
引言
临床中遇到起病较急,症状较为典型的肺炎,在抗感染治疗效果不佳的情况下该如何调整思路?我们往往首先面临的是治疗是否升级的问题。该患胸部CT可见斑片状浸润影及磨玻璃影,诊断为社区获得性肺炎虽然依据充分,但又存在疑点:患者于外院广谱抗生素抗感染治疗8天,症状仍进行性加重。因此治疗过程中须做好准备,继续抗感染治疗的同时继续筛查有无其他特殊病原及病因可能。而患者在院内接受抗感染治疗7天后,虽未再出现痰中带血,但咳嗽、胸闷症状无明显缓解,且复查胸部CT较院外旧片比进展,此时应考虑什么?应完善哪些检查?患者反复的病情以及突发的新情况又给予我们新的启示,对于治疗效果不佳的肺炎患者,不断升级抗生素治疗不应是首要选择,而对于无免疫抑制患者,仍需考虑隐球菌感染可能,一旦诊断肺隐球菌病,还应积极排查有无脑隐球菌病。
46岁男子咳嗽、胸闷及痰中带血,外院抗感染治疗8天症状仍进行性加重……
46岁的男性患者高某初次来我院治疗的时间是2020年12月20日。其主诉症状为 「咳嗽、胸闷10天,痰中带血12小时」 。据患者描述,入院10天前,自己无明显诱因即出现咳嗽,伴活动后胸闷,无发热、咳痰、胸痛、咯血症状,其先是到当地卫生院就诊,接受 「左氧氟沙星、哌拉西林钠、氨溴索」输液治疗5天 ,效果不佳。又到当地县级人民医院,行胸部CT检查(2020-11-30)示: 右肺下叶炎症 (图1),接受 「头孢哌酮舒巴坦」输液治疗3天 。入院12小时前,出现了 「痰中带血」 的症状, 色鲜红,量少,咳嗽、胸闷症状持续加重。

图1:胸部CT示右下肺炎症(当地县级人民医院)
患者自发病以来,食欲差,睡眠正常,二便正常,精神欠佳,体重无明显变化,为进一步诊治入我院。
追查患者既往史: 既往体健,无高血压、心脏疾病病史,无糖尿病、脑血管疾病病史,无肝炎、结核、疟疾病史,预防接种史随社会计划免疫接种,无手术、外伤、输血史,无食物、药物过敏史。
个人史: 生于河南省上蔡县,久居本地,无疫区、疫情、疫水接触史,无牧区、矿山、高氟区、低碘区居住史无化学性物质、放射性物质、有毒物质接触史,无吸毒史,无吸烟、饮酒史,否认冶游史。
婚育史: 已婚,24岁结婚,爱人体健,夫妻关系和睦,有1子1女。
家族史: 父母体健,兄弟姐妹体健,无与患者类似疾病,无家族性遗传病史。
患者入院后,我们首先对其进行查体: 体温36.6℃,脉搏112次/分,呼吸27次/分,血压131/90mmHg。呼吸急促,肋间隙正常,语颤正常,无胸膜摩擦感,无皮下捻发感,叩诊清音,右下肺可闻及湿啰音,无胸膜摩擦音,语音共振正常。
入院后完善相关检查,血常规:白细胞10.2×109/L,中性粒比例86.3%;血沉(激光法)27.00mm/h,C反应蛋白11.96 mg/L,PCT 0.045ng/mL,血生化、血凝试验、大小便常规、传染病未见明显异常。
团队分析认为,患者于社区起病,有新近出现的 「咳嗽、胸闷及痰中带血症状」 ,外周血白细胞>10×109/L,胸部CT可见斑片状浸润影及磨玻璃影,诊断为社区获得性肺炎依据充分, 但又存在一个疑点:患者于外院广谱抗生素抗感染治疗8天,症状仍进行性加重。 因此治疗过程中须做好准备,继续抗感染治疗的同时继续筛查有无其他特殊病原及病因可能。
本院抗感染治疗7天咳嗽、胸闷无缓解,复查胸部CT有进展为何因?
治疗方面,给予莫西沙星抗感染,祛痰平喘、止咳等对症治疗。完善相关检查,痰涂片及痰培养阴性,痰抗酸染色阴性,T-SPOT A孔0,B孔0,真菌G/GM试验阴性,结缔组织全套阴性,ANCA4项阴性,淋巴细胞亚群测定:CD4 164个/微升,CD8 204个/微升,CD3 396个/微升,均明显下降。
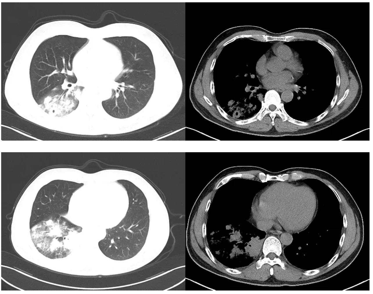
抗感染治疗7天后,患者未再出现痰中带血,但咳嗽、胸闷症状无明显缓解。 复查胸部CT较院外旧片比进展 (图2)。

图2:胸部CT示右下肺炎症,可见空洞形成。
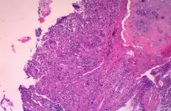
综合分析原因有两种可能性,一是抗生素未覆盖致病菌,二是非细菌感染或者非感染性疾病所致。但考虑患者生命体征平稳,未升级抗生素,而是进一步寻找病因:完善纤维支气管镜检查,镜下见气管及各级支气管粘膜光滑,管腔通畅,可见少量粘稠分泌物,抽取分泌物送细菌培养,并0.9%生理盐水灌洗右下叶背段支气管,留取灌洗液送检真菌GM试验、抗酸染色、弱抗酸染色、真菌涂片及病原学mNGS,于7组淋巴结行EBUS-TBNA,于右下叶后基底段支气管行EBUS-TBLB。结果回示真菌GM试验、抗酸染色、弱抗酸染色、真菌涂片均阴性;7组淋巴结穿刺细胞块病理回示渗出背景上少量淋巴细胞,右下叶TBLB肺活检示肉芽肿性炎(图3),抗酸染色(-),PAS(-),六胺银(-),TB-DNA(-)。

图3:(右下叶活检)肉芽肿性炎,抗酸染色(-),PAS(-),六胺银(-),TB-DNA(-)
右下叶EBUS-TBLB回示肉芽肿性炎,考虑结核,支持点:病程无发热,肺部影像学表现为多形性病变,活检病理回示肉芽肿性炎;不支持点:病情进展迅速,病理组织抗酸染色及TB-DNA均阴性,血清TSPOT阴性,多次送检痰及支气管肺泡灌洗液抗酸染色阴性。
此时,患者支气管肺泡灌洗液mNGS回示新生隐球菌,支持序列101,相对丰度52.3%(图4),支气管肺泡灌洗液mNGS的结果对后续的诊治起到了重要的作用。结合病史、影像学及mNGS结果诊断肺隐球菌病。

图4:支气管肺泡灌洗液mNGS结果
我们为什么采用mNGS检测呢?隐球菌病的发病率在逐年增高,无论是免疫健全还是免疫缺陷的宿主都可能感染,虽然隐球菌病是机会感染性疾病,但国内研究发现,肺隐球菌更常见于无免疫抑制患者,比例达54-70%[1-3]。导致人类隐球菌病的隐球菌主要是新生隐球菌和格特隐球菌,其中新生隐球菌占90%以上[4]。而肺隐球菌的临床表现缺乏特异性,影像学表现多种多样,与宿主免疫状态相关,诊断金标准为组织病理学检查,无菌部位穿刺标本也有确诊意义,痰及肺泡灌洗液培养阳性对诊断也有一定价值,血清隐球菌抗原检测也是诊断的重要依据[5]。
mNGS作为一种新型的微生物检测方法,目前已有多项研究表明,其在诊断隐球菌病上具有阳性率高等优于传统检测的优势[6]。肺隐球菌病的治疗取决于患者的免疫状态和病情严重程度。
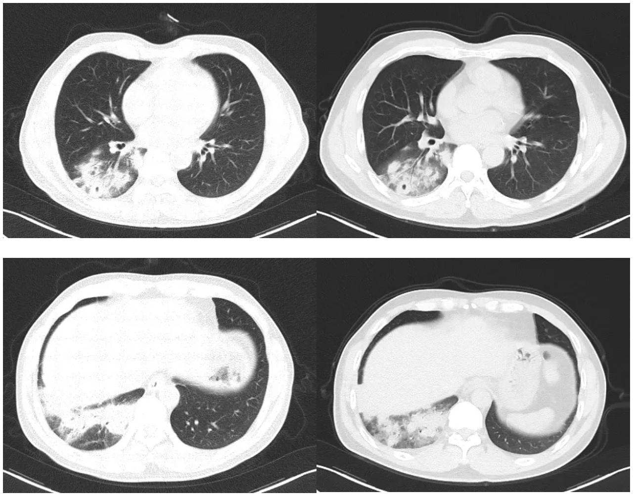
在此阶段,我们修正诊断后,加用了氟康唑400mg/d抗隐球菌治疗。治疗3天后患者咳嗽、胸闷症状出现明显缓解,治疗8天后复查胸部CT示右肺下叶炎症较前稍减轻,右侧少量胸腔积液较前减少(图5)。

图5:氟康唑治疗8天后胸部CT对比,左侧为治疗前,右侧为治疗后
刚见治疗效果,患者出现头部隐痛且进行性加重……对无明显自身免疫抑制的患者,需要考虑哪种感染可能?
正在我们刚为明确诊断取得疗效感到欣慰时,看似一切都在逐步好转的治疗过程又起波澜。治疗中,患者出现头痛,性质为隐痛,神经系统查体未见异常,头颅MRI检查未见异常,但头痛进行性加重。为进一步排查有无隐球菌颅内感染,行腰椎穿刺检查,结果回示:脑脊液常规生化检查正常,墨汁染色、抗酸染色阴性,病毒及寄生虫检测均阴性, 脑脊液新生隐球菌抗原弱阳性。
多次与神经内科讨论诊断隐球菌脑膜炎依据不足,但也不能排除,因而调整治疗方案为两性霉素B抗隐球菌治疗。治疗1周,患者头痛仍无缓解,复查腰椎穿刺,脑脊液化验结果同前,新生隐球菌抗原弱阳性。复查头颅MRI回示右侧大脑半球硬脑膜、大脑镰增厚并异常信号,考虑脑膜炎。治疗方面继续两性霉素B治疗,半月后患者头痛症状逐渐缓解[7]。
这个阶段中,我们应该注意到,肺隐球菌的治疗目的包括控制感染和防止隐球菌播散两方面,尤其是隐球菌性脑膜炎。一旦诊断肺隐球菌,即要对患者中枢神经系统症状进行评估,对于有症状患者需要进行腰椎穿刺进一步明确诊断[5]。
讨论
肺隐球菌病近年来发病率逐年升高,虽是机会性感染性疾病,但国内更常见于无免疫抑制患者。肺隐球菌病的临床症状及影像学检查多因患者的免疫状态不同而不同,表现多样,诊断金标准为组织病理学检查,治疗方案取决于患者的免疫状态及病情轻重程度,对于无免疫抑制患者,肺部病灶局限,较少出现播散,有自限性倾向。本例患者有两个特点:一是经组织病理学及常规检查未明确诊断,最后通过mNGS诊断;二是患者无明显自身免疫抑制,却出现了隐球菌脑膜炎。这提示我们,对于治疗效果不佳的肺炎患者,不断升级抗生素治疗不应是首要选择,不断思考并去验证更为重要,其次对于无免疫抑制患者,仍需考虑隐球菌感染可能,一旦诊断肺隐球菌病,应积极排查有无脑隐球菌病。
参考文献
[1] May RC,Stone NR,Wiesner DL,et a1.Cryptococcus:from environmental saprophyte to global pathogen[J].Nat Rev Microbiol,2016,14(2):106—117.
[2] Zhang Y,Li N,Zhang Y,et a1.Clinical analysis of 76 patients pathologically diagnosed with pulmonary eryptoeoecosis[J].Eur Respir J,2012,40(5):119l-1200.
[3] 张含之.中国大陆地区肺隐球菌病文献Meta分析[c].上海:复旦大学,2009.Zhang HZ.Meta Analysis of pulmonary cryptococcosis record in China mainland[C].Shanghai:Fudan University,2009.
[4] Fang W,Fa z,Liao W.Epidemiology of Cryptococcus and cryptococcosis in China[J].Fungal Genet Biol,2015,78:7-15.
[5] 浙江省医学会呼吸病学分会.肺隐球菌病诊治浙江省专家共识[J].中华临床感染病杂志,2017,10(5):321-326.DOI:10.3760/cma.j.issn.1674-2397.2017.05.001.
[6] 贾建超,贾建敏,刘姿,等. 宏基因组学二代测序技术对重症肺炎真菌感染诊断价值[J].中华实用诊断与治疗杂志, 2020,34(10).
[7] 刘正印,王贵强,朱利平, 等. 隐球菌性脑膜炎诊治专家共识[J].中华内科杂志,2018, 57(5).
专家介绍

程哲
郑大一附院呼吸与危重症医学五科科主任,医学博士,主任医师,教授,博士研究生导师,博士后导师,*共中***党**员,大内科*党**总支副书记。国家级和省级两级卫生应急救援专家,河南省高级人民法院司法鉴定专家,中华医学会呼吸分会哮喘学组委员,中国医师协会呼吸分会肺栓塞与肺血管病工作委员会委员,河南省医学会呼吸分会副主委,河南省医学会内科学分会副主委,河南省医学会结核分会常委,河南省医师协会呼吸分会常委。河南省基层呼吸疾病防治联盟执行主席,河南省慢阻肺联盟执行主席。河南省呼吸与危重学会肺栓塞与肺血管病分会主任委员。主持获得省级科技成果一等奖3项,二等奖一项。同时主编《科医学》和《临床呼吸病学》论著两部。

贾留群
郑州大学第一附属医院呼吸内五科主治医师,博士,毕业于四川大学华西医学中心。擅长呼吸内科常见病、多发病的诊治。发表SCI及中文核心期刊数篇,任河南省基层呼吸疾病防治联盟秘书,河南省呼吸与危重症学会肺栓塞与肺血管分会青委会副主任委员。

代灵灵
郑州大学第一附属医院呼吸与危重症五科主治医师,博士。主要研究方向:肺栓塞与肺血管疾病。学术兼职:河南省医学会呼吸分会青年委员,河南省医学会呼吸分会感染学组委员,河南省呼吸与危重症学会肺栓塞与肺血管病分会青委会副主委兼秘书,河南省医学会呼吸病学分会第一届慢阻肺联盟秘书。

王羽
医学博士,郑州大学第一附属医院呼吸与危重症医学科主治医师,河南省呼吸与危重症学会肺栓塞及肺血管病分会青年委员会秘书。2013年毕业于郑州大学获医学学士学位;2016年硕士毕业于四川大学华西医院;2019年博士毕业于四川大学华西医院。曾参与国家“十二五”传染病防治重大专项、多项国家自然科学基金委面上项目,主持国家自然科学基金委青年基金1项,以第一作者发表SCI论文6篇,另以参与作者发表SCI论文20余篇。研究方向为:结核病与抗结核药物性肝损害的分子遗传,慢性气道疾病、肺血管病的发病机制和临床应用。
本文完
采写编辑:冬雪凝
*今条头日**排版:刘旋