:遗传性铜蓝蛋白缺乏症
治疗经过:
祛铁治疗,以减少铁对器官和神经组织的进行性损害。目前临床上祛铁治疗多使用去铁胺,它是一种具有高度亲和力的铁离子螯合剂,可以通过血脑屏障和铁离子以1:1结合。
病例述评
铜蓝蛋白在人体铜的转运和铁代谢中起着重要的作用。遗传性铜蓝蛋白缺乏症是铜蓝蛋白基因变异导致铁异常沉积于脑、肝脏等组织所产生的疾病。临床表现为痴呆、舞蹈样动作、糖尿病、视网膜变性等。
其主要症状的发病年龄如下图

肝豆状核变性
遗传性铜蓝蛋白缺乏症
门克斯病
均可表现为血浆铜蓝蛋白降低。
今天这次笔记以及以前的笔记涵盖了这三种疾病。
英语朗读
The triad includes diabetes,retinal degeneration, and neurologic dysfunction. The leading diagnosis was aceruloplasminemia. Aceruloplasminemia is an autosomal recessive disease that is caused by a mutation in the gene that encodes ceruloplasmin.
In the absence of ceruloplasmin, ferroxidase does not convert ferrous iron to ferric iron,and iron deposition occurs in various organs.
The first sign of disease is often diabetes diabetes mellitus.
上面这段英文朗读在本公众号对应的视频号,欢迎加入
