
研究背景
腹股沟疝修补术后血肿形成并不少见,文献中常见的发生率为1.9%-12%。然而,据Cihan和Fan等研究人员报道,血肿的真实发生率高于12%。大多数血肿无需任何干预即可自行消退。当血肿在重复抽吸后再次发展,很可能形成假性囊肿,并且进一步地血肿抽吸将失效。关于假性囊肿的处理,目前只有少数病例报告,且所有患者最终都接受了手术切除囊肿。因此,对于如何处理以上情况,尚无共识达成。
病例报告
患者,男,86岁,因双侧可复位腹股沟疝入院。患者右腹股沟疝囊较小,左腹股沟疝囊较大,站立时向腹股沟阴囊区扩张。患者接受了双侧腹股沟疝腹腔镜修补术(TEP),术中发现一个较大的左腹股沟斜疝和一个较小的右腹股沟斜疝。研究人员将整个大的左疝囊解剖出来,同时减小右疝囊,放置补片并用可吸收材料固定。
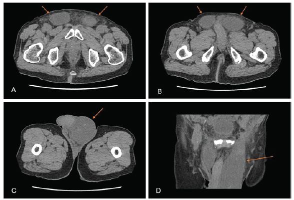
术后两周,患者于门诊就诊,诉左阴囊肿大,右腹股沟区域肿大略小。经超声(US)和骨盆CT检查均未发现疝气复发。然而,从腹股沟上内侧到左半阴囊有一13x5x6cm的血肿聚集,右腹股沟区域有7x3x4cm的血肿聚集(图1)。可能由于血肿的重量和体积较大,患者站立时出现疼痛,且无法保持舒适坐姿。患者最终同意手术清除血肿。

图1 CT扫描图像(A-C轴位、D冠状位)显示从腹股沟上内侧向左半阴囊延伸的血肿,大小为13x5x6 cm;右腹股沟区域血肿,大小为7x3x4 cm (箭头所指为血肿)
病例讨论
无论开放还是腹腔镜手术,预防和治疗腹股沟疝修补术后的皮下血肿,对外科医生来说都是一大挑战。腹股沟术后血肿形成很常见,特别是在腹腔镜手术后。即使未采取干预措施,大多数小的血肿也会自行消退。然而,大的血肿会导致患者疼痛和不适。血肿抽吸是最简单的处理方法之一。不过,采用该方法,患者会感觉不适,并有细菌感染的风险。同时,反复地抽吸血肿也会让患者痛苦不堪。研究人员认为,一旦血肿周围形成厚的透明质化和纤维化,重复抽吸将不可避免是徒劳的。
术后巨大血肿的发病机制尚未完全清楚,可能是多种因素综合作用的结果。广泛的腹股沟区解剖可能是其中一个促成因素。术中解剖导致出血和组织损伤,可能引起过度的炎症反应,形成血性炎症积液。此外,显著的炎症反应导致在血肿周围形成一层厚厚的纤维化壁,阻止积液被重新吸收。
结论
综上所述,腹股沟疝修补术后出现血肿在临床中并不少见,关于如何处理这类并发症的报道仍然有限。研究人员认为对该类患者(经多次血肿抽吸仍治疗失败),手术切除才是最终的治疗方法。
来源:Joshua Sheng Hao Lim, Ng Weng Leong Victor, Lim Kok Ren. Managing an inguinoscrotal pseudocyst larger than the pre-operative hernia: Case series on symptomatic giant inguinoscrotal pseudocyst. Int J Case Rep Images 2019;10:101009Z01JL2019.