
对于辽宁省、乃至省外周边的心血管病患者来说,下面这则消息颇有意义——
随着人口老龄化,心脏瓣膜病成为继高血压病、冠心病后的第三大心血管疾病。而对于高龄、外科手术高危或禁忌的患者来说,传统的手术方式往往需要开胸+体外循环+人工瓣膜置换,风险极高。
此时,代表国际上最领先技术的经导管主动脉瓣置入术(TAVI手术),能为他们带来更大生机。

成功操作TAVI手术,沈医二院心胸外科“破纪录”
近日,沈阳医学院附属第二医院心胸外科取得一项突破:1例84岁高龄患者,经心尖导管主动脉瓣置入术成功。
这,是继北方战区总院、中国医科大学附属第一医院、大连医科大学附属第一医院之后,辽宁省第四家医院第5例TAVI手术,标志了这项治疗心血管瓣膜疾病国际上最领先的尖端技术在沈医二院正式启动。

人工心脏瓣膜

介入输送系统
整个手术由学科带头人沈春健教授带领,联合导管室、麻醉科、ICU、体外循环、放射科、超声科等相关科室通力协作共同完成。

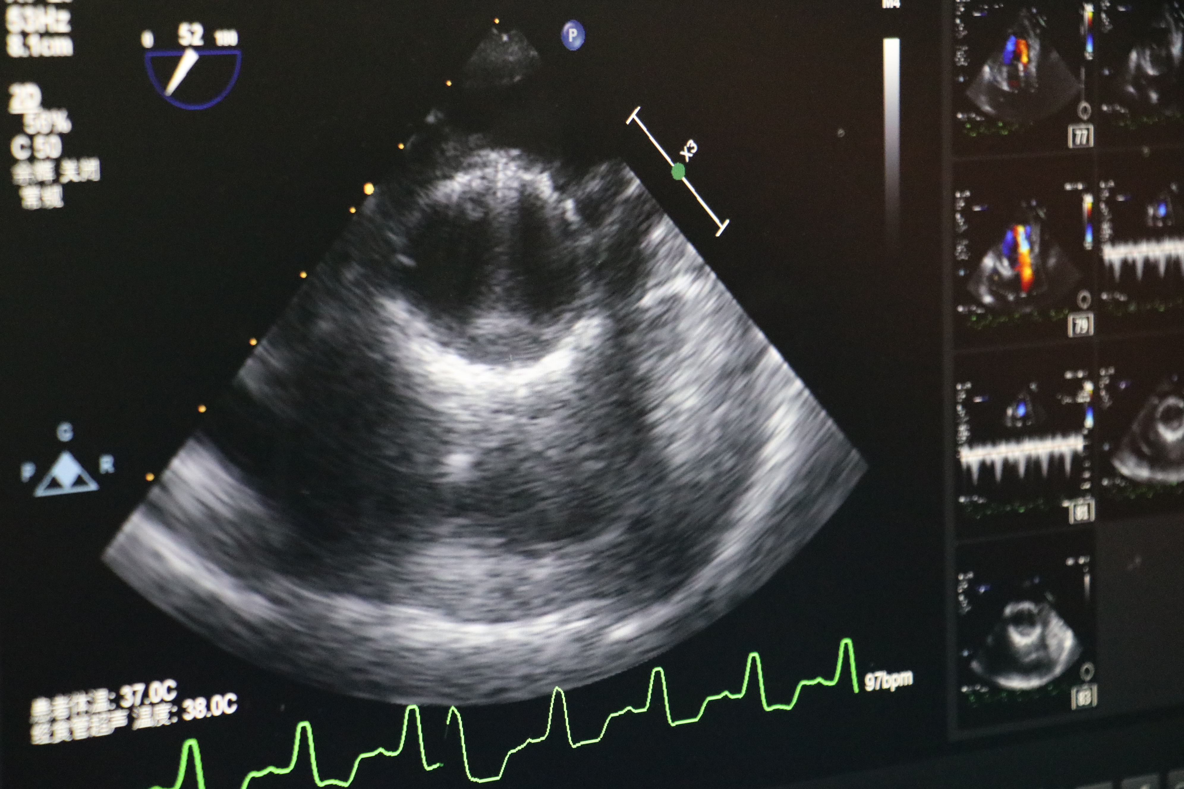
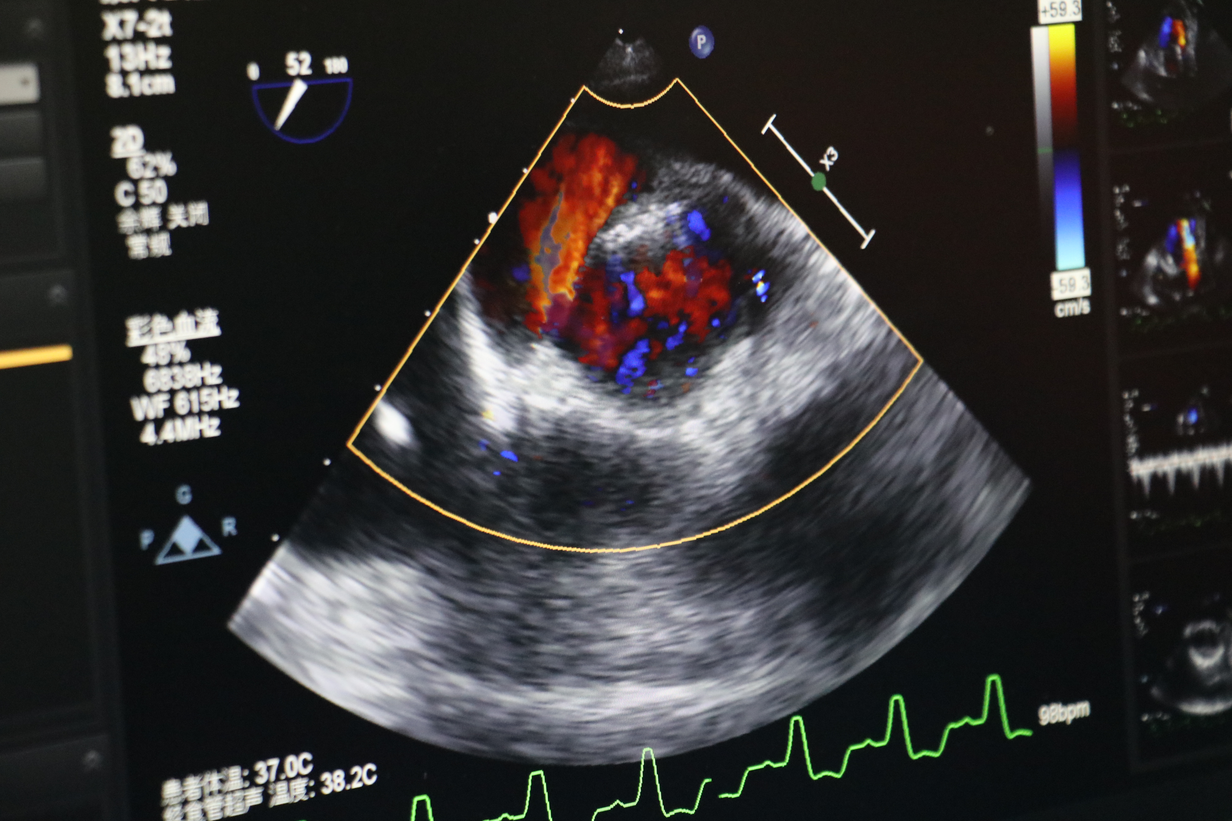
食道超声所示术中人工心脏瓣膜

食道超声所示术中人工心脏瓣膜
84岁老人大开胸?果断决策多科室配合,启动TAVI手术!
沈主任介绍,患者李某,84岁,“反复胸闷气短10年,再发并加重1月余”住院,经检查诊断为老年退行性主动脉瓣重度关闭不全,心功能Ⅳ级。如不外科手术干预治疗将会发展为心衰终末期,危及生命。
该类疾病内科药物治疗效果欠佳,而传统的手术方式需通过开胸体外循环人工瓣膜置换才能治愈,这对于高龄,且全身状况较差的李某来说有着巨大的手术风险。

针对李某的特殊病情,沈春健教授考虑采用经心尖导管主动脉瓣置入术(TAVI手术)是其最佳的治疗方案,并为李某制定了详细的TAVI手术计划。
3月30日早上,手术相关科室通力协作,麻醉科、介入导管室进行了充分的麻醉及器械准备。

11点手术正式开始, 全麻后,经左侧第五肋间小切口5cm依次经胸,显露心尖,双荷包缝合,穿刺心尖并置管,主动脉根部造影,示:主动脉瓣重度关闭不全,根据术前CT和超声心动图测量的主动脉瓣环直径,选用29mm的J-Valve介入人工心脏瓣膜,植入原主动脉瓣环处。

再次造影及TEE发现:主动脉瓣无返流,介入瓣膜形态满意,无瓣周漏,无跨瓣压差。

DSA下人工心脏瓣膜释放与固定
整个手术过程顺利,术后返回监护室平稳快速康复,术后第一天即返回普通病房下床活动。

多学科诊治技术到达新高度,应对老龄化心血管病高发!

沈春健主任提醒,随着人口的老龄化,心脏瓣膜病已成为继高血压病、冠心病后的第三大心血管疾病。经导管主动脉瓣置入术具有创伤小、恢复快等优点,为高龄、外科手术高危或禁忌的主动脉瓣病患者提供了一种新的治疗方法。
经心尖途径是经导管主动脉瓣置入途径之一,尤其适用于外周动脉条件差及主动脉瓣重度关闭不全病变患者。因该类手术技术难度高,需多学科协作参与,目前在全国只有为数不多的心脏中心能够开展。

沈阳医学院附属第二医院心胸外科此次手术的成功,意味着医院心脏疾病治疗水平及多学科协作诊治技术达到了前所未有的新高度,这将造福更多患者,给更多家庭带去希望。
【科室风采】
沈阳医学院附属第二医院(沈阳市心血管病医院)心胸外科是沈阳市唯一的集临床、科研、教学于一体的心脏大血管外科临床重点专科,科室坚持以病人为中心,将医疗、科研、教学三者有机结合并稳步快速发展,注重科研和新技术、新知识的应用,腋-腋动脉人工血管搭桥术、主动脉夹层杂交手术、气管支架植入术、上腔静脉综合征覆膜支架植入术等填补省级空白。全动脉化冠状动脉搭桥术、急性主动脉夹层腔内隔绝术、主动脉瘤腔内隔绝术、主动脉穿透性溃疡腔内隔绝术、急性心梗室间隔穿孔修补、室壁瘤切除术、锁骨下动脉支架植入术等填补市级医院空白。
心脏外科方面开展了室间隔缺损修补术、房间隔缺损修补术、动脉导管未闭结扎术、肺动脉狭窄矫治术、法洛氏四联症根治术、心脏肿瘤摘除术、二尖瓣置换术、主动脉瓣置换术、三尖瓣成形术、心脏停跳或者不停跳下冠状动脉旁路移植术,近几年成功开展心脏超声引导下微创房室间隔缺损封堵术、腋下小切口心脏手术,主动脉夹层介入手术治疗、动脉瘤、主动脉溃疡、头臂干动脉闭塞等介入治疗。现已成功开展腋--腋动脉转流术、腋--股动脉转流术、动静脉造瘘(肾衰透析)、动脉瘤切除术、动静脉瘘闭合术等。随着“一站式”杂交手术室的建立,为患者提供了更加安全和可靠的治疗疗效,也为多学科发展提供了相互学习、交流的平台,使我心胸外科上了一个新台阶。