抗癌15年,尝试过7种疗法,其中6种无效,不断复发磨平了劳里·阿达米(Laurie Adami)的耐心,让46岁患有非霍奇金淋巴瘤淋巴瘤的她感受到抗癌是一场艰辛的考验!

图源摄图网
她体内的肿瘤已达到8磅(3.6千克),庆幸的是,在CAR-T细胞疗法的帮助下,她的癌细胞被完全消除!
自从她经历了改变人生的12年癌症之旅(尤其是CAR-T细胞冒险之旅)后,她决心变得足够强大,并希望与一群登山者一起徒步攀登珠穆朗玛峰。
艰辛的考验!抗癌12年,尝试6种治疗均复发!
2006年,年仅46岁的劳里·阿达米担任一家洛杉矶软件公司的总裁,长年出差旅行奔波劳碌,她开始遇到健康问题——极度疲劳。
随后她的症状逐渐开始显现,频繁的鼻窦感染和支气管炎以及颈部肿胀,眼睛也变得非常干涩。经过腹部CT扫描等多轮检查,最终对腹部肿块进行活检,发现她患有IV期滤泡性非霍奇金淋巴瘤。
阿达米再次进行复查,证实了IV期滤泡性淋巴瘤的诊断,这种疾病蔓延至她的骨髓,左眼的问题是由于淋巴瘤侵犯了她的泪管所致,影像学检查显示她的肺部受累于该疾病。
当听到第三位医生的建议时,“实不相瞒,你两年后活着的机会可能是50%”,阿达米回忆道。为了5岁的儿子,她决定放手一搏,在2006年至2017年之间,她尝试了6种不同的疗法,包括:
1)蛮力化学疗法R-CHOP(几种静脉注射化疗药物与利妥昔单抗的组合):并在完成6个周期后获得完全化解,可悲的是仅3个月后复发了。
2)伏立诺他:一种靶向酶抑制药物,完成12个周期的伏立诺他和利妥昔单抗,起初肿瘤有所缩小,但最终疾病开始复发。
3)苯达莫司汀为静脉化疗,除了服用利妥昔单抗外,她每月接受12次苯达莫司汀输注以缩小肿瘤。
4)静脉注射托西莫单抗放射性同位素或物质来治疗癌症。
5)进行一项名为Zydelig口服激酶*制剂抑**的临床试验:可惜的是7个星期内,她换上了克罗恩氏病。
6)输注第三代单抗隆抗体Gazyva 10次,但还是复发了。
奇妙!CAR-T疗法让她绝处逢生,至今18个月无癌
就在2012年,阿达米得知了一种新兴的实验性血液肿瘤的治疗方法,称为CAR-T免疫疗法。这种免疫疗法是将患者自身的T细胞进行基因修饰,可以更好地对抗某些患者的癌症。将T细胞从患者体内取出,在实验室中进行修改,然后重新注入患者的血液中。
可以说,CAR-T疗法是几种淋巴瘤研究途径中最有前途的。直到2018年阿达米有资格接受新的CAR-T滤泡性非霍奇金淋巴瘤试验,此时她体内的癌症已经达到8磅(3.6千克)。2018年6月中旬,在实验室中收获了她的T细胞,对其进行了基因改造和扩增,最后大约有十亿个细胞。
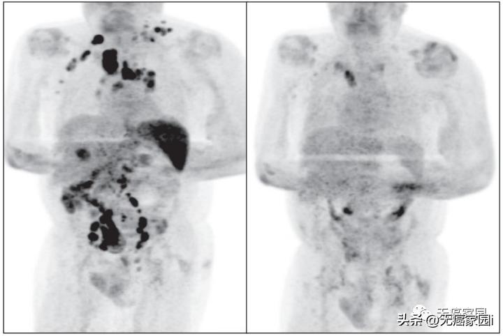
虽然期间有轻微的CAR-T疗法副作用,但神奇的是,短短的30天内,她的肿瘤完全消失。在附加的图像中显示了巨大的变化,左侧是取回CAR-T细胞前1周的扫描,右侧是1个月后的扫描。

2020年7月,阿达米进行了为期2年的CAR-T PET扫描,并完全缓解!现年61岁的她感觉自己挑战了人生的巨大困难,并打算对珠穆朗玛峰的攀登发起挑战!
多次化疗无反应后采用CAR-T疗法,32个肿瘤完全消失!
2015年12月,56岁的丹尼斯·迪拉特雷(Denise Delatorre)起初出现潮热、盗汗和腹胀,本以为是更年期导致的,直到她的腹部出现一个肿块,才意识到病情的严重。
噩梦降临,Denise 被诊断患有非霍奇金淋巴瘤,是一种最常见的血液肿瘤。她很快就被告知是“非常可治愈的癌症”而开始接受治疗。Denise 进行了六轮化疗,然后两次输注化疗,共96小时。
然而不幸的是,尽管忍受了多轮积极的化疗,她的肿瘤已扩散至全身的32处,癌症开始扩散到她的脊椎。病情变得糟糕又棘手,但Denise 拒绝放弃治疗。

此时她在工作客户的介绍下了解到一项名为CAR-T的新型免疫疗法的临床试验。
就在化疗失败后不到1个月的时候,她联系了加利福尼亚大学医学中心的约翰·蒂默曼医学博士参加该试验。CAR-T疗法可以训练患者的免疫系统以发现并杀死癌细胞。首先,从患者体内提取并修饰T细胞,即穿越人体抵抗感染的白细胞。在数周之内,对细胞进行了基因改造以识别癌症,然后将其输回患者体内。
令人惊喜的是,在短短一个月内,她的32个肿瘤迅速减少到6种,自治疗以来的3年多时间里,Denise的癌症仍在缓解,直到如今,她已经没有癌症的踪影了。
蒂默曼博士说:“这与我们一次性使用的任何其他疗法都非常不同。” “这是一种活泼的疗法-细胞分裂,在体内循环并在任何地方寻找癌症。”
丹妮丝表示,这种开创性的治疗方法将带给没有选择余地的晚期癌症患者更多生的希望,能够提供更多的治疗选择!
血液肿瘤治疗界的“抗癌利器”——CAR-T疗法
CAR-T细胞疗法拆分为两部分进行解读:
- T细胞(T淋巴细胞)在人体中扮演“战士”角色,负责抵御和消灭感染、肿瘤、外来异物等“敌人”。
- CAR,中文学名“嵌合抗原受体”,发挥着类似定位导航的作用。
通过基因工程技术将T细胞激活,并装上“定位导航装置”CAR,专门识别体内肿瘤细胞,并通过免疫作用释放多种效应因子,高效地杀灭肿瘤细胞,从而达到治疗恶性肿瘤的目的。
无癌家园专家科普:CAR-T免疫疗法是如何工作的?

随着 2021年阿基仑赛注射液、瑞基奥仑赛注射液 先后在中国获批上市, 2022年西达基奥仑赛 获美国FDA批准上市,CAR-T疗法已然进入井喷期。
目前,CAR-T在急性粒细胞性白血病、慢性粒细胞性白血病、非霍奇金淋巴瘤、多发性骨髓瘤中取得了显著的疗效。
目前,有一款 靶向CD19或CD20复发难治侵袭性非霍奇金淋巴瘤的CAR-T疗法正在招募中,有意向的患者可将病理报告提交无癌家园医学部(四零零六二六九九一六)。
逐步突破CAR-T治疗实体瘤瓶颈,经改造抗癌效果突飞猛进!
CAR-T疗法用于实体瘤的关键点就是实体瘤靶点的选择,目前目前临床在研的CAR-T项目涉及的靶点分布情况,以2022年最新的全球癌症数据为例,主要集中在 GPC3、Claudin18.2、MSLN 等热门靶点上。
目前急招 B细胞淋巴瘤、T细胞淋巴瘤、T细胞白血病(T-ALL)、急性淋巴细胞白血病、非霍奇金淋巴瘤、肝癌、胰腺癌、结直肠癌、间皮瘤、卵巢癌等 癌种!
任重道远,CAR-T疗法将为更多实体瘤患者带来新的希望!
截至目前,国内开展的CAR-T临床试验数量已经超过500项,居世界第一,这也是中国首次在一个新药研发领域走到国际前列。其中,传奇生物的西达基奥仑赛、斯丹赛生物的GCC19CART、科济药业的Claudin18.2 CAR-T都达到全球领先水平。此外,还有多公司在布局新一代CAR-T以及异体CAR-T技术,初步数据优异,有望获得全球市场。
2021年我国迎来了细胞免疫治疗的元年,作为先锋的CAR-T疗法,是未来发展方向之一。CAR-T疗法主要在于改造T细胞来使其识别肿瘤细胞的特殊靶点,理论上,可以有无数种针对不同靶点的CAR-T疗法,这意味着蕴含着无限可能。
希望不久的将来,能够在国内外医学科研工作者的努力下,降低细胞疗法毒副作用,降低价格,突破实体瘤的瓶颈,让越来越多的晚期癌症患者获益!
本文为无癌家园原创