2017年8月29号,来自杭州的患者何女士心情特别好,因为这一天她出院了,终于告别了困扰她6年的“头痛”顽疾,42岁的她脸上挂满了康复后的快乐,同时洋溢着对北京宣武医院疼痛科倪主任、唐博士的感激之情。
当回首过去的的患病经历时, 何女士的表情一下子便由“艳阳天”转入到了“雾霾季”,那是一段痛不堪言的日子——
事情还得从2011年说起,当时何女士“头痛”来了没商量,她的左半个头从额头、眼睛、耳朵到后脑勺连着颈椎一溜都酸、胀、痛,而且伴有流眼泪,疼痛的感觉经常一波还未平息,一波又来侵袭,严重影响了日常生活、工作,致使她踏上了漫漫的求医之路, 先后辗转浙江、北京等地多家医院,均被诊断为颈椎病,接受过针灸、针刀、按摩、火疗、正骨等各种治疗方法,但都没有任何效果,而且钱还花了不少,尝试这些“五花八门”的方法每年都要花1万多元,除此之外,还做了3次手术,也没有效果,6年来希望如同泡影般一次又一次地破灭,她一直靠吃止痛药来缓解病情,整个人被无尽的病痛折磨得滑向抑郁的深渊……
山重水复疑无路,柳暗花明又一村。今年8月初何女士有幸找到了北京宣武医院疼痛科倪家骧主任,倪主任诊断其为颈源性头痛,这是何女士患病有史以来第一次得到明确诊断,对此,何女士坦言:原来的诊断都没有像倪主任这么清楚。


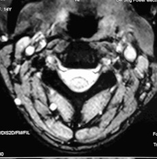
何女士术前核磁检查显示:多节段颈椎间盘退变导致神经根炎症产生
8月7号何女士被安排入院,8月9号由倪主任的“高徒”唐元章博士亲自为她手术,20天后顺利出院,何女士由衷地说:“这次投对了路,现在头痛明显好转,感觉好了90%,症状基本消失了,所以心情也特别好!”
同时她对唐博士的技术赞不绝口,说唐博士实施的“硬膜外导管微创手术”真是一针准、好得快!
看病就是看医生,何女士正是遇到倪家骧主任、唐博士,在短短的20多天的时间里,终于为她6年来的求医路划上了句号。
那么,患者何女士口中提到的“硬膜外导管微创手术”是一种什么样的技术呢?原来它的学名叫“硬膜外腔连续微量靶向药物输注疗法”,该疗法是消除硬膜外腔粘连、神经根炎性疼痛的首选方法,通过影像引导,将特制导管穿刺进入硬膜外腔、神经根病变部位,进行钝性粘连松解,并通过连续向炎性病变神经根靶向输注药物,如少量糖皮质激素、臭氧、胶原酶等,消除炎症、瘢痕组织、抑制机体过度免疫反应,起到抗炎、松解、止痛的作用。


据悉,北京宣武医院疼痛科运用该疗法已治愈了上千例类似何女士这样的“颈源性头痛”患者,他们开展的这一技术走在国内前列。
(编辑:刘洵)