血栓是什么?
血栓是血液成分凝固而成的小块,一般由不溶性纤维蛋白、沉积的血小板和网住的红细胞、白细胞组成。本来,血液在心血管系统内流动,由心脏搏动而获取了动力,循着全身各级动脉分支向全身的器官组织进发,在毛细血管内向器官组织供应氧气和营养物质,完毕后再由各级静脉逐级回流到心脏,从而完成循环,并周而复始。
流动的血液一旦凝固形成血栓后,就会形成固体状的“绊脚石”,阻挡后续的血流通过。这样一来,不单是这一部分凝固的血液起不到供氧、供应营养物质的作用,而且也阻挡了器官组织得到其它血供的可能。

毛细管管网及与其相连的小动脉、小静脉
哪些地方会形成血栓?
全身的所有地方,只要有血流的地方都有形成血栓的可能。也就是说心脏、动脉、静脉及毛细血管内均可形成血栓。这也难怪,因为人体内形成血栓也是正常生理功能之一。举个例子,要是不小心割伤了手指,或是因为拔牙而形成的创伤出血,如果受到损伤的血管破口处没有形成血栓,那么,就会一直流血不止,人还会有命吗?
当然,正常情况下,体内有形成血栓的机制(即形成血栓),同时也有纤溶的机制(即将凝固的血栓溶解),两者能够达成平衡。当血管受到损伤后,启动了凝血机制,形成血栓将血管破口堵上;随后,纤溶系统启动,将多余的血栓清除,恢复血管正常的血液流动。

血栓在动脉硬化狭窄处开始形成
一旦这种平衡因为这样那样的原因被打乱后,凝血机制不正常发挥,多余的血栓就会成为致病的因素,引起这样那样的问题,有时还会非常危险。
血栓到底有哪些危害?
血栓形成后,它即阻挡了血液的正常流动,相应的器官组织就会缺血缺氧,这是肯定的。部分血栓在形成后可受血流的冲刷而脱落,再随着血流向远处,从而堵塞其它的相对细小的血管,从而诱发新的问题。而这些血栓又可诱发新的血栓形成,如不及时解决问题,就会形成恶性循环。
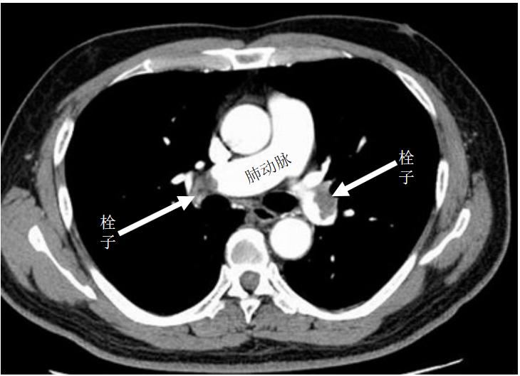
当血栓堵塞心脏的冠状动脉,就会引起心肌缺血,造成心绞痛、心肌梗死;堵住颅内动脉,就会引起脑梗死,出现中风偏瘫等诸多症状;堵住肠道的血管,就会造成肠缺血、肠坏死、肠穿孔;堵住下肢动脉,自然会引起下肢的缺血,同样会引起肢体的缺血坏死,最终可能造成截肢。静脉内的血栓引起缺血的机会不多,但因为阻挡了血液回流,多引起下肢水肿、肠道淤血水肿、腹水等,然而更严重的是,静脉血栓可随血流回流到心脏,再随血流堵塞肺动脉,从而引起“肺栓塞”。

心肌梗死可引起剧烈的压榨性疼痛,不积极抢救可猝死
小的血栓可能只是影响局部小范围,机体还可代偿,比如,我们常听到有“腔隙性脑梗死”,就是小范围的脑梗死,病人可能没有太多症状,恢复也快。但是,如果血栓范围大,后果就会非常严重,比如,我们也常说“大面积脑梗死”、“广泛心肌梗死”、“致死性肺栓塞”等,这些就都是“要命”的严重后果,常常造成“猝死”!

脑梗死常遗留偏瘫,严重的可致死
为什么要谈这个话题?
别以为血栓性疾病离你很远,别以为血栓性疾病只累及老人家。我作为医生,目前几乎每天都在与血栓打交道,遇到的病人,既有老人,也有年轻人,既有男人,也有女人。无论是动脉性的血栓,还是静脉性的血栓,都已经是常见多发病了,没有人生来就领有“免死金牌”,必须警惕我们的不良习惯、不良生活方式对心血管的伤害,必须有一些基本的医学常识,避免“讳疾忌医”,将小的潜在问题演变为难以逆转的巨大伤害!

大面积的肺梗死同样可引起猝死
为什么要谈血栓这个话题,当然是因为血栓危害不小,但同时又可防可治。比方说,不要老是在电脑桌旁、麻将台前不起身,经常性地起来走走,在独处的时候不妨多抬高下肢休息一下,就是预防下肢深静脉血栓的有效办法。再比如说,已经有动脉硬化的患者,要注意适当用药了,有肢体乏力、发冷发凉、间歇性跛行等症状时,可能就需要医生帮你检查一下,及时介入处理,以免血栓形成急性闭塞,这也是预防肢体缺失的办法。
如果出现了血栓怎么办?
有关这方面的问题,我在头条号和“爱课司瑞”微信公众号上已经发表过多篇文章,在头条号还设置了专栏,今后还将继续就相关问题进行不断的解答,请查阅参考并关注后续的文章吧!

植入的下腔静脉滤器拦阻了大血栓,预防致死性肺栓塞
@我要上头条
@青云计划