葉子口腔科普
很多人以为,“没有蛀牙”=“口腔健康”,其实并不然。那么,怎么样的口腔才算是健康呢?快来自检一下吧。

什么是口腔卫生?
口腔卫生是指通过有规律地刷牙、使用牙线来保持口腔清洁和健康的行为。这有助于防止菌斑的形成。菌斑是形成在牙齿坚硬表面的一种粘稠的细菌薄膜,会导致蛀牙和牙周疾病。


良好的口腔健康会带来什么?
健康且没有异味的口腔,是由以下几点组成的:
- 干净且没有食物残渣的牙齿
- 粉红色的牙龈,在刷牙和用牙线的时候不会疼痛和流血
- 不会时常出现口腔异味

保持良好的口腔卫生目的是什么?
- 防止菌斑的形成。菌斑是形成在牙齿坚硬表面的一种粘稠的细菌薄膜。它会造成严重的口腔问题,例如蛀牙、牙结石、牙龈炎、牙周炎或者牙周疾病
- 通过保持自己口腔健康来提高自己的生活质量。可以避免口腔异味、缺牙或牙齿不美观的情况。

口腔不健康的表现
- 牙龈出血或疼痛
- 持续的口腔异味

- 牙齿松动和牙缝扩大

口腔不卫生有什么潜在的风险?
蛀牙,牙龈发炎和口腔异味——口腔不卫生会使牙齿表面的菌斑扩大;你吃东西的时候,细菌会利用食物中的糖类和淀粉释放酸,这种酸:
- 随着时间推移不断腐蚀牙釉质,造成蛀牙。
- 造成牙龈发炎,致使牙龈出血,引起口腔异味。
蛀牙
牙医通过清理蛀牙,并将填充物放入牙洞的方式来保护牙齿。这可以防止牙齿遭受进一步的腐蚀。如果不进行治疗,最后可能需要将牙齿拔掉。
牙结石和牙垢
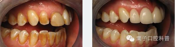
不规律刷牙、不规律地使用牙线会造成牙齿表面菌斑的堆积,菌斑变硬形成黄色或者棕色的矿床,这种物质叫做牙结石或者牙垢。
由于牙结石表面凹凸不平,因此会使牙齿成为菌斑进一步生长的理想环境。当牙龈下部出现牙结石时,会导致牙周疾病。
牙龈炎
这是牙周疾病的初始阶段,主要特点为:
- 牙龈发炎
- 刷牙或者用牙线的时候牙龈出血,但是无痛感。
如果进行正确的治疗,可以治愈。如果忽视,则会导致问题加重,并使疾病升级为牙周炎。
牙周炎
这是较严重的牙周疾病,会破坏支撑牙齿的结构组织,包括骨骼。进而会造成牙齿松动,最终需要将牙齿拔掉。牙周炎的症状是牙龈红肿、出血、与牙齿分离。与牙龈分离之后的牙齿非常脆弱,牙根暴露在外面,容易被腐蚀。

如何保持良好的口腔卫生?
良好的口腔卫生可以防止菌斑的形成,正如上文中解释道,菌斑是造成牙周疾病和蛀牙的主要原因。父母一定要引导孩子每天用正确的方法保持口腔卫生。你也可以询问医生通过什么方法来保持口腔和卫生。
抗菌漱口水
刷完牙或者使用牙线过后,使用抗菌漱口水来杀死形成菌斑的细菌,特别是当你有口腔异味的时候,更要使用抗菌漱口水。
氟化物
氟化物可以保护和强健你的牙齿。在不同的年龄阶段,必须用不同的方式来预防牙齿疾病。
- 幼儿——用柔软的牙刷把牙齿刷干净。使用适量的含氟牙膏。
- 有全口或局部假牙的成年人——你必须按照牙医的指示保持口腔清洁,以防止牙周疾病。使用假牙的成年人必须有规律地看牙医,调整假牙,以预防牙龈红肿。
刷牙和使用牙线的预防措施
清洁必须彻底但是不要太用力,动作太凶猛会刺激或损伤敏感的口腔组织。
牙线使用示范图

牙间刷使用示范图

预防
- 有规律地看牙医——至少每六个月去检查一次口腔是否健康。
- 有规律地进行专业的牙齿清洗——涂氟,窝沟封闭、洗牙。洗牙可去除变硬的菌斑(牙结石)。
- 诊断服务——拍X光片并做口腔癌筛查。
- 治疗服务——通过补牙、制作牙冠和牙桥来修复和保护牙齿。
吃得健康带来健康的牙齿
饮食平衡在保持牙齿健康上扮演重要的角色。均衡的饮食包括所有主要的食物种类:水果和蔬菜,奶制品,肉类,鱼类等等。
容易引起蛀牙的食物:
- 含糖量高的食物——蛋糕,冰淇淋,蜂蜜等。

- 酸碱值很低的酸性饮料——会损伤牙釉质。
- 粘性食物——这类食物口水不容易将它们从牙齿上冲刷掉,因此增加了牙齿暴露在糖类和酸性物质中的可能性,容易造成蛀牙。
有利于口腔健康的食物:
- 高纤维的食物,例如新鲜的水果和蔬菜——他们增加唾液流动,可以中和口腔内的酸性物质,有助于在咀嚼过程中清除牙齿上的食物残渣和糖类。
- 不含糖的含脂量高的食物:牛奶,酸奶,米饭,肉类,鱼类,水果等。
- 水分含量高的水果和蔬菜——梨,甜瓜,芹菜和黄瓜。
良好的饮食习惯:
- 甜食只和主食一起吃,不在两餐之间吃——食用正餐过程中,唾液分泌增加,因此食物中绝大部分的酸被中和了,将伤害降低。
- 避免在两餐之间食用糖类和酸性食物,应喝水或者牛奶。
- 用奶酪结束正餐——可以帮助中和口腔中的酸,特别是在刚吃完甜食之后。
*图片来源:网络
*图片来源:http://www.cosmeticdentistryguide.co.uk/oral-hygiene.html
译者:Stephanie
编辑:红帆
审稿:Linda,Debbie
分享 让更多的人口腔健康
投稿、合作、加入:yzkqkp@qq.com