
“疫时寻理”病理网络教育系列课程第五期黑色素瘤专场已于4月12日在医脉通网络会议直播平台顺利进行。五位大咖:郑州大学第一附属医院李文才教授、复旦大学附属华山医院陈连军教授、中国医学科学院皮肤病研究所陈浩教授、空军军医大学西京医院王雷教授、中山大学附属第一医院李扬教授在线直播,吸引了3千余名观众在线观看,直播时长近4小时,为广大病理科医生带来了一场黑色素瘤病理学习与交流的学术盛宴。
直播回顾
首先,李文才教授开场,对本场的四位分享教授及本期相关讲题进行了简单介绍。他强调,黑色素瘤在临床上较为罕见,且患者群体比较分散,因此,基层医院做好诊断尤为重要。本期讨论的主题为黑色素瘤,四位专家将分别进行深入讲解,与各位病理同仁一同探讨其病理诊断。本次直播设计注重“practical”,采用病例带讲+知识点串讲的形式,更加强调诊断的实操性,希望可以帮助病理医生尤其是基层医院医生提高病理诊断水平。
陈连军教授:良性黑素细胞增生性疾病的诊断
陈连军教授从黑素细胞来源、HE以及IHC特征开始,为我们讲解了良性黑素细胞增生性疾病。临床上,常见的良性黑素细胞增生性病变包括黑子、先天性痣、获得性痣(发育不良痣、Spitz痣)、蓝痣及其他真皮内黑素细胞病变。陈教授通过展示丰富的病理图片,为我们阐述了以上每一种良性增生性疾病的特点。
在讲到先天性黑色素痣时,陈教授引用了西京医院皮肤科高天文教授的研究结果,提到中国的黑色素瘤有13%来源于先天性色素痣,一些良性增生性病变有较高的恶性可能,因此,及时、精准的病理诊断显得尤为重要。另外,陈教授强调,病理表现必须与发病部位、疾病外观等相结合,才能更好地进行良恶性疾病的鉴别诊断,避免误诊。
亮点:良性黑素细胞增生性疾病诊断要点小结
➤ 熟悉诊断标准,准确判断镜下所见
➤ 正确看待异型性(结构/细胞学)和核分裂相
➤ 注意非典型性病变和先天性痣的恶性潜能
➤ 病理与临床结合,注意随访
➤ 对报疑的病理,需连续切片,同行专家间会诊
陈浩教授:良恶性黑素细胞肿瘤的鉴别诊断
陈浩教授以一例65岁男性的左下肢多发转移性黑色素瘤为例,指出,部分黑色素瘤患者在早期便已出现转移,因此,针对良恶性黑素细胞肿瘤进行鉴别诊断是非常重要的。他从临床表现、皮肤镜表现、组织学改变、免疫组化和分子生物学5个方面分别进行讲解,并提到以下皮肤黑色素瘤的诊断难点包括特殊部位痣 vs 黑素瘤、原位黑素瘤、甲黑素瘤、Spitz痣 vs Spitz样黑素瘤、痣 vs 痣样黑素瘤等。
亮点1. 良性黑素细胞中3种不同类型的组织学表现

亮点2. 亲汗腺分布的特点及其重要性
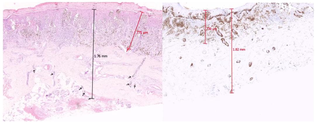
亲汗腺分布特点常见于亚洲人群,可在肢端痣及肢端黑色素瘤中看到,也可见于汗腺导管及分泌部等。

图为不同标准下的不同测量结果
黑色素瘤累及汗腺时,其不同标准下的测量结果容易影响疾病的分期。若按AJCC第8版所示,患者不需进行前哨淋巴结活检;但是,若按照汗腺深度进行测量,则患者应当进行前哨淋巴结活检。AJCC指南提到,应在病理报告中体现累及汗腺的深度,这一点需要我们在临床工作*特中**别注意。
王雷教授:甲黑素细胞肿瘤的临床和病理诊断
王雷教授指出,指甲病理诊断的难点包括不好取材、解剖不清、不好制片等。他带领大家一起认识了甲(Nail unit)的正常解剖结构。临床上,甲黑素细胞疾病可分为甲黑素斑/甲黑子(Nail melanotic macule,良性)、甲色素痣(Subungual nevus,良性)、甲黑素瘤(Subungual melanoma,恶性)3类。
亮点1:甲黑素细胞疾病不同分类的临床和病理特点
|
分类 |
临床特征 |
病理表现 |
|
甲色素斑/甲黑子 |
单发/多发,常发生于有色人种; 颜色淡,条带均一,界限清楚。 |
黑素细胞功能活跃,数量大致正常 |
|
甲色素痣 |
多见于儿童,也可见于青年人 表现为均一颜色的黑色或褐色条带 两侧边界相对清楚 少数为先天性皮疹颜色不均一 |
交界痣居多,也可形成混合痔; 多数位于甲母,也可位于其他部位; 增生的黑素细胞聚集成巢或有成巢趋势; 多位于基底层,无Paget样分布 |
|
甲黑素瘤 |
多发生于成年人,儿童及其罕见 多位于手足第一指,其他指也可发生 多为单发皮疹 早期表现为甲黑线,色不均,边界不清 晚期累及周围皮肤 少数无色素,容易误诊为炎症 |
早期病理为散在单个黑素细胞增生,细胞深染,早期可出现Paget样分布; 晚期病理同肢端黑素瘤 |
王雷教授还提到,在免疫组化中,SOX10(核着色)和Melan-A(胞浆着色)染色有助于辨认黑素细胞,S100、HMB45不适合用于指甲染色,而Ki-67在疾病早期对于疾病诊断意义不大。最后,王教授详细地讲述了甲病理检查的几项要点,包括选择合适的患者、得到足够大的标本、尽量避免环钻和挤压、正确的包埋方向以及指甲软化等。
李扬教授:皮肤黑色素瘤的规范化病理诊断
李扬教授首先带领大家学习了常用的组织学诊断术语,如雀斑样增生、派杰样播散、水平生长期、垂直生长期、Breslow 厚度、Clark水平分级、肿瘤浸润淋巴细胞、肿瘤消退、微卫星转移、外科切缘、前哨淋巴结等,分别介绍了其概念及临床意义。
随后,李教授讲述了大体标本的处理,包括临床大体信息、标本类型、标本固定、标本检查和取材、前哨淋巴结检查、区域淋巴结检查等,并强调了取材的注意事项。
亮点1:病变部位的分类与特点
➤ MM按照发生部位分为肢端型、黏膜型、慢性日光损伤部位型和非慢性日光损伤型。
➤ 不同类型与其特定的基因变异有关。BRAF V600E突变常见于躯干和四肢的非慢性日光损伤部位的肿瘤;而KIT基因异常在肢端和黏膜部位黑素瘤中最常见。
➤ 提供明确的病变部位,有助于根据不同的分子学异常为个体化靶向治疗提供帮助。
随后,李教授介绍了皮肤黑色素瘤常见的4种病理组织学分型,以及其对应的黑色素瘤的主要亚型;影响其分期的重要指标,如溃疡形成、核分裂活性等,并详细介绍了AJCC指南更新的黑色素瘤TNM分期。
亮点2:黑色素瘤的免疫组化和基因检测
➤ 免疫组化抗原:
-
分化抗原:Melan-A、S100、HMB45、MITF
-
进展/增生抗原(协助良恶性判断):Ki-67、cyclin D1、P16
-
Melan-A、S100、MITF(+)辅助判断细胞起源;HMB45(+)、Ki67>25%、P16(-)辅助判断良恶性;需综合不同指标进行判断。
➤ 基因检测:
-
诊断相关:RREB1/MYB/CCND1/CEP6(FISH)
-
靶点治疗相关:BRAF V600E突变(靶点药物:维莫非尼);C-KIT突变(靶点药物:甲磺酸伊马替尼)
最后,李教授强调了规范与准确的皮肤病理诊断报告的意义及重要性,并指导大家如何使之完整与规范化。
直播最后,五位专家对直播中大家存在疑惑的问题一一进行了解答,帮助大家更好地识别黑色素瘤。
病理诊断是一个“如切如磋,如琢如磨”的过程,要求我们不放过任何一个细节,只为寻求“真相”,希望本期直播能为大家解决临床实际问题提供帮助。
固定布局
工具条上设置固定宽高
背景可以设置被包含
可以完美对齐背景图和文字
以及制作自己的模板
本期回放时间轴
