首先,在口腔正畸或修复的临床治疗过程当中,对微笑的评价是在所谓的姿势性微笑(posed smile,又称社交性微笑,social smile)的状态下来评估的,这种微笑与情绪无关并且可通过训练使其更完美和谐,所以要评价是否属于露龈笑,首先要使自己调整到这样自然的微笑状态。

人在不同笑容状态下的牙齿和牙龈暴露量不同,因此要先统一评判标准。
因为这种微笑是经过训练后可以重复并相对稳定的一种状态,也就是嘴唇的位置相对固定了,那我们才能来评估牙齿和牙龈与嘴唇的位置关系,即所谓的笑线高度。

大部分影视明星在公众场合的上镜微笑,其实都是经过训练的一种“自然”状态。
在姿势性微笑的状态下,通常认为,暴露0~2 mm牙龈的笑容显得年轻,而超过2mm露龈量的笑容称为露龈笑(gummy smile或gingival smile)。有学者对不同程度牙龈暴露量的笑容进行评分调查,结果表明最具魅力的笑容是牙龈显露0.2 mm,如果牙龈显露3 mm及以上时,笑容魅力值大大降低。

另外,相对于男性来说,女性在露龈笑的宽容度上会好一点。也就是说,女性都会比较倾向于稍微露一些牙龈,而男性比较倾向于不露牙龈。

女方是正常微笑,男方已经算是笑得比较开了。
临床上也有以“笑不露齿”为主诉来矫牙的女生,因为这对女性美观的影响同样很大。

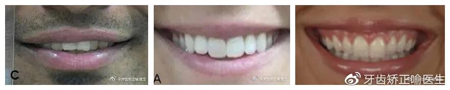
牙齿矫正结合微笑训练,逐渐改善笑线高度。
但是,露牙龈的量如果严重超标,那就人人平等了,比如下图。。。

感觉他这还不算大笑,已经露一堆的牙龈了。“天使男模”顿失颜值。
可见,露龈笑在人群中很常见,其病因复杂,与颌骨、牙、牙龈、上唇、神经、肌肉等有关,是多种因素共同作用的结果。
简单来说,对于仅上前牙萌出过度(常见于内倾型深覆患者),牙龈随之增生的露龈笑,或是上颌骨整体垂直向发育过度的长面型露龈笑患者,需要促进上牙槽骨的压低和牙龈高度的减小来改善,而对于因上唇提肌功能亢进,上唇收缩过度导致的露龈笑,则应从唇软组织着手,通过降低上唇提肌功能或上提空间来限制上唇收缩运动。
总结起来,针对不同情况,临床治疗露龈笑的手段如下:
1.牙或牙槽性的露龈笑,程度较轻者可通过单纯牙齿矫正正畸的方法压低上前牙或上牙列,严重者往往需通过正颌外科手术上抬整个上颌骨。
2.牙龈增生性的露龈笑,应进行牙周手术,如牙龈成形术或牙冠延长术,去除过多的牙龈。
3.软组织性的露龈笑,可通过A型肉毒毒素注射术(疗效具有可逆性,不适用于追求长期效果的患者)或唇再定位术(通过调整上唇系带及前庭沟软组织来限制上唇运动,属于外科手术)来改善。
另外,随着年龄的增长,笑线位置一般会逐渐下降,即牙龈和上前牙暴露量会逐渐减少。

面部肌肉与口唇软组织的增龄性变化在正畸治疗设计中也被重要考量。
所以,综上所述,露龈笑的病因复杂,如果受到这个问题的困扰,请找口腔正畸专业的医生进行详细的检查,医生会经过充分全面的诊断分析,结合你的主诉和颌面结构特点,选择牙齿矫正等最佳的治疗方案。
参考文献:
1. Sarver, David M. et al. American Journal of Orthodontics and Dentofacial Orthopedics, Volume 124, Issue 1, 4 - 12. 2.
2. Sarver, David M. American Journal of Orthodontics and Dentofacial Orthopedics, Volume 120, Issue 2, 98 - 111.
3. 郑玮,李宇.国际口腔医学杂志,2017,44(05):509-513.