世事无常,谁都无法预料到意外会在哪一刻突然降临。31岁的常某像往常一样在工地上工作,夏日的工地上,上百辆工程机械紧张作业,挖掘机、推土机的轰鸣声震耳欲聋,重型卡车来回穿梭,荡起滚滚尘烟,本以为今天和昨天一样又是一个普通的工作日,谁想到一次突如其来的意外打破了这份平静。常某在作业中,意外从数米高台坠落,陷入昏迷,在工友的齐力协助下紧急送往医院,急诊医生对其全身检查后,判断为颅脑挫裂伤、脑内血肿,抢救生命刻不容缓,当地医生为常某做了去骨瓣减压术+血肿清除术。

术后,在家人焦急地期盼下常某终于醒了过来,家人还没来得及松口气,就又出现了新的状况,一轮又一轮的高热折磨的常某疲惫不堪,为了挽救他年轻的生命,几经辗转,父母和兄弟带着常某不远千里来到北京航空总医院肖主任处,寻求更好的治疗。

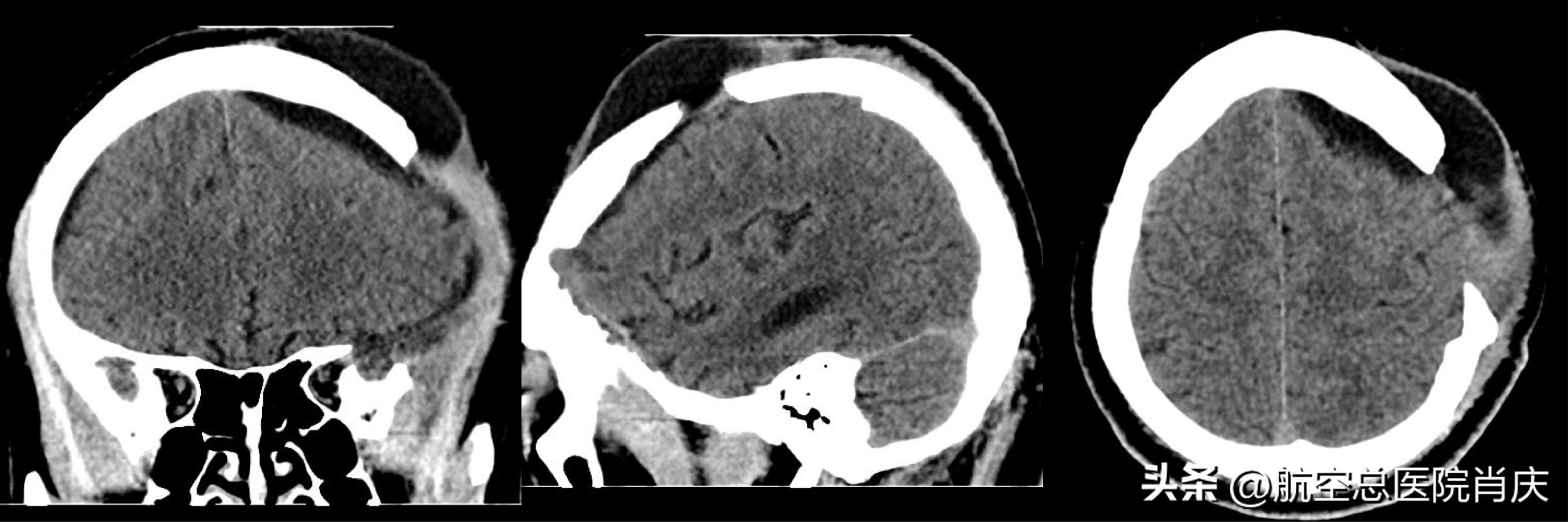
术前
常某脑外伤术后持续高热,病情危急,入院后完善各项检查的同时进行抗感染及保肝治疗。根据头颅影像学检查及患者体征明确诊断,曾开放性颅脑损伤,去骨瓣减压术后,仍存在皮下积液及体温升高,需清除局部脓苔,并结合抗感染治疗。确定了治疗方案,肖主任团队为常某在全麻下行硬膜外脓肿清除术。手术非常顺利成功,术后继续抗感染对症治疗。历时18天的医治,患者常某恢复良好,不再有发热、头痛的症状,可以正常交流,起身,行走,已经可以出院休养。

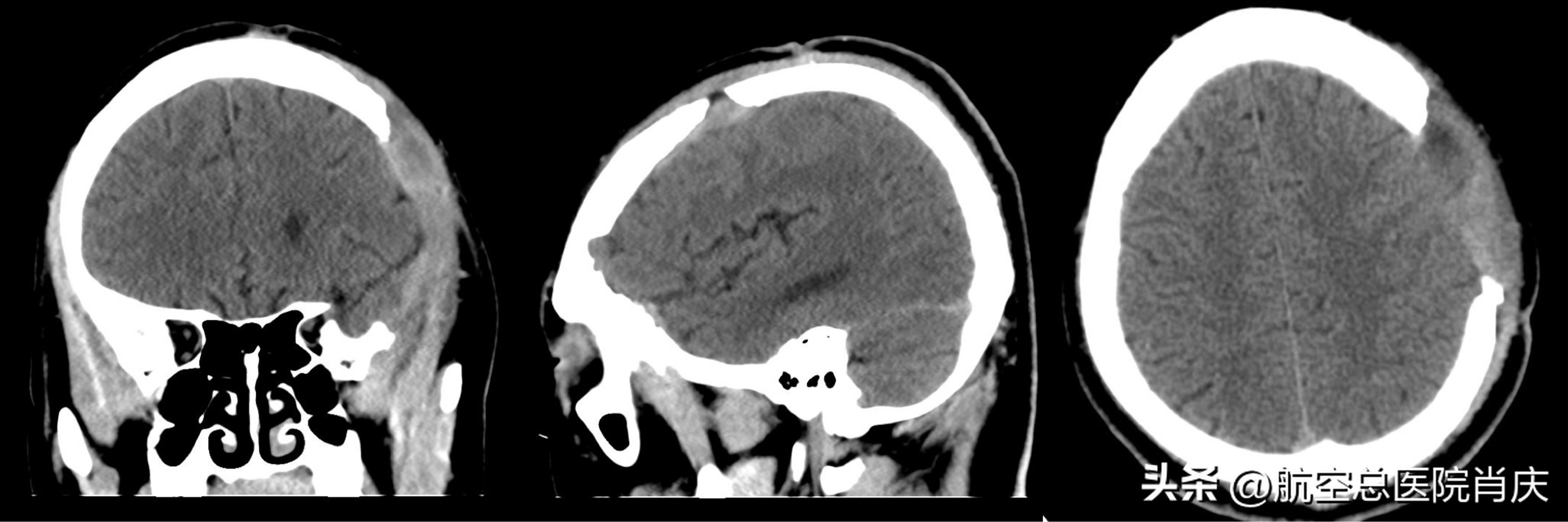
术后
在这里也提醒那些在户外进行高空作业的工人,一定要做好安全防护工作,作业前提前检查好装备,遇到极端天气时应立即停止高空作业,尽最大程度避免意外的发生,否则一旦出事,很可能连挽回的机会都没有。

患者术后恢复良好准备出院