
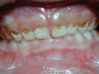
在中国婴幼儿及儿童中,罹患儿童蛀牙的概率竟然高达79.55%,你以为是因为糖吃多了,不刷牙造成的?导致蛀牙最大的元凶其实是缺钙!

通常我们的牙齿由牙釉质、牙本质、牙骨质三个钙化的硬组织和容纳牙髓软组织的髓腔组成。其中牙釉质是所有牙组织最外面那层东西,是牙齿最基础的保护,所以宝宝牙齿好不好关键在于牙釉质“强不强壮”,而牙釉质的主要成分就是钙!
宝宝龋齿,原来是缺钙在作怪!
当牙齿处于发育期,没有充足的钙质补充,缺钙会导致宝宝牙齿的牙釉质发育不全,牙釉质的保护力就会下降。在日常进食中细菌就会乘虚而入,利用口腔中的糖酵产生酸性物质破坏牙本质,形成龋齿。
因此当宝宝出现龋齿情况时,可去医院检查一下,看看宝宝是否缺钙了。
补钙要从小就开始

是不是有人要说了,我们家宝宝都还没满周岁呢,为什么才长了四颗牙就开始蛀了?
这是因为牙釉质中的钙可能在牙齿还没冒出来的时候,造釉细胞中的钙就已经在形成了,而这一过程中在宝宝还在妈妈肚子里的时候就开始了。
所以宝宝的整个牙齿发育期是从妈妈肚子4个月就开始的,任何阶段的缺钙,都可能造成牙齿钙化不全,牙釉质保护力降低,造成孩子龋齿。
想要牙口好,补钙是关键
虽然上面兔妈有说补钙需要从孕4月就要开始了,但为了防止龋齿情况恶化,妈妈一定要给孩子有效补钙!出了日常饮食中吃一些富含钙质的食物外,还可以给孩子适当补充一些钙剂,既有助于骨骼发育,又能帮助减少龋齿的发生,当然最好能够配合维生素D一起吃。
龋齿补救*法大**—“窝沟封闭”术

窝沟封闭流程
在牙齿表面有很多细小的裂隙和窝沟,特别是吃粘性食物的时候,这是藏污纳垢的好地方,而牙刷有不能彻底刷干净,因此这是孩子发生龋齿最容易的地方。
现在医疗上有一种叫“窝沟封闭”的办法来预防龋齿的发生,医生在清洁牙齿表面后,用具有流动性的封闭剂材料涂抹在点隙裂沟上,使其深入窝沟内部,材料硬固后就彻底去除这一卫生死角。
“窝沟封闭”术最适合3岁左右乳磨牙期的孩子和6岁儿童的“六龄牙”的防龋,12岁第二恒磨牙萌出时也应使用。
保护牙刷是场持久战,妈妈们可不能松懈,为了宝宝们的小牙齿茁壮成长,妈妈们,加油!
如果您觉得兔妈的内容对您有帮助,
欢迎给兔妈留言或关注我!
