病史:
男、61 岁。主诉: 查体发现“胃粘膜下隆起”4月余。现病史:患者4月余前无明显诱因出现上腹部疼痛,胃镜检查示:胃角后壁偏胃体小弯侧见一黏膜下隆起,表面光滑。
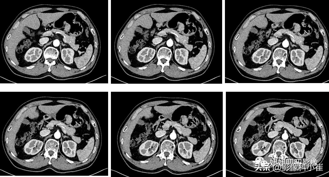
图像:


影像描述:
胃体小弯侧胃壁粘膜下见不规则软组织密度灶,局部与胃壁界限欠清,最大截面约 2.9×1.9cm,增强扫描呈明显不均质强化,周围脂防间隙尚清晰,未见明显异常肿大淋巴结。
学生发言:
A:有一说一,我就会个以为胰腺,哎,你说巧不巧,怎么看怎么觉得是,不能说病变和胰腺一模一样啊,只能说是大差不离。撞枪口上了不是。
老师总结:
①:病理是异位胰腺;
②:CT上异位胰腺多位于胃窦部,向腔内生长、边界不清,部分病灶内可见“导管征”,增强呈中度均匀强化;MRI上异位胰腺的信号与正常胰腺相似,可表现为胃、十二指肠或小肠壁内富血供的软组织肿块,少部分患者表现为胃肠道管壁的环形增厚。
③:治疗:上消化道异位胰腺可行内镜下治疗,小肠病变多行外科手术切除。