
一、概念及认知历程
视神经脊髓炎谱系疾病(Neuromyelitis optica spectrum disorder ,NMOSD)是一种主要累及视神经和脊髓的中枢神经系统(central nervous system, CNS)自身免疫性脱髓鞘疾病。具有复发-缓解的特点,呈慢性进展性病程,较多发性硬化(MS)的致残率高,严重影响患者的生活质量。

首先,需要指出NMO-IgG=AQP-4抗体。NMO-IgG 主要分布在脑的微血管和Virchow-Robin间隙以及软膜和软膜下;NMO-IgG能与构成BBB的一种星形胶质细胞蛋白质-水通道蛋白4(aquaporin-4,AQP-4)结合,故此后命名为AQP-4抗体。AQP-4抗体可在血清及CSF中检测到,推测NMOSD是AQP-4抗体介导的星形细胞病。

这里需要注意,NMOSD与MS的区别——

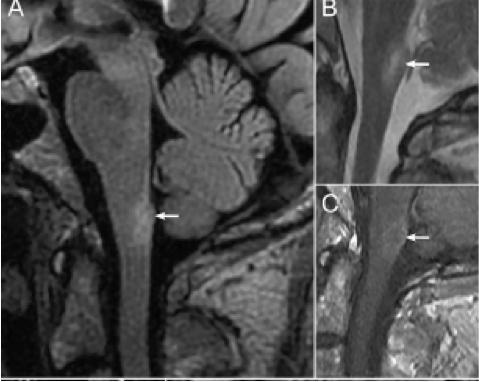
二、影像特征 1. NMOSD 脊髓MRI:长节段的脊髓炎(≥3个节段),呈中心分布,横贯性

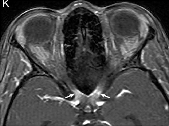
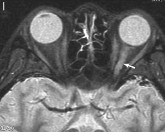
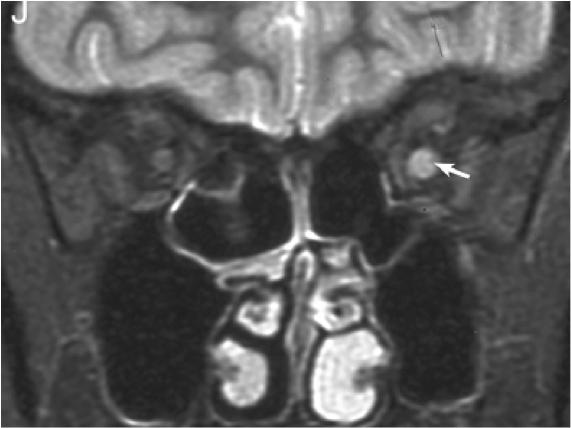
2. NMOSD 视神经MRI:病变较长,累及视交叉

3. NMOSD 脑干MRI:四脑室周围,分布集中

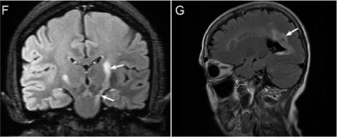
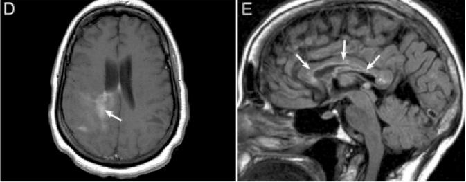
4. NMOSD 头MRI:丘脑、三脑室周围、锥体束和侧脑室周围等部位都可能出现片状、云雾状病灶

三、治疗策略

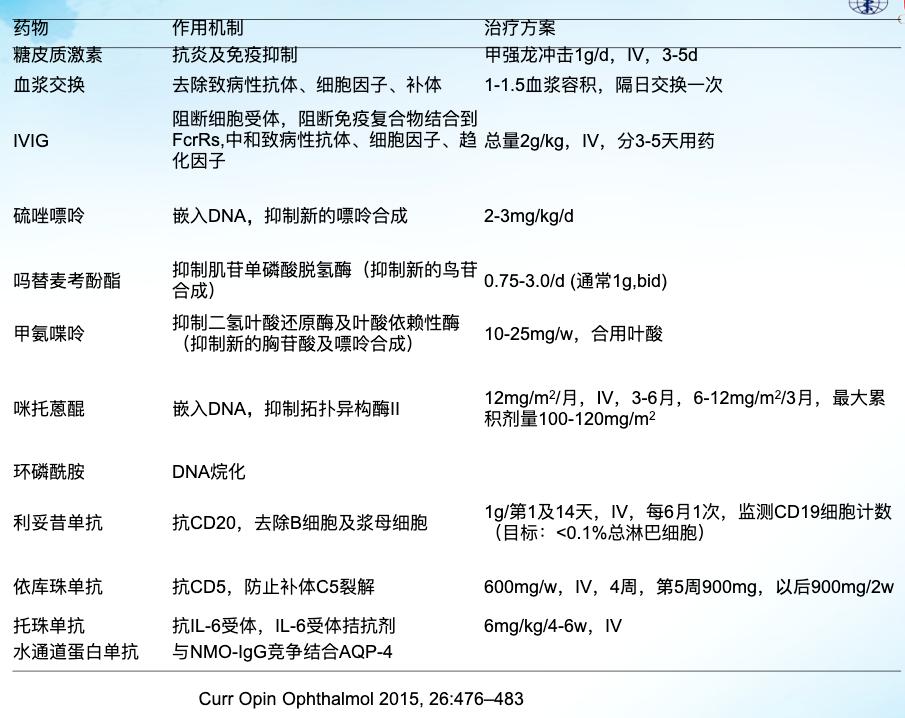
急性期治疗:首选大剂量激素治疗,次选丙球或血浆交换,目的是抑制病变炎性反应,减轻神经组织损伤。须注意顺序:先血浆交换后输注丙球。 缓解期治疗:免疫*制剂抑**如小剂量激素、硫唑嘌呤、吗替麦考酚酯、利妥昔单抗等,减少疾病复发对症治疗:有助于减轻患者的不良感受,减轻痛苦神经修复治疗:如B族维生素等促进神经组织修复神经康复治疗:旨在调动神经系统潜在的可塑性,最大限度激活残存的神经网路,降低神经功能残疾程度,康复治疗的第一步是评价神经功能缺损的范围及程度,然后制定恰当的康复训练方案
张星虎,博士、主任医师、教授、博士研究生导师。首都医科大学附属北京天坛医院神经内科副主任。神经内科感染免疫病区主任。中华医学会神经内科分会神经免疫学组委员兼秘书。承担或参加国家“863”项目、国家“973”项目、国家自然科学基金、首都医学发展基金等科研课题7项。专业特长:神经免疫性疾病(如多发性硬化、脱髓鞘病、重症肌无力、格林巴利综合征及其他与自身免疫相关的神经系统疾病)及神经感染性疾病(如病毒性脑炎、结核性脑膜炎、真菌性脑膜炎、脑脓肿、化脓性脑膜炎、脑囊虫病等)的诊断及治疗。