What?!“少女脚”?郭医生,谁不想长个少女的脚啊?
错了!这里郭医生想要说的“少女脚”并不是说你的脚长得像少女的,而是一种好发于青少年女性的足痛病,尤其好发在那些运动员和舞蹈演员等过度使用脚的人群身上!此病又叫Freiberg病,由 Freiberg 于 1914 年首次描述并以其名字命名,又称跖骨头骨软骨病、跖骨头无菌性坏死、跖骨头缺血性坏死,主要累及第二、三跖骨头,第四、五跖骨头受累罕见。由于该病发生率较低、早期症状不明显,临床容易 漏诊、误诊 。


好好的,为什么会得这种病呢?
发病机制目前仍有争议
◐早期研究认为创伤是该疾病的病因
◐后来研究发现部分患者无外伤史
◐反复微创伤,血供破坏,生物力学改变(如拇外翻畸形引起前足横弓塌陷)
◐全身性疾病如糖尿病、高凝血症、长期服用激素,及遗传等因素
“少女脚”,可怕吗?它会朝哪里发展呢?
★跖骨头坏死的典型病变主要包括缺血、坏死、关节面骨折塌陷、吸收和重生等一系列过程。
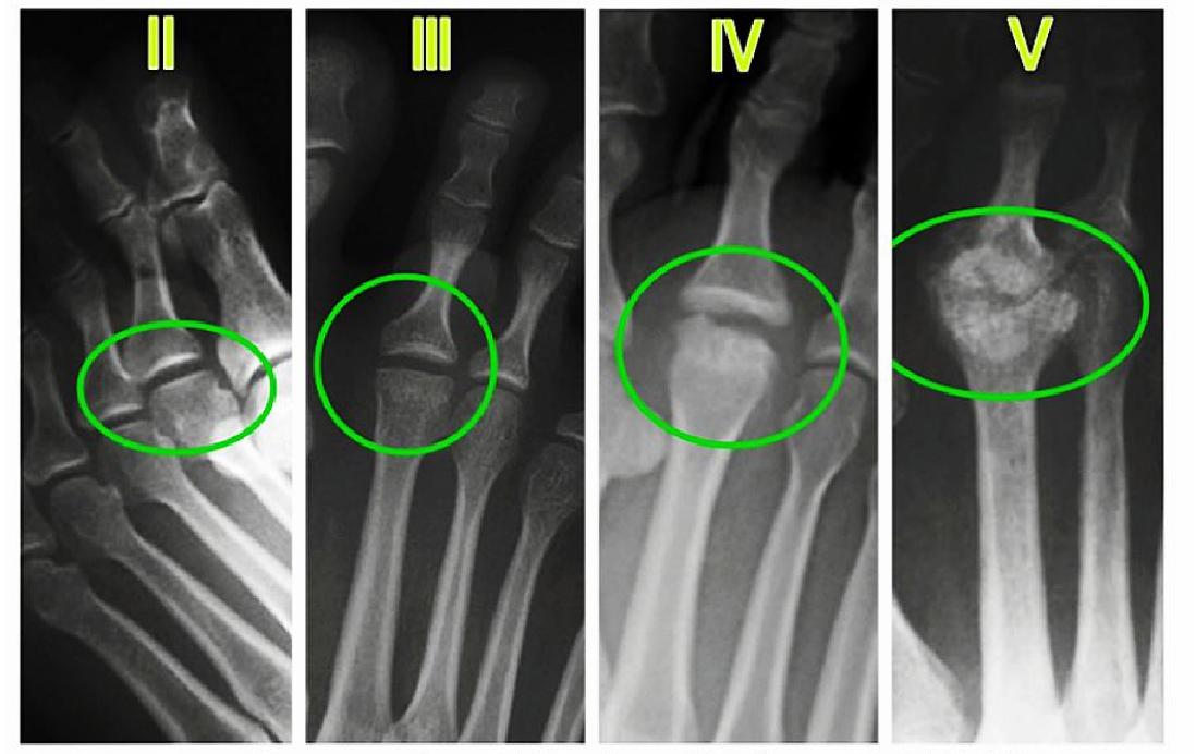
★Smillie于1967年根据病理变化将Freiberg病分为5期,这是目前临床最常用的临床分期方法,对指导治疗和判断愈合具有十分重受作用。

影像学表现?你看出区别了吗?(结合上面个分级表,你也可以当医生了哦)

怎么诊断自己是否得了“少女脚”?
★多见于青少年女性,部分患者有外伤史
★跖趾关节疼痛,长期站立或行走后疼痛加重,休息后可缓解
★关节存在肿胀、压痛。跖趾关节处可触及明显质硬性肥大。
★跖趾关节活动受限,尤其背伸受限明显,跖骨头下方可出现胼胝体。晚期可出现锤状趾或者叠趾畸形。
★X线平片可显示跖趾关节增宽、跖骨头扁平、关节中央凹陷或软骨下硬化。(必要时MRI或骨核素扫描检查可利于早期诊断,早期治疗。)
得了“少女脚”怎么办?如何治疗?
治疗包括保守治疗和手术治疗。
★疾病早期可行保守治疗,主要包括口服消炎止痛药、穿矫正鞋等方法减少前足负重、改善跖骨头血运。
★若保守治疗无效需采取手术治疗,主要手术方法有关节清理术、闭合楔形跖骨截骨术、关节置换术、关节成形术、自体骨软骨移植术。
保守治疗
★对于早期 Freiberg病可先尝试保守治疗,保守治疗的目的不仅是缓解症状,而且可逆转骨骺的微小损伤。
★主要包括口服非甾体类消炎止痛药、患肢制动、保护下负重等。
★保护下负重主要方法有穿硬底鞋、前足减压鞋、跖骨垫或石膏。
★大多数Smillie Ⅰ~Ⅲ期的患者通过保守治疗症状可达到长期缓解。
手术治疗
早中期的治疗方式
Smillie于1967 年根据病理变化将Freiberg 病分为5期,这是本病最早、目前使用最广泛的分期。
Freiberg病早期(Ⅰ期)不易被发现,患者常无症状,或仅有不适感。X线检查无法发现异常,MRI可发现早期变化。Ⅰ期患者在临床上难发现,临床上常发现Ⅱ~Ⅴ期患者。
Ⅱ、Ⅲ期患者年龄集中在16~25岁,这类患者病情进展较为缓慢,病程持续10余年才进展到Ⅳ期甚至Ⅴ期。对于此期患者,常采取保留关节的手术方式,通过重新建立关节匹配性,能够重塑跖骨头外形。

关节清理术

跖骨截骨术
晚期的手术治疗
晚期(Ⅳ、Ⅴ期)Feiberg病手术治疗方法也较多,包括跖骨截骨、微骨折技术、骨软骨移植技术等。此期跖骨头跖侧关节软骨出现破坏、趾骨关节面出现蜕变、跖趾关节出现关节炎。

软骨移植术

关节置换术
郭医生对“少女脚”的认识,你也知道吗?
★Freiberg病较为罕见,其确切的发病机制目前仍有争议。
★临床表现可因不同的病理阶段而有所不同,晚期可出现严重的疼痛及关节活动受限,严重地影响患者的生活质量。
★早期诊断具有重要意义,明确病变的程度和累及的范围。
★对于单纯的局部钻孔减压、跖骨头病灶清除+植骨术、跖骨头斜性截骨术就可以达到改善症状的目的,也可以在关节镜下行关节面修整游离体摘除术。
★对于晚期病变可以行跖骨头切除及硅胶趾关节置换术治疗。
(此处已添加医疗卡片,请到*今条头日**客户端查看)