
栏目介绍

《在线心内会诊室》栏目是由天津医科大学总医院心内科杨清教授团队与心在线合作推出的疑难复杂病例会诊专栏,针对住院患者中涉及多学科会诊的疑难复杂病例,提出诊断难点、治疗矛盾点,邀请各内科、外科、影像科、检验科等相关科室,一起为该疑难病例会诊,明确诊断思路和治疗方案,旨在提高青年医师对疑难复杂病例处置的思路建立能力。
首先由天津医科大学总医院心内科于雪芳主治医师汇报病例。
1 病例概况
主诉:患者李某,男,73岁,主因“头胀伴血压升高20年,控制欠佳半年”入院。
现病史:患者于入院前20年出现头胀等不适,测血压升高,在基层医院不规律降压治疗,血压控制于150/80 mmHg左右。近半年血压控制差,血压高达200/110 mmHg。多次在门诊调整降压药无显效,已联合应用硝苯地平控释片、厄贝沙坦氢氯噻嗪、比索洛尔等药物,且在门诊发现合并低钾血症,最低血钾仅2.5 mmol/L。自觉间断乏力,否认夜尿增多、泡沫尿,否认发作性血压升高、心悸、出汗、脸色苍白或潮红等,有夜间打鼾症,偶有劳力性胸痛。体重无显著变化。为进一步查高血压原因,尤其是原发性醛固酮增多症可能入院,入院前已调整降压药为地尔硫卓和特拉唑嗪。
既往史:陈旧性脑梗塞15年,未遗留严重肢体功能障,现药物治疗;糖尿病史11年,冠心病史5年,5年前曾行冠脉支架置入术治疗,现仍偶有劳力性胸痛;1年前左下肢动脉闭塞,置入支架治疗。其他无特殊。
体格检查:心率68次/分,血压180/100 mmHg,双上肢血压对称,肺清,心音有力律齐。双侧颈动脉区、右股动脉区可及杂音。其余无特殊。
辅助检查
血电解质:血钾2.6 mmol/L,血钠140 mmol/L,血氯100 mmol/L。
肝肾功能、血脂等:丙氨酸氨基转移酶(ALT)31 U/L,天门冬氨酸氨基转移酶(AST)19 U/L,血肌酐60 µmol/L,总胆固醇(TC)2.95 mmol/L,总甘油三酯(TG)1.29 mmol/L,高密度脂蛋白胆固醇(HDL-C)0.81 mmol/L,低密度脂蛋白胆固醇(LDL-C)1.24 mmol/L,空腹血糖6.4 mmol/L。
游离甲功:正常。
超声心动图:左房(LA)45 mm,左室(LV)52 mm,左室射血分数(LVEF)63%,右房(RA)38 mm,右室(RV)33 mm,室间隔厚度(IVS)16 mm,左室后壁厚度(LVPWT) 16 mm,左室壁对称性增厚,肺动脉收缩压(PASP)36 mmHg。
颈动脉彩超:双侧颈总动脉、颈内动脉、颈外动脉、锁骨下动脉起始端、椎动脉中段内中膜增厚伴多发附壁斑块;左侧颈内动脉、左侧颈外动脉管腔重度狭窄。
初筛醛固酮/肾素比值(ARR):血浆醛固酮(ALD)53.9 ng/dl,肾素(PRC)8.3 µIU/ml,血浆醛固酮/肾素浓度比值(ADRR)6.49。
卡托普利确诊试验:抑制前ALD 21.9 ng/dl,PRC 6 µIU/ml,ADRR 3.65;抑制后ALD 35.7 ng/dl,PRC 9.6 µIU/ml,ADRR 3.72。
肾上腺CT:左侧肾上腺体部类圆形结节,考虑腺瘤或增生结节。
肾上腺静脉取血(AVS)结果:左侧A/F 7.8,右侧A/F 0.3,肾上下腔静脉A/F 1.0,肾下下腔静脉A/F 1.8,考虑左侧即患侧为优势侧。
肾动脉CTA:双侧肾动脉起始处管腔轻度狭窄,腹腔干起始处管腔重度狭窄,肠系膜上下动脉起始处管腔轻度狭窄。
2 病例讨论
心内科于雪芳医师
本例患者从高血压角度分析,是一则典型的需要进一步核实高血压病因的病例,即进行继发性高血压筛查的病例。主要理由如下:难治性高血压、老年患者近期血压明显上升、高血压合并严重低钾血症。而且,该患者合并严重动脉粥样硬化性心血管疾病,有脑梗塞史、冠心病史、冠脉支架置入史、下肢动脉闭塞、下肢动脉支架置入史、糖尿病史。查明原因、良好控制血压对患者预后改善意义重大。该例高血压病因筛查的主要方向是原发性醛固酮增多症、肾动脉狭窄和肾性高血压。
心内科边波医师
患者是典型的高血压合并低钾血症,主要从肾素和醛固酮水平进行鉴别诊断。如为低肾素高醛固酮,应考虑原发性醛固酮增多症;如为高肾素高醛固酮,应考虑继发性醛固酮增多症,常见原因有重度高血压、肾动脉狭窄和肾素瘤等;如为低肾素低醛固酮,可为Liddle综合征、库欣综合征等。
因此,在鉴别诊断时,应至少考虑原发性醛固酮增多症、库欣综合征、表象性盐皮质激素过多综合征、Liddle综合征、先天性肾上腺皮质增生症、继发性醛固酮增多症(肾素瘤、肾动脉狭窄、原发性高血压控制欠佳)、甲状腺功能亢进等,再应用各种针对性检查除外上述特殊继发性高血压,部分原发性高血压也可表现为高血压合并低血钾。
2016年中国原发性醛固酮增多症诊断治疗的专家共识提出,原发性醛固酮增多症诊疗流程见下图。

原发性醛固酮增多症诊断流程。
从前述的检查结果看,本例是典型的原发性醛固酮增多症(腺瘤型),按步骤完成了ARR初筛、卡托普利负荷试验、肾上腺强化CT分型定侧、AVS确定功能。这样的病例指南建议,下一步应行腹腔镜手术切除肾上腺腺瘤。
麻醉科郑宇欣医师
从前面两位内科医生的角度讲,这例患者具有外科手术的适应证,之前心内科也已经请泌尿外科医生进行过评价。外科意见也是具有适应证,但该患者的合并症比较复杂,希望麻醉科评价外科手术风险。从麻醉学科角度讲,这例患者确实是围术期心脑血管事件高危的病例。主要理由如下:老年患者,合并陈旧性脑梗塞、颈动脉狭窄、冠心病、冠脉支架置入术后、外周血管闭塞、外周血管支架置入术后、糖尿病、高血压,且需要长期应用抗血小板药物。因他的外科手术风险高,需权衡利弊,慎重考虑行外科腹腔镜手术。
介入放射科付殿勋医师
我向各位医生介绍一种治疗肾上腺腺瘤的肾上腺射频消融技术。目前我科已经引进该技术。肾上腺热消融治疗(微波/射频消融),利用热原理使腺瘤细胞高温条件下变性坏死,达到灭活腺瘤的目的。由于创伤微小、效果确切,热消融治疗在恶性肿瘤(肝癌、肺癌)治疗中应该广泛。
因消融范围精确,最小消融范围7 mm,能尽量保护正常腺体组织不受损伤,在腺体肿瘤消融方面也应用颇多,如甲状腺、乳腺、肾上腺肿瘤等。其中,肾上腺肿瘤的微波消融始于1996年,射频消融始于2000年,具有创伤小、花费低、住院周期短、保护正常肾上腺组织不受破坏的优势。
心内科孙跃民教授
经多学科讨论及与患者充分沟通、知情同意下,我们为该患者选择了肾上腺腺瘤射频消融治疗。手术由我院介入放射科范勇、付殿勋团队执行。下面请付殿勋医生介绍手术经过和随访情况。
介入放射科付殿勋医师
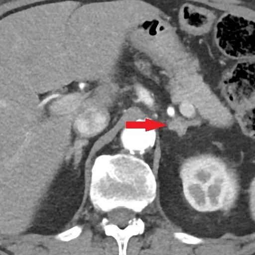
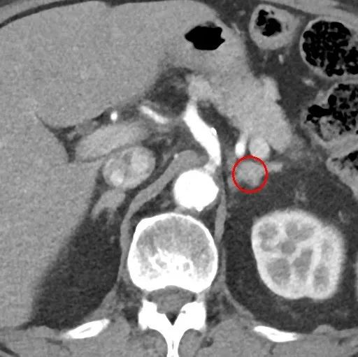
术前肾上腺增强CT检查:左侧肾上腺腺瘤。

图1. 红色箭头指向左侧肾上腺腺瘤。

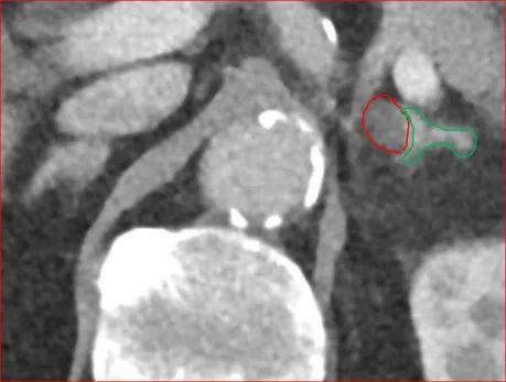
图2. 红色圆圈指示左侧肾上腺腺瘤。
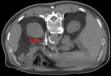
肾上腺腺瘤微波消融术中

图3. 左侧肾上腺腺瘤(红圈)。

图4. 微波针穿刺到位。

图5. 肾上腺示意图。

图6. 微波针实物。

图7. 微波消融术中。
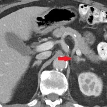
肾上腺腺瘤微波消融术后一个月影像复查
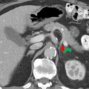
术后肾上腺CT增强检查:左侧肾上腺腺瘤完全灭活、无强化(红色区域);正常肾上腺外侧肢保存,可见强化表现(绿色区域)。

图8. 左侧肾上腺。

图9. 肾上腺腺瘤无强化(红色)。

图10. 肾上腺外侧肢保存(绿色)。
表1. 肾上腺腺瘤微波消融术后一个月转归对比

检查结果一目了然,该患者经肾上腺腺瘤射频消融治疗后,临床指标充分缓解,血压得以控制,血钾在不使用补钾药物和螺内酯情况下恢复正常,血浆醛固酮下降、肾素上升,ARR比值恢复正常。
心内科孙跃民教授总结
天津医科大学总医院心内科高血压病区一直以来与院内多学科之间密切合作,共同发展。依托全院各科强大的综合实力,不断开发、引进、转化疑难高血压诊治新技术,为天津市及全国患者服务。本例患者进行的肾上腺腺瘤射频消融术,在国内外开展尚少,因此也需要总医院高血压团队不断摸索总结,尤其是手术的适应证、禁忌证、射频过程的细节、微创介入过程中的麻醉配合和围术期血流动力学管理、术后随访内容等,目前应逐步建立自己的工作流程。
作者简介

于雪芳,医学博士,天津医科大学总医院心内科主治医师,主要研究方向为高血压和心力衰竭;兼任中国医师协会高血压专业委员会第二届青年委员,天津市医师协会高血压专业委员会第二届委员,天津市心脏学会高血压和心力衰竭专业委员会委员,天津市心脏学会内分泌与心血管病专业委员会委员,《中国慢性病预防与控制》杂志编委,国家心血管病中心高血压学院讲师,天津医科大学讲师;发表SCI论文多篇,核心期刊论文多篇。
-
在线心内会诊室丨这种病并不罕见,这是心内科近期检出的第2例
-
在线心内会诊室丨水肿、高血压、泡沫尿,门诊著名专家说是疑难杂症?
-
在线心内会诊室丨进食后憋胀感、蛋白尿,诊断Loeffler心内膜炎?
-
在线心内会诊室丨高血压合并低血钾女性,诊断原发性醛固酮增多症?
-
在线心内会诊室丨新妈妈呼吸困难、下肢水肿,她怎么啦?
-
在线心内会诊室丨年轻姑娘血压升高为哪般?
-
在线心内会诊室丨肺栓塞后反复呼吸困难,她到底怎么啦?
-
在线心内会诊室丨当经皮冠脉腔内斑块旋磨术遇上慢血流……
-
在线心内会诊室丨“坎坷”的心路历程:心脏骤停、消化道出血,复杂高危ACS患者介入治疗终成
