前几天跟大家说了体检发现肺部纤维灶是什么意思,这些大多是属于陈旧性病变,它们可能会长期保持不变,并不需要对这些描述太过于担心,定期复查肺部CT即可。当时也跟大家强调了,纤维灶不同于纤维化,那么肺纤维化到底是个什么疾病呢?今天我以一位病人的例子给大家简单的介绍说明。
老王头今年55岁,不知道从几年前开始,就经常出现刺激性的干咳,痰很少,还伴随着活动后的气急。这些症状近几年越来越严重,以至于现在爬家里的三楼都成了问题。平时从不体检的老王,觉得是时候去医院检查一下了,看看到底是出了什么问题。

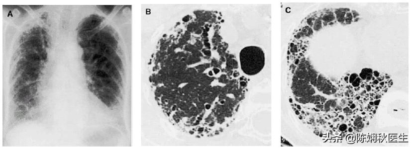
他首先来了咱们呼吸科门诊,医生一看,老王头气喘嘘嘘,嘴唇也有点发紫,用听诊器听了老王的背部,都是啰音。手指伸出来一看,指端鼓的像个棒槌一样(我们叫杵状指)。赶紧用脉氧仪测了一下指脉氧,显示89%。立即开了两项检查,肺部CT和肺功能检查,并且让老王要吸氧。肺部CT显示,两肺纤维化,两下肺都是一个一个“小蜂窝”,肺功能也非常糟糕。医生告诉老王,他得了肺纤维化,也叫做间质性肺病。

这个疾病对于大多数人还是相对比较陌生的,但其实,这是一类很难治疗的疾病,因为治疗的手段非常有限,而且有一部分病人是会不断发展的,有些人说这个病甚至比肺癌更可怕。
那这种肺病到底是什么原因造成的呢?间质性肺病的原因非常多,约有200多种,有一些可能是跟职业环境,如木工、电焊工、油漆工、石棉接触等有关,也有一些是跟吸烟以及药物(如胺碘酮等)相关的。如果是女性病人出现间质性肺病,有很多是跟自身的风湿免疫系统疾病有关,如系统性红斑狼疮、类风湿性关节炎、干燥综合症、硬皮病等等,这些风湿系统的疾病容易累及到肺部,从而出现间质纤维化的改变。但还有很大一部分间质病找不到确切的原因。
老王头一听得了这个疾病,吓了一跳,赶紧问医生,下一步该怎么治疗。医生建议先住院检查,明确可能的病因,如果能明确下来,才可以更好的治疗,毕竟不同类型的间质性肺病治疗方案大相径庭,治疗下来的效果也会有很多差别。有一部分间质性肺病是对激素治疗敏感的,需要长期口服激素治疗,并且定期观察肺部CT变化,不断调整激素用量;还有一些类型是激素治疗效果不理想的,可能需要根据病情选用抗纤维化的药物治疗。目前有效的抗纤维化药物只有吡啡呢酮和尼达尼布两种,但价格不菲,各自也存在一定的副作用。这两个药目前也并没有在全国普及。

老王最终的治疗方案,还需要住院检查后确定。由于目前已经出现了一定程度的缺氧,建议他要长期吸氧,家里面也建议准备个吸氧机。
在这里,陈医生想跟大家建议,因为肺纤维化这类疾病真的可怕,希望能在早期发现和治疗(常规的肺部CT非常必要),并且积极寻找病因,只有这样,才能更好的治疗,才能有更好的预后。我也相信,这类疾病,早晚会有更多更好的药物来治疗。
(我是陈娴秋医生,如您对我的科普图文感兴趣,欢迎关注我,转发和留下您的意见,愿健康常伴您左右!)@健康真相官 #健康真相馆# #青云计划#