大家如果有关于脚部美观的问题,可以在悟空问答提问,邀请我来作答,我会尽量认真回答大家的问题。这是一个来自知友的问答,作答时我的回答。图一来自知友的照片。
感觉小脚趾外面邦邦硬。
我从小买鞋子就难,好看的鞋子基本上没希望穿上,穿上也不好看,偏瘦版型的鞋子完全不可能,正常版型的还要碰运气。运动鞋正常版型的有的都感觉挤的慌。
两只脚都是图上这样子。

所谓脚肥
答主为专门的大脚骨手术医生,依据你脚的情况大致讲一下你的形成的情况以及个人建议:
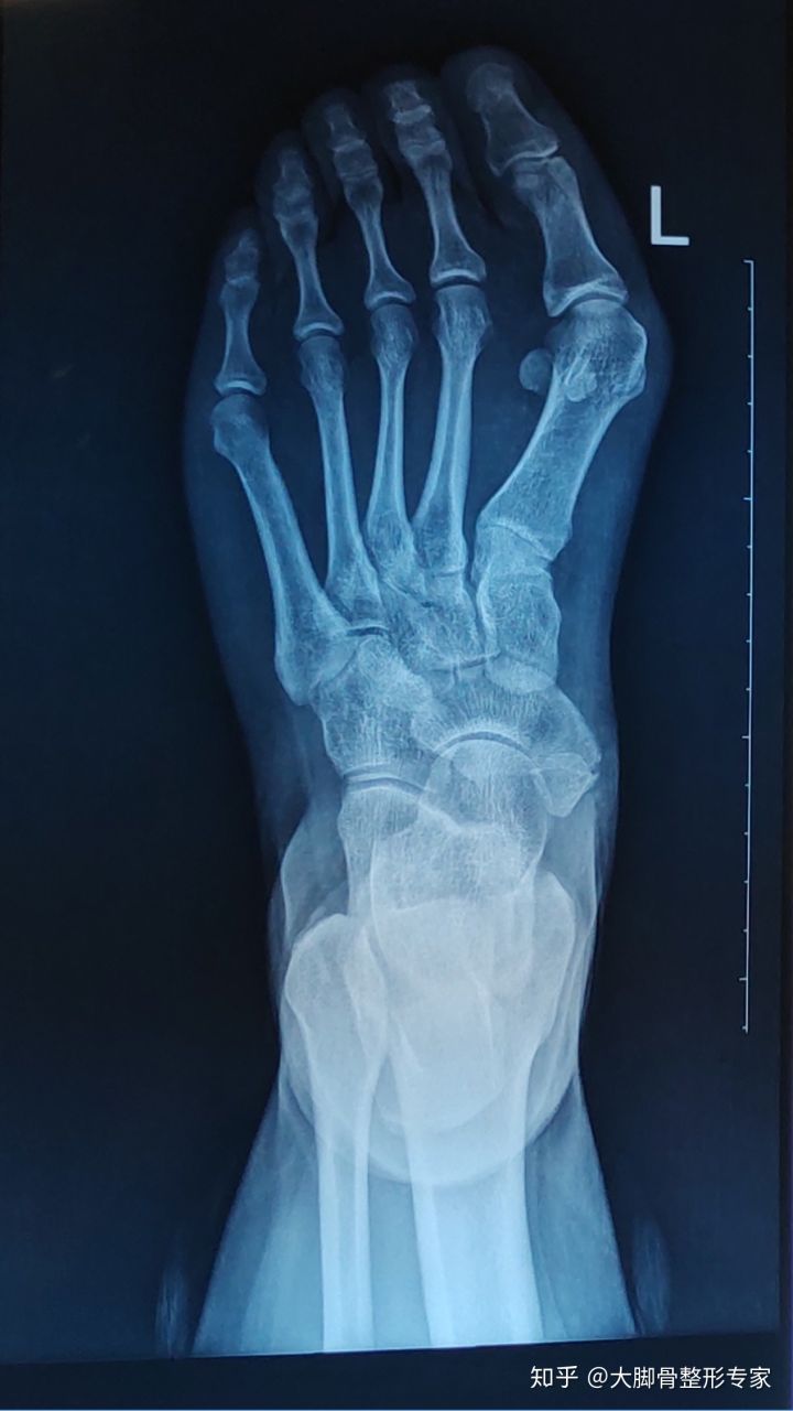
题主小拇趾外侧有个明显的凸起,摸上去硬邦邦的,这个俗称小脚骨,我们看到的外观其实是里面骨头的原因,如下图:

大脚骨和小脚骨X光片
究其原因是里面的第五跖骨向外侧偏斜,与向内侧偏斜的第五趾骨形成犄角,表现出来的就是小脚骨。如下图所示,请看造成局部凸起是因为本该在中轴线上的骨头形成了犄角。

拇外翻是里面的骨头长歪了
从脚的外观来看,也稍有一点大脚骨,但是轻微。你年龄应该不大,给如下建议:
平时尽量穿宽松舒适的鞋子,以前足较宽的鞋子版型为主,尽量少穿或不穿高跟鞋尖头鞋,以免加剧大脚骨和小脚骨的发展。尤其是高跟鞋,哪天我有时间再细细说一下高跟鞋的影响。不如我现在传一段小视频吧。
视频加载中...
高跟尖头鞋导致拇外翻所以建议平时穿前面宽一些的那种鞋子,以免挤压双侧导致局部疼痛。
至于是否手术,虽然我是专门靠做手术吃饭的大脚骨医生,但是我并不建议每个人都选择手术,手术毕竟是创伤,有一定的怠工期,且费用不低,如果没有找对人,或许还不能达成预期的效果,所以手术在早期或者说一辈子,都不是必要选择。
不管是大脚骨,还是小脚骨,都会发展,但是其发展较慢,多长达数年,十数年,数十年才可逐渐缓慢发展为更严重一些的程度。
如果自己能够适应穿宽松舒适的鞋子,也并无明显加剧,无剧烈疼痛,那不做手术也没有问题;如果说看着局部凸起畸形不舒服,或者平时穿鞋疼痛,想要穿更多漂亮的鞋子,时间条件和经济条件均许可,亦可考虑手术治疗。
每年也会做许多同时做大脚骨和小脚骨手术的案例,发一个案例供参考。

双足大脚骨和小脚骨手术前照片

双足大脚骨小脚骨手术后
有些朋友惊诧于大拇趾和第二趾分开这么多呀?这个没有关系,在拆完包扎一周之后就会自然合拢的。
我是大脚骨手术医生,自2004年起开始专门微创矫正大脚骨,如果您有大脚骨或者大脚骨手术的相关问题,请加关注我,或者还有关于脚宽的疑问,或者其他朋友有疑问,还可继续提问。
看清楚,是不是单纯脚宽,脚肥,还是同时有大脚骨或者小脚骨。或者直接给我私信,发您双脚的照片给到我,我都会尽量回复大家的咨询,有时候慢一点,但是都会亲自回复。
如果感觉有用,请给我点赞,谢谢!