高血压导致脑出血第一时间急救 (高血压脑出血急救护理ppt)

▶63岁男子患高血糖多年突然昏厥紧急就医

63岁的邹大爷患有多年的糖尿病,一直服用 二甲双胍缓释片和注射胰岛素 进行搭配降血糖治疗,但是邹大爷在生活中对于血糖的控制并不在意,不仅药物多一顿少一顿,而且在饮食方面也没有忌口,导致其血糖控制的一直不是很稳定,每次复查都会被医生劝诫好好控糖,但是邹大爷对于医生的话不是很在意。

后来,邹大爷因为血糖控制不佳而引发了高血压,需要长期服用降压药来维持,邹大爷依旧觉得身体没有什么大问题,继续我行我素。

最近,邹大爷总是感觉到浑身乏力,头昏脑涨,甚至在遛弯的时候突然倒地昏厥,意识不清,家人紧急拨打了120将其送往医院进行治疗,医生向家属了解完邹大爷的基本情况后,为其做了一系列的检查,结果出来后,医生找到家属表示邹大爷是突发脑出血,需要紧急进行手术治疗,否则随时都会有生命危险。

高血压引起脑出血急救方法,高血压脑出血晕倒一小时急救

▶确诊脑出血,积极抢救挽回生命

家属听从医生建议为邹大爷做了紧急右侧血肿腔穿刺外引流术,帮助邹大爷将脑部的积血排出,最终手术顺利完成。邹大爷在手术中也没有造成额外脑部损伤,邹大爷在术后也脱离了生命危险。

邹大爷在手术后,医生为了进一步巩固治疗,给予邹大爷尿激酶注射,用来进行溶血和引流治疗,配合重组人凝血因子Ⅶa进行止血治疗,再加上抗感染药物一起,期间还时刻监测着邹大爷的生命体征,及时控制其血压、血糖的水平,最终邹大爷的病情得以控制。

高血压引起脑出血急救方法,高血压脑出血晕倒一小时急救

医生根据邹大爷的情况写下如下病历内容(部分):

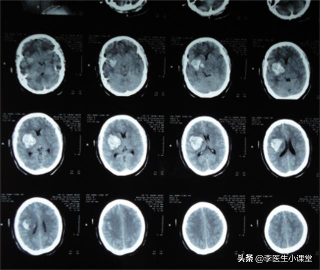
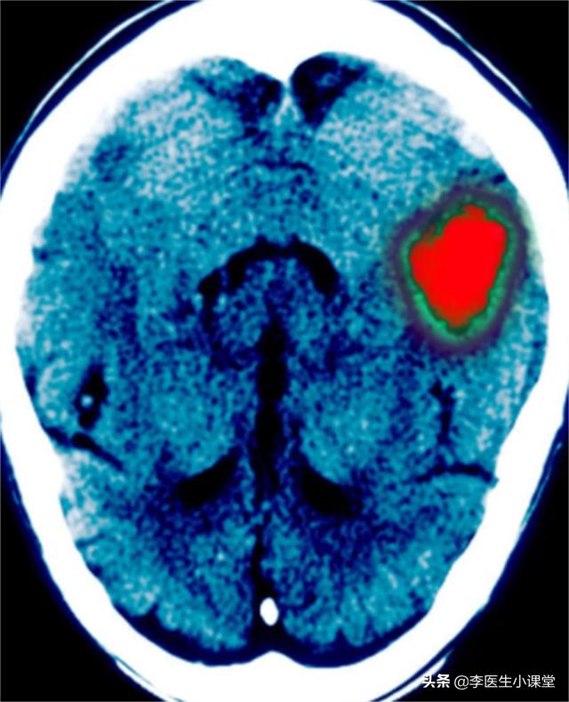
患者体温36.7℃、血压160/100、身高174cm、体重75kg。患者入院时意识模糊,无法正常沟通。颅脑CT显示:左侧基底节区脑出血(约15ml),双侧基底节区软化灶形成,可确诊为急性脑出血。

病史:

患者多年糖尿病病史,并未按医嘱进行日常控糖导致高血压的发生,血压控制亦不稳定,近日感觉到浑身无力,深思倦怠,头部隐隐作痛,在散步途中突发脑出血,倒地晕厥。

邹大爷的家属在其脱离生命危险后找到了医生,询问邹大爷的病情。

家属:“医生,请问目前我父亲的情况怎么样?”

高血压引起脑出血急救方法,高血压脑出血晕倒一小时急救

医生:“根据手术结果和术后的各项检查结果看来,你父亲没有再出现颅内出血的情况,生命体征也较平稳,等到他清醒后,我们再做进一步检查,看看有没有留下什么后遗症。”

家属:“那我父亲会不会以后都无法自理了?”

医生:“不排除这种可能,但是根据他的情况目前看来应该不会这么严重,具体预后怎么样,还得看患者自己的状态。”

高血压引起脑出血急救方法,高血压脑出血晕倒一小时急救

▶突发脑出血有什么症状?该怎么办?医生教您急救方法

此次邹大爷突发脑出血的过程中,因为路遇了一名下班的护士,家属在其指导下才迅速明白邹大爷的病因并且在等待急救的过程当中处理地很好,因为情况紧急,家属并没有记住具体流程,担心再次遇到邹大爷发病,家属找到医生询问。

家属:“医生,我害怕我父亲以后还会有类似的情况,您能教教我们再出现这种情况的话应该怎么应对吗?”

医生:“首先你要能判别你父亲到底是不是脑出血,一般脑出血有以下的症状,首先就是 发病比较突然 ,尤其是在情绪比较激动的时候,可能前一秒还在正常交流,但是后面马上就出现口齿不清、四肢麻木甚至直接晕倒的状态。其次就是 患者会出现恶心、呕吐并且伴随着头部的剧烈疼痛, 这说明血管破裂导致血液大量涌进脑部,给颅内压力并对身体造成影响。最后一点就是患者的颈部将变得异常僵硬,有时候掰动还会有抵抗。这是因为脑出血会刺激到颈部的肌肉收缩功能。”

家属:“好的,这些我记住了,那怎么应对呢?”

高血压引起脑出血急救方法,高血压脑出血晕倒一小时急救

医生:“如果发现患者发生了脑出血,必须记得第一时间拨打 120 急救电话,不要在慌乱下耽误病情,然后在等待救援的过程当中,家属最好将患者的体位改成 侧卧位 ,切忌一定不要让患者平躺着,或者在中途的时候私自搬动患者,因为这样会导致患者脑部出血数量增加,如果条件允许的情况下,还可以在患者 脑袋下面垫上东西 ,避免血液过多流入脑部,导致脑水肿的发生。”

家属:“好的,我知道了。”

医生:“另外还有,家属要帮助患者 保持呼吸 顺畅 ,可以采用解开衣领,掀开衣服的方式,因为患者在昏迷状态下容易窒息,如果口腔中有异物可能阻塞呼吸道也要及时清理。最后一点就是如果周围能找到冰的话,最好可以 用毛巾包裹着冰块给患者头部进行冰敷 ,延缓出血的速度,为抢救争取有利的时间。”

高血压引起脑出血急救方法,高血压脑出血晕倒一小时急救

▶配合医生进行康复治疗,邹大爷预后效果良好

之后,邹大爷顺利清醒过来,家属和邹大爷向医生致谢后,医生根据邹大爷的情况为他制定了一套全新的康复方案,通过复检等方式,邹大爷慢慢恢复了一些基本的身体功能,在生活中也能够自理。出院后的邹大爷听从医生的建议,按时服药,对血压、血糖都进行了有效的控制,避免进一步并发症的发生。

除此之外,邹大爷搭配药物治疗下,还在日常做起了有氧运动,保证每天一个小时的散步时间,在饮食方面也戒除了高油高盐的食物,换成了医生准备的食谱,渐渐的,邹大爷的整体情况不断改善,后遗症也越来越不明显,邹大爷感到身体状态比以前强了很多。

医生在此向大家建议,如果家中有脑出血风险的患者,家属们一定要注意以上急救方法,为抢救争取时间,及时挽回患者的生命。