本网讯 5月25日,我院接诊一位严重眼外伤的青年男子。由于被重物砸到,男子左眼眼球内陷到鼻腔,当场失明。
重物砸脸,他当场失明
张某今年27岁,5月25日清晨6点多,他在干活时不慎被重物砸到左脸,正好砸到左眼的部位。当时他左眼位置剧痛,完全看不到东西,两个鼻孔里都有出血。边上的人马上拨打120急救电话。

张某眼球明显内陷
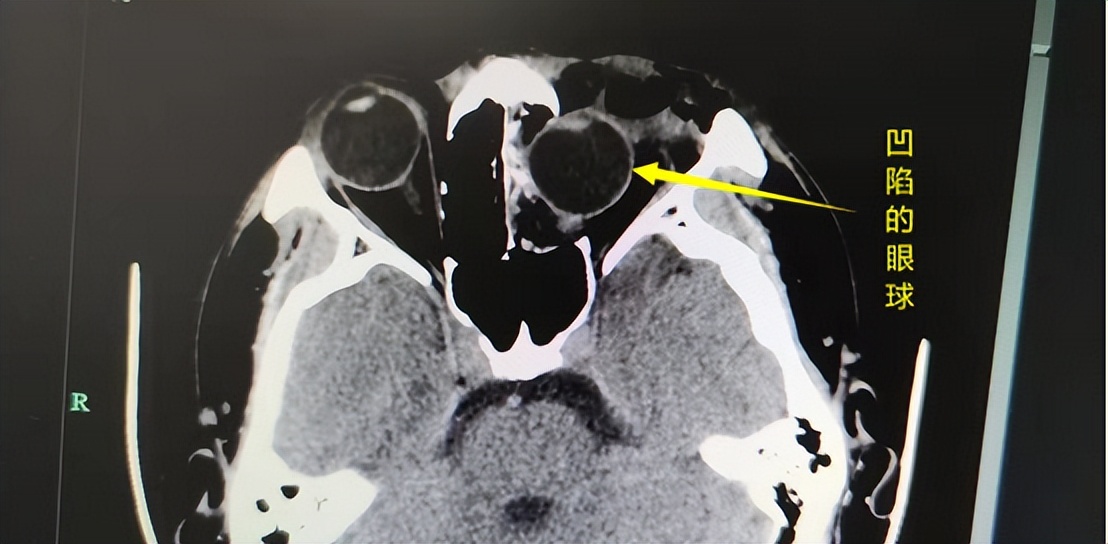
救护车赶到后第一时间将他送到我院急诊。接诊的急诊外科主治医师谢杰马上对张某进行检查。检查发现,虽然伤情在外观上看着并不重,但张某左眼已经完全失明,左眼眼眶骨折,眼球凹陷明显,并且内陷达到1厘米,整个眼球的一半已经嵌到鼻腔里面。
伤情严重,谢杰马上呼叫眼科会诊,眼科值班医生张春明马上赶来,对张某进行进一步检查。尽管从CT影像上张某眼球外形完整,但受到外力撞击,眼球破裂的可能性不小,视神经也可能受到损伤。并且这些伤情都必须在手术中才能得到明确,后续治疗也才能明确和跟进。并且张某的伤情严重,根本拖不起,耽搁得越久,视力恢复的希望就越渺茫。
多学科团队火速救治
鉴于手术难度和风险都很高,张春明马上汇报科主任、主任医师王时力。
伤情不光眼睛,已经涉及到鼻腔,光靠眼科无法解决。而对鼻腔解剖结构最清楚的无疑是耳鼻喉科医生,只有耳鼻喉科医生们支援,才能最大化手术效果。王时力第一时间联系耳鼻喉科副主任、副主任医师彭帆。听到有伤者需要救治,彭帆立即赶往医院。麻醉手术科主任林学正闻讯也赶往医院。三位专家组成的多学科团队迅速制定手术方案。“我们要尽快手术,争取保住眼球,尽可能保留恢复视力的希望和可能!”彭帆说。
同时,谢杰迅速将伤情和尽快手术争取视力恢复的建议告诉张某。自己这么年轻,说什么也要争取保住视力,张某毫不犹豫就同意医生们的建议。

彭帆和王时力正在进行急诊手术
眼球没破,视力恢复希望不小
医院手术室迅速做好准备,8点半,张某被送进手术室。
手术由彭帆和王时力两位专家共同带领团队进行,林学正带领麻醉团队为手术保驾护航。
为了减少张某颜面部的损伤,不影响面容,手术团队通过鼻内镜,从张某鼻孔进入进行手术。手术中,医生们发现,张某受到撞击的眼球和周围的肌肉和脂肪组织已经内陷到鼻腔3厘米,鼻腔三分之二的空间都被占。但让医生们高兴的是张某的眼球竟然没破,视神经的损伤也不大,视力恢复的可能性不小。

术后,张某眼球已经回到原来的位置
手术中,手术团队小心翼翼,逐步把张某少部分破裂无用的骨片去除,再将内陷的眼球逐步复位,骨折的眼眶用特殊材料也进行修复和加固。
手术持续1个半小时。由于是鼻内镜手术,术后张某脸部完全看不出手术痕迹。
手术结束后半小时,张某苏醒,彭帆立即检查他的视力,评估手术效果。张某也十分欣喜地发现自己视力已经恢复了一部分。“已经能看见一点东西了!”他说。

术后第2天,王时力主任检查张某的视力恢复情况
术后,张某被转到耳鼻喉科接受后续治疗。期间,张某视力持续恢复,2天后就到0.5了。
5月30日,张某出院时,视力已经恢复到0.8,生活已经完全没有问题。“本来以为自己要失明了,想不到还有机会恢复(视力)!”张某笑着说。

眼外伤意外居多,需引起重视
王时力介绍,眼外伤最常见的就是各种角膜或结膜异物。主要是生产生活过程中,飞射出来的碎屑、残渣等异物进入角膜或结膜部位,造成眼部外伤。如果没有积极处理,出现感染,可能导致角膜溃疡甚至失明。
其次是钝物打击。张某的情况就是典型的钝物打击。眼睛受到了钝器的打击伤害,会出现眼挫伤,比较常见的挫伤部位有眼睑、眼眶和眼球等,严重的可能导致眼球破裂和失明。再是不小心接触化学物质,出现烧伤。除此之外,就是经常接触红外线、紫外线、x线、激光、微波等辐射,造成辐射性的眼外伤。

王时力提醒,眼外伤绝大多数都是意外导致。在平时生活中,市民一定要加以注意和保护。尤其是暑假快要到来,孩子眼外伤会比平时多不少,广大家长尤其要要引起高度重视。在可能造成眼睛外伤的情况下,最好佩戴好防护眼镜保护脆弱的眼睛,降低眼外伤出现的概率。如果出现了眼外伤,要尽快就医,根据医生指导采取相关的处理措施,避免造成严重的伤害。(文化中心 叶倦 潘敏超)