膝关节内有前、后十字韧带(又称交叉韧带),前十字韧带起自胫骨髁间隆起的前方,向后、上、外止于股骨外髁的内下方;后十字韧带起自胫骨髁间隆起的后方、向前、上、内止于股骨内踝的外侧面,膝关节不论伸直或屈曲,前后十字韧带均呈紧张状态,前十字韧带可防止胫骨向前移动,后十字韧带可防止胫骨向后移动。如下图:红色箭头是前交叉韧带,蓝色是后交叉韧带。

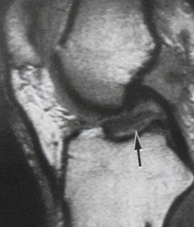
一般膝关节韧带损伤都有外伤病史,以青少年居多,男性多于女性,以运动员最为多见,受伤时有时可听到韧带断裂的响声,很快便因剧烈疼痛而不能再继续运动或工作膝关节处出现肿胀,压痛与积液(血),膝部肌痉挛,患者不敢活动膝部,膝关节处于强迫体位,或伸直,或屈曲膝关节侧副韧带的断裂处有明显的压痛点。高处跌落,车祸等直接*力暴**也可直接至韧带损伤或同时伴有骨折等其他损伤。韧带损伤常常合并膝关节半月板损伤。膝关节MRI检查可以辅助诊断,可以清晰显示出前、后交叉韧带的情况,还可以发现隐匿的骨折线及半月板损伤。下图左边是正常前交叉韧带,右边是损伤前交叉韧带


很多人都问我,前交叉韧带损伤是不是一定要手术,也有曾经报道前交叉损伤不手术的案例,但是现在的理论和临床研究都认为应该尽早进行重建手术,以减少膝关节的不稳定,恢复膝关节的正常生物力学。但是,进行韧带手术的最终目的是恢复膝关节功能,恢复运动水平,保护膝关节的软骨,防止软骨磨损,和将来膝关节骨关节炎的发生。依据目前运动医学的发展和进步,正确的进行诊治,一般都能达到良好的恢复效果。
膝关节韧带损伤治疗主要手段是关节镜治疗:关节镜检后获得明确诊断,然后制定治疗方案:半月板缝合或成形,交叉韧带重建、撕脱骨折复位固定等。
1.前交叉韧带损伤 目前主流做法是取自体腘绳肌肌腱解剖单束重建或双束重建,材料也可选用同种异体材料或人工肌腱。要根据损伤的类型,患者活动情况,年龄,经济状况等综合考虑。
2.后交叉韧带损伤 以重建为主,考虑的问题和前交叉韧带类似。主要术式有关节镜下的骨隧道技术和关节镜辅助的骨嵌入技术。
韧带手术完成后,医生会因人而异地提供周到术后的康复计划。主要以恢复股四头肌肌力,膝关节的活动范围以及重建韧带的本体感觉。
运动爱好者或运动员易患此伤病。正确的落地技巧对预防膝关节损伤很重要。建议运动员落地时,应以前脚掌先着地,膝关节弯曲,躯干微微向前倾。尽可能避免膝关节侧向或前后的动作。切记在落地时膝关节不可向内扭曲,并且将冲击力尽量减轻。膝关节运动损伤后,如果能及时找正确的医生,做出正确诊断,进行正确的手术,加上术后配合医生和理疗师完成康复计划。预期的手术效果是非常令人满意的,即使是专业运动员也可以恢复到受伤之前的竞技状态。
重建术前的 前交叉韧带 :

单束重建术后的前交叉韧带:

前交叉韧带 单束 重建术后的X片

前交叉韧带 双束 重建术后的X片

重建术前的 前后 交叉韧带损伤

重建术后的前后交叉韧带:
