退休后的李大伯生活规律、饮食清淡、深谙养生之道,每天傍晚在小区里和朋友跳个一小时的广场舞。
不想半月前,起初以为就是感冒、发热,但入院后1天立即转进了ICU,生命危在旦夕……

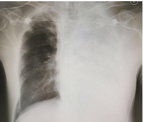
发热一天,左肺变白,紧急收治ICU
半月前,李大伯因为发热1天到浙江省立同德医院就诊,当时主要表现为发热,轻微气急,做了肺部CT,提示左肺有大片的炎症。但初始的治疗似乎并没有有效阻止病情的进展,李大伯高热不退,气更急了,自己觉得透不过气来,24小时不到再次复查胸片,结果让人大吃一惊,左边肺部基本全白。因此,李大伯被紧急收治到ICU。

图为李大伯的胸片
多个器官功能同时衰竭,生命危在旦夕 患者到达ICU后,缺氧和休克已经非常厉害。床旁心超也让ICU医护人员倒吸一口凉气,李大伯的心脏跳动非常微弱,几乎快要停止。而他的检查结果表明他的炎症程度很重,凝血系统、肝、肾功能的指标也明显升高。
综合各项检查结果提示李大伯是重症肺炎并发的严重脓毒症,感染性休克,并由于脓毒症引发的持续缺血缺氧和严重感染打击导致患者全身多个重要脏器功能衰竭(心、肝、肾、肺)。此病极其凶险,死亡率极高,若血压和氧合情况仍不改善,生命危在旦夕。
针对李大伯目前的情况,需要尽早建立高级生命支持。ICU胡马洪主任当即决定紧急行ECMO(人工心肺)措施来支持患者严重衰竭的循环、氧合功能,并让心脏得到充分休息。
与此同时,针对李大伯的严重感染的原因开展全面的排查,只有尽早去除感染的源头,感染才能够得到有效控制。在第一时间,留取了李大伯的血、痰等标本送至医院精准诊断中心。

李大伯死里逃生
第二天实验室的病原学检查结果显示,李大伯的血液中、痰液中均存在“鲍曼不动杆菌”。有了及时而准确的培养结果和药敏试验结果指导,方能顺利开展精准化的抗感染治疗。

李大伯在呼吸机、ECMO等技术支持和有效的抗感染治疗下病情终于得到了改善,心脏渐渐恢复了活力,尿量逐渐增多,升压药逐步平稳下调。不久,呼吸机参数也可以慢慢下调了。结合早期床边加速康复治疗和呼吸锻炼,李大伯在住院第四天摆脱了ECMO的支持,在第十天顺利脱机拔除气管插管转普通病房。
脓毒症时常“伪装”成感冒
病死率极高
“脓毒症”这个词,对大部分人来说听起来很陌生,其实,这是一种古老的疾病,可能你会觉得脓毒症离我们很遥远,但其实,它一直在我们身边。还容易“伪装”成感冒,让人忽视。

什么是脓毒症?我们将字面拆开理解下,“脓”:化脓,其实就是感染导致组织坏死;“毒”:毒素,是组织感染坏死引起毒素释放,由此引发机体对感染产生反应失调导致危及生命的器官功能障碍。
它是现今重症监护病房患者死亡的主要杀手之一,具有发病率高,致死率高,治疗费用高的三“高”特征。尽管近年来各类抗生素和器官支持技术不断升级和发展,脓毒症的病死率仍居高不下,始终高达30-70%,全球每年约有600万患者因此丧生。所以说,脓毒症的发生严重威胁着老百姓的生命健康和财产安全。
上海新华医院副院长、上海医师学会科普分会会长潘曙明教授表示,脓毒症是一种历史悠久的疾病,根据美国重症医学会与欧洲重症医学会发布的脓毒症最新定义,脓毒症即机体对感染的反应失调而导致危及生命的器官功能障碍,虽说年龄>65岁,基础存在慢性病,基础免疫力低下以及小于1岁的儿童是脓毒症的高危人群,但如手上破个口、智齿发了炎,急性肠胃炎等,这些日常可见的小毛小病都有可能引发脓毒症,必须引起公众的重视。
以下症状需高度警惕
1、体温异常
脓毒症的患者体温会发生异常,通常会出现发热或者低温的情况。受到严重创伤或者烧伤的患者,当体温高于38.3摄氏度或者低于36摄氏度的时候要警惕脓毒症。
2、呼吸急促
呼吸急促是脓毒症的症状之一,脓毒症比较常见的是肺部感染引起的,所以部分患有肺炎等相关疾病的患者一定要格外的谨慎脓毒症的出现。
3、心动过速
脓毒症会造成心功能的损伤,所以脓毒症的患者常常有心动过速的症状。如果患者本身就受到了创伤,出现心动过速可能是得了脓毒症。一旦出现这种情况,要及时就医,尽早治疗。
4、尿量减少
因为脓毒症会造成肾功能障碍,所以脓毒症患者可能会出现尿量减少的症状。
日常生活中
大家要养成良好的卫生习惯
勤洗手
保持工作和生活环境的干净整洁
若出现身体不适
一定要及时去医院就诊
(综合浙江省立同德医院、杭州日报、中国搜索、澎湃新闻等)