临床医学常见的血常规检测工作,可帮助患者判断体内潜伏性病症以及器官潜在性病理疾病特征,根据患者自身的不适症状,通过白细胞数值、红细胞分布的趋势,从而判断患病的风险。
根据相关性疾病数值数据最新统计显示:我国患有慢性代谢疾病的人群高达1.05亿,心脑血管疾病患者高达93.68万,神经性组织疼痛疾病患者高达97.85万,癌症患病人群高达53.85万左右。

任何疾病的诱发都与自身的血液流通、组织因子运行密切相关,针对于各项疾病的诱发,采用最佳观测手法为血常规检测工作,可有效判断患者自身的数值变化以及红细胞造血功能,达到早发现,早治疗,早预防的医学目的。
尽管是医学技术到达一定的发展阶段,但针对于血流循环受阻、白细胞凝血功能紊乱,而引起的慢性代谢疾病、心脑血管疾病等问题,尚未找到彻底根治方法,只能通过长期性服用抗凝血药物、激素药物的方法进行稳定治疗。
由上皮组织坏死而导致癌细胞增殖、扩散诱发的权威性肿瘤癌症疾病,世界卫生组织医学方面尚未找到彻底诱发原因以及根治方法,只能通过局部放射的措施延长患者寿命,致死率高达76.8%。

人体各项组织器官的血液临床机制形成的正常生理反应,也就是免疫系统抵抗能力、疾病诱发密切相连,若长期处于病理性炎症、细菌性感染的亚健康状态之下,则会诱发相关性疾病问题。
——通过血常规检测,能否查出哪些病情呢?
1、是否贫血
临床医学针对于营养不良、铁元素匮乏而引起的贫血症状,常见的诱发原因与人体饮食因素密切相关,伴随有头晕头痛、眼前眩晕、间接性昏厥的症状发生,高发人群为25~35岁的成年女性。
可以通过血常规检测的方法,在短短15~25分钟时间之内,通过密闭性医学检测观察法,判断患者体内红细胞造血功能数值变化以及数值标准发展,以免出现紊乱输血功能受阻的反应。

2、感冒类型
若是由于外界性细菌、病毒感染而诱发感冒症状,也可以通过血常规检测的方法进行明确分析,发病前期伴随有咽喉肿痛,鼻塞,持续性咳嗽的不适反应,情况较为严重的患者,甚至出现了持续性高烧不退的症状。
在医生的建议之下,通过服用消炎药物、抗生素药物进行稳定治疗,若依旧存在病情不稳定的现象,就可以通过血常规检测的方法判断自身白细胞分值趋势。
避免是由于细胞总量增多而引起的内部炎症反应,应当进行明确性的数值规范,达到稳定治疗的目的。

3、凝血功能
若是受外部环境因素所影响,出现伤口溃疡、感染的现象,也可以通过血常规检测的方法判断自身血小板凝血能力,避免出现修复性血管壁受损现象。
通过数值判断的方法,排除自身患有血小板堆积而引起的严重反应以及坏血病的风险,在医生的建议之下,服用药物进行正确治疗,也要避免是由于血糖升高而引起的血流受阻反应。
——血常规检查中,如果3个指标升高,建议:最好再做进一步检查
第1指标:红细胞计数
医学护理人员通过抽取患者体内的血液达到数值检测的目的,从而判断患者体内红细胞成分是否处于标准范围之下,新生儿标准数量应当控制为6.0~7.0。

生长发育期的儿童数值标准范围应当控制为4.2~5.1,中老年人群处置标准范围应当控制为4.1~5.1左右。
一旦出现红细胞指数增多的现象,就要在医生的建议之下进行进一步全身检查,避免人体造血功能高升,导致大量血瘀成分形成,诱发心脑血管疾病来临。
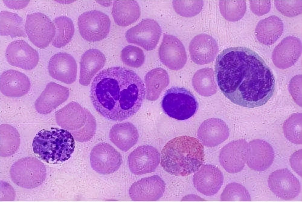
第2指标:白细胞增多
临床医学针对于白细胞数值判断归类为病理性的第一诊断标准,又被称之为 高发性疾病和潜在性病毒斗争的“守护卫士,可间接性提高自身免疫抵抗能力,降低患病风险。

若在检测过程中出现白细胞变性或者是过滤反应的增高现象,就要引起及时的警惕,避免出现外界病源潜在的风险,降低自身免疫抵抗能力。
临床医学白细胞增多常见疾病为病菌感染引起的皮肤组织损伤、皮肤溃破大出血,病毒感染,白血病症状,也间接性导致高发病毒感染血液疾病,免疫疾病,脾脏功能亢进反应发生。
那在医生的建议之下通过全身性检测工作,判断自身免疫系统抵抗能力、白细胞占率比值,筛查自身疾病诱发的风险。
第3指标:血细胞比容
临床医学通过血常规检测工作,判断患者静脉血液是否存在抗凝血的现象,第一观测指标就是血细胞比容,标准范围应当占据合成数量总体血液的39.8%左右。

若存在临床医学血红细胞比容增高的现象,就要引起及时的警惕,应当在专业医师的建议之下进行全身性检查工作,开展进一步疾病确认措施,预防淋巴炎症、 嗜碱性炎症诱发。
一旦出现疾病诱发的现象,也不要过于担心,在医生的建议之下及时服用抗生素药物、消炎药物,调控好自身的饮食,在短短4~5周时间之内,自身的病情就会有所恢复。
若是由于血细胞比容增高而导致高发性脑梗疾病来临,也要运用积极乐观的态度,配合医生进行疾病治疗,做好全方面的指数稳定工作。

——科普延伸:血常规检测可以查出癌症吗?
临床医学针对于上皮组织坏死而引起的权威性肿瘤癌症疾病问题,采用最佳观测方法为CT照射,通过简单的血液抽取、密闭封数值提取工作,并不能判断患者体内是否存在癌细胞比值。 #爱乐养生指南#