肱骨髁上骨折是儿童骨折中最常见的类型。
肱骨髁上骨折需要手术治疗吗?医生通常会根据儿童的骨折类型进行判断,通常我们将肱骨髁上分为4型( Gartland分型 ),即Ⅰ型:无移位;Ⅱ型:部分移位,后侧皮质相连;Ⅲ型:完全移位;Ⅳ型:伸直不稳定或屈曲型,尺侧塌陷型。Ⅰ型多采用保守治疗,Ⅲ型、Ⅳ型采用手术治疗,Ⅱ型介于两者之间,目前多倾向于手术治疗。

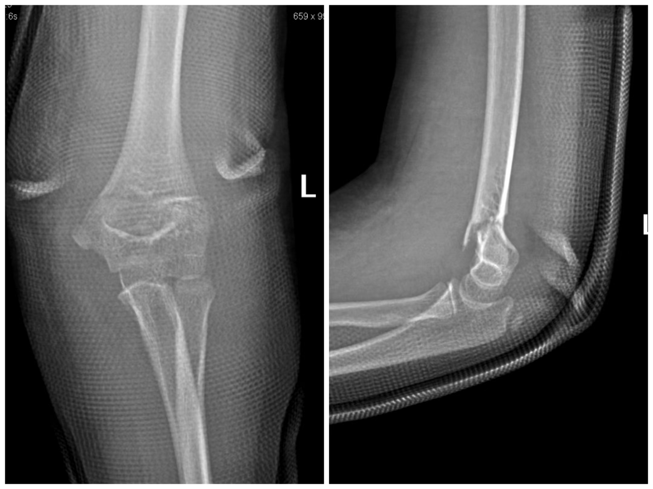
Gartland Ⅱ型

Gartland Ⅲ型

Gartland Ⅳ型
对于完全移位的骨折能不能采取保守治疗吗?对于完全移位、屈曲型、尺侧塌陷的髁上骨折,即使可以复位,但再移位风险较高,可造成肘关节畸形愈合。对于需要过度屈曲维持骨折端稳定的复位,屈曲位石膏或夹板固定增加了骨筋膜室综合征的风险。从循证医学的角度来看,儿童骨科医生通常会选择手术治疗。

肘内翻

Volkmann挛缩
肱骨髁上骨折的手术通常不像老百姓认为的那样恐怖,目前通常采用闭合复位经皮穿针技术。该技术微创,术后基本无痛苦,复位及固定效果基本能达到切开复位手术,而风险及并发症小于开放性手术。

