颅脑外伤术后脑积水,颅骨修补引起脑积水及其症状均加重,脑积水分流术后引起颅内感染治疗正常1例
患者男,65岁,安徽省霍邱县人。
一、李小勇脑脊液科入院前病史
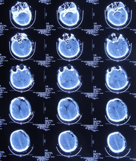
患者2019年7月10日骑电动自行车不慎与大货车相撞,当时意识模糊,可简单对答,四肢可见活动。由120急送至当地安徽省六安市某医院,行头颅CT示大脑多发挫伤(片子丢失),给予甘露醇等脱水治疗,效果差,意识明显加重,呼之不应,呈昏迷状态。当日急转入上级的安徽省某知名省级三甲医院,行头颅CT( 图-1 )示左颞叶脑挫伤伴血肿形成,右额叶脑挫伤,蛛网膜下腔出血,脑疝。

图-1: 2019年7月10日术前头颅CT
当日急诊行“左颞叶血肿清除+去骨瓣减压术”,术后当日复查头颅CT( 图-2 )呈术后改变。术后药物营养脑细胞、降颅压、消炎等治疗。

图-2: 2019年7月10日术后头颅CT
术后第10天自行睁眼,不能言语,可见肢体活动,医生指导康复锻炼,患者意识逐渐好转。
左颞叶血肿清除+去骨瓣减压术后第41天,即2019年8月20日,言语功能变好,但言语仍不清,需双侧搀扶下可缓慢行走。
左颞叶血肿清除+去骨瓣减压术后第45天,即2019年8月24日,复查头颅CT( 图-3 )示颅脑术后改变,脑室基本“正常”,脑室周围稍水肿。

图-3: 2019年8月24日头颅CT
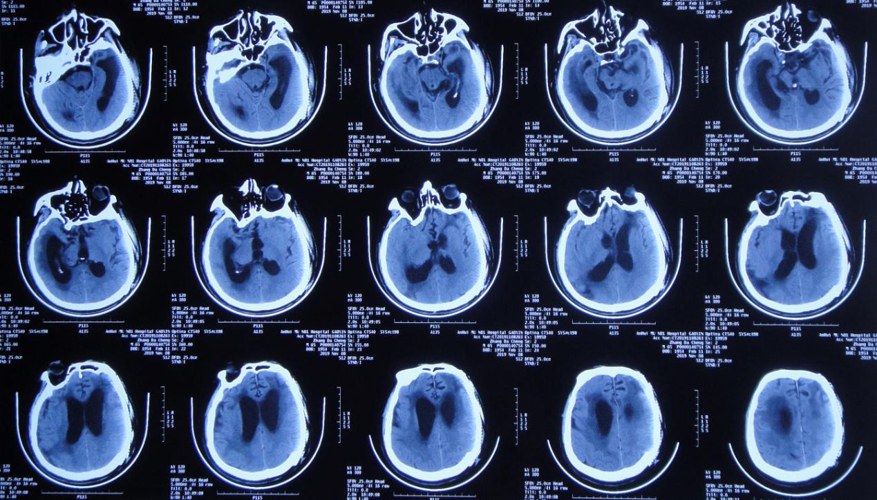
左颞叶血肿清除+去骨瓣减压术后第52天,即2019年8月31日,复查头颅CT( 图-4 )示脑室较前无明显变化,脑室周围仍稍水肿。

图-4: 2019年8月31日头颅CT
左颞叶血肿清除+去骨瓣减压术后第63天,即2019年9月11日患者言语较前清晰,单侧搀扶下可行走,复查头颅CT( 图-5 )(双颞增大)脑室较前仍无明显变化,但脑室周围水肿稍加重。

图-5: 2019年9月11日头颅CT
左颞叶血肿清除+去骨瓣减压术后第99天,即2019年10月17日患者言语基本清晰,可独立缓慢行走,复查头颅CT( 图-6 )示:颅脑术后改变,脑室较前无变化,脑室周围水肿较前无变化。

图-6: 2019年10月17日头颅CT
左颞叶血肿清除+去骨瓣减压术后第106天,即2019年 10月24日行颅骨修补术。
颅骨修补术后第5天即2019年 10月29日复查头颅CT( 图-7 )呈颅骨修补术后改变,脑室较前无变化。

图-7: 2019年10月29日术后头颅CT
颅骨修补术后第14天,即2019年 11月8日患者出现双下肢力量反而较前减退(注:本人观点最好不要先补颅骨),行走需1人搀扶,复查头颅CT( 图-8 )示脑室较前无明显变化(但双颞角较前稍扩大)。

图-8: 2019年11月8日头颅CT
医生嘱患者加强康复锻炼,但是双下肢力量反而更逐渐继续减退,且意识也加重,由原来清醒的状态又逐渐变为嗜睡。
患者意识进一步恶化,颅骨修补术后第34天,即2019年 11月28日,患者意识由嗜睡变为昏睡状态,复查头颅CT( 图-9 )示脑室较前稍增大,脑室周围水肿稍加重。

图-9: 2019年11月28日头颅CT
意识逐渐恶化脑室不断扩大,2019年12月4日行右侧脑室钻孔外引流术,术后当日复查头颅CT( 图-10 )呈脑室钻孔外引流术后改变。

图-10: 2019年12月4日术后头颅CT
脑室钻孔外引流术后第2天,意识由昏睡好转为清醒,言语稍模糊,家人辅助下可坐立。
为预防引流管导致颅内感染,第1次脑室钻孔外引流术后第15天即2019年12月19日更换脑室外引流管。
更换脑室外引流管后第14天,颅骨修补术后第70天,左颞叶血肿清除+去骨瓣减压术后第176天,即2020年 1月2日,行脑室腹腔分流术(术中拔除原脑室外引流管)。术后第2天复查头颅 CT( 图-11 )呈脑室腹腔分流术后改变。

图-11: 2020年1月4日术后头颅CT
脑室腹腔分流术后第5天,颅骨修补术后第75天,左颞叶血肿清除+去骨瓣减压术后第181天,即2020年 1月7日患者出现高热,体温39.1℃,复查头CT头颅( 图-12 )与2020年1月4日对比未见明显变化。

图-12: 2020年1月7日头颅CT
当日行腰椎穿刺见淡黄色脑脊液流出,留取脑脊液送常规、生化、细菌培养。并行腰大池置管持续引流,盐酸万古霉素注射夜抗感染及鞘内注射。
腰大池置管引流术后第3天,脑脊液细菌培养结果示“表皮葡萄球菌”。患者体温由高热降至低热,体温37.9℃。
但腰大池置管引流术后第9天,即2020年1月16日,突然呈昏迷状态,急查头颅CT( 图-13 )较2020年1月7日未见明显变化。

图-13: 2020年1月16日头颅CT
腰大池持续引流,药物抗感染及鞘内注射等治疗。但患者仍有低热,呈昏迷状态。腰大池置管术后第10天,即2020年1月18日,复查头颅CT( 图-14 )较前仍未见“异常”。

图-14: 2020年1月18日头颅CT
为预防腰大池引流管感染,于腰大池置管术后第12天给予拔除。腰大池置管拔除术后第3天即2020年1月23日,复查头颅CT( 图-15 )较2020年1月18日未见明显变化。

图-15: 2020年1月23日头颅CT
医生遂给予积极的治疗,但病情仍未见好转。家属万分焦虑,医生推荐至北京的李小勇脑脊液科。
二、李小勇脑脊液科治疗经过及结果
2020年1月31日(即腰大池置管引流术后第24天,脑室腹腔分流术后第30天,颅骨修补术后第100天,左颞叶血肿清除+去骨瓣减压术后第206天)由救护车转运住入北京北亚骨科医院的李小勇脑脊液科。
入院时:体温高达38.9℃,呈昏迷状态,疼痛刺激时四肢未见活动;颈稍抵抗,双下肢Babinski征未引出( 图-16 );头颅CT( 图-17 )示脑室腹腔分流术后改变,脑室扩张,脑室周围水肿。

图-16: 入院时昏迷

图-17: 2020年1月31日头颅CT
入院第2天,即2020年2月1日行右侧脑室外引流术,术中拔除原脑室腹腔分流管,术后当日复查头颅CT( 图-18 )呈术后改变。

图-18: 2020年2月1日头颅CT术后
右侧脑室外引流术后第3天,即2020年2月3日,自行能睁眼,并可见肢体活动( 图-19、20 )。家属看到病情好转面露笑容。

图-19: 2020年2月3日

图-20: 2020年2月3日
右侧脑室外引流术后第4天,即2020年2月4日,脑脊液及分流管导管头(脑室端)细菌培养均示表皮葡萄球菌。
经过17天的治疗,于2020年2月18日行脑室腹壁外引流术,术后当日复查头颅CT( 图-21 )呈脑室引流术后改变,脑室较前缩小,脑室周围水肿减轻。

图-21: 2018年2月18日术后头颅CT
患者病情进一步好转。脑室腹壁外引流术第17天,脑室外引流术后35天,即2020年3月6日,开始可以语言交流,但口齿稍模糊,家人辅助下已能站立( 图-22 )。

图-22: 2020年3月6日
2020年4月27日,复查头颅CT( 图-23 )示脑室系统基本恢复正常。于2020年4月28日(即入院第88天,脑室外引流术第87天,脑室腹壁外引流术后69天)行脑室腹腔分流术,术后病情恢复良好。

图-23: 2020年4月27日头颅CT
经过李小勇脑脊液科98天的精心治疗,患者于2020年5月8日出院。出院前查头颅CT( 图-24 );出院时已能独立行走( 图-25 )。

图-24: 2020年5月7日出院前头颅CT

图-25: 2020年5月8日出院时
三、出院后随访
出院后14个月,即2021年7月10日,患者和家人从安徽老家到湖南长沙旅游时发来图片( 图-26 )及视频:患者意识清,与人交流正常,正常行走,日常生活完全自理,并时常在村里帮乡亲们写礼单账单。

图-26: 2021年7月10日
(完)