黄先生有次放假,带着一家三口回了趟老家。
父母分外高兴,自然少不了用美食犒劳。还没等母亲做的菜上桌,黄先生就迫不及待地吃起来。
“哎哟!”突然,黄先生叫了一声。
母亲关切地问:“怎么了?”
黄先生不好意思地说:“咬到腮帮了。”
母亲笑着摇了摇头:“你呀,从小就这样,准是馋肉了。”
吃饭咬到腮帮子,在民间一下被认为是馋肉,真的是这样吗?

“正常”的咬腮帮
人类的牙床有个特点,牙齿咬紧后,大多是上牙包在下牙的外面,这是因为上牙弓比下牙弓大一点,都是马蹄形的。
腮帮由被下牙弓的“小马蹄”保护着,吃饭时上牙咬在下牙外面,腮帮比较安全。
但是,有些“地包天”的人,上牙弓偏小,磨牙长得靠里,咀嚼时离腮帮更近,比较容易咬到腮帮。

哪些人在吃东西时容易咬到腮帮子?
由于个体差异,还有几种人容易咬腮帮:
1、颊部内侧肉厚的人:由于腮帮和牙齿之间的空隙小,咀嚼过程中,如果注意力转移,腮帮子容易被咬。
2、缺磨牙的人:腮帮子会往缺牙处长,时间久了会多出来一小点,咀嚼时容易咬到腮帮。
3、初装假牙的人:因为与假牙咬合、磨合不好,容易咬到腮帮。

病理性的咬腮帮
经常发生咬腮帮,也有病理方面的原因。
1、口腔及牙病
牙齿咬合不良是主要的原因。此外,烂牙、残冠等牙齿问题,由于边缘不整齐,甚至还很锐利,在吃饭或说话时,很容易导致腮帮被咬。
2、神经系统疾病
多由于脑部定位系统受到肿块压迫,引起感觉偏差所致。
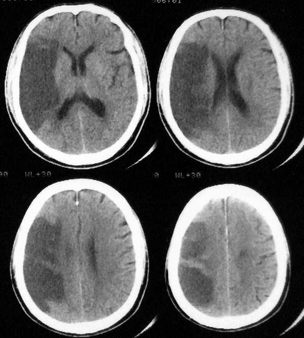
特别要注意的是老年人爱咬腮帮,腔隙性脑梗塞常发生在有高血压、高血脂、糖尿病的老人身上,此病的早期症状中,就有爱咬腮帮的表现,容易被忽视。
原因是大脑局部的微血管发生梗死,脑组织缺血、坏死,使腮帮失去灵活运动能力。
如果发现老人常咬腮帮,或伴头痛、头晕、行走不稳、言语不清等症状,要赶紧就医。咬腮帮后,除了查找原因外,也要处理好被咬的伤口。

老年人“咬腮帮”也可能是脑梗塞引起的
伤口处理方法
- 消毒
咬伤口腔后,要注意清洁和消毒,用生理盐水清洗后,可在伤口上涂碘甘油,或用西瓜霜*剂喷**喷,一般用药4~5天即可愈合。
- 饮食
注意避免辛辣刺激及重口味食物,不吃油炸、烧烤和过于滚烫的食物,以免刺激伤口,吃完东西后宜立刻漱口,多饮水,饮食宜清淡、易消化。
- 药物
经常咬到腮帮者,容易发生口腔溃疡,可口服复合维生素B、核黄素等,小的溃疡可使用黏膜保护剂,如伴有发热、局部肿痛或脓肿形成,需要在医生指导下服用抗菌药物。
如果咬伤的创面出现溃疡长期不愈合、硬块、创面周围不规则的深大溃疡,就要怀疑口腔癌了,需及时就医。
