前两天,不知道各位大朋友
有没有凭借自己的可爱成功过节呢?
不过话说回来,
第一批00后已经超儿童年龄了!

那么,正值青春年华,
你们......一定有不少人长了痘痘吧?
长痘痘是大多数人年轻时都要经历的事,不少人由于个人原因使得自己的青春痘狂长,不仅影响外观,还影响人的心情,让人非常困扰,但是,所有的痘痘都是因为“青春”吗?
来自广州的小野(化名),她的左侧下巴有一颗“痘痘”,困扰了她一年多,这可不是“青春”,而是“烂牙”导致,在经过我院口腔科的治疗后,痘痘终于开始消退。

脸上长“痘痘”,竟是根尖周炎的瘘管!
小野的这颗“痘痘”长了一年多余,一开始她并没在意,以为只是普通“青春痘”,直到“痘痘”周围皮肤略有凹陷,经久不消,以及左脸的反复肿胀,才使她对这个问题重视起来。
从半年前开始,小野先后就诊于广州市多家三甲医院及口腔专科医院,接诊的医生怀疑是智齿发炎及智齿前面的烂牙所致,于是相继拔除了这两颗牙。但是拔牙后“痘痘”仍然没有消去,因此小野来到了我院口腔科就诊。
口腔科主任房思炼副主任医师为小野进行了详细的问诊与检查后发现,小野口内左下后牙区仅存一颗大牙,该牙远中区见一大面积树脂样的淡黄色充填物,充填物下方近龈处可探及一深大龋洞,内含大量软腐质。并且在靠近前一颗牙的牙龈处有一个深红色的“脓包”,戳破后见大量脓液从脓包里流出。房思炼使用牙胶尖从脓包处插入,定位瘘管的来源,最后发现病变出处均指向了同一颗大牙。

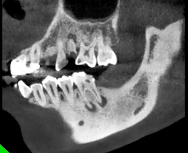
结合CBCT检查,“痘痘”终于现出了原形!
在CBCT扫描所得的影像中,可以清晰地看到,小野最后一颗大牙的根尖有明确的暗影,所指示的结果为该牙根尖区域已经被炎症所波及,根尖的骨质已经被吸收。

在3D的图像中更是触目惊心,原本完整的下颌骨表面出现了两个深坑,根尖骨质已经被“腐蚀”掉了!

至此真相终于大白,结合所有的检查,患者脸颊部位硕大的“痘痘”和口腔内脓包的来源,都一一指向这颗大牙,引起小野如此破相的原因就是这颗大牙闯的“祸”!
其实这颗可怕的“痘痘”,并不是真正的青春痘,它的真身其实是这颗烂牙因根尖周炎久病不治,拖延病情而导致的瘘管!
对小野这颗牙行根管治疗术一周后, 从外观上看,侧面可见颊侧瘘管已明显消减,正面也已看不出明显“凸起”。

什么是根尖周炎?什么是瘘管?
房思炼介绍说,牙根尖周组织的急性或慢性炎症称为根尖周炎。

引发根尖周炎的原因有以下几种:牙髓炎发展到晚期,牙髓组织大部或全部坏死时,或有细菌感染,引起根尖周组织发炎;牙齿受到急剧的外力撞击时,根尖周组织也会受到猛烈的创伤而造成根尖周炎。
虽然小野的这颗大牙以前因龋坏已经修补了一次,但由于她没有吸取教训,不重视口腔卫生,疏于牙齿的维护,于是细菌在牙齿没有清洁到位的地方又开始繁殖发展,久而久之病变波及到牙神经,使牙神经反复发炎。
未得到及时治疗的炎症进一步发展,在根尖形成了脓液,大量的脓液不断地积累,最终会循着组织薄弱的地方破溃,轻者破溃在口内的牙龈粘膜,严重者便是循着骨膜从皮肤软组织处破溃,在皮肤上“穿孔”——形成瘘管,于是便成了所看到的”痘痘“了。

可惜的是,初期牙神经发炎后引起的不适感并未得到患者的重视,直到脸颊部的反复肿胀和疼痛,到了无法忍受的程度,才驱使她去求医,却为时已晚!
房思炼提醒市民:当疼痛影响日常生活,说明炎症已经发展到了十分严重的地步了,身体发出的每一个异常信号都需要我们提高警惕,将病痛的萌芽及时扼杀在摇篮里,方不会让小病酿成大祸。
如何预防根尖周炎?
归根结底,这个可怕的病例还是龋齿没有得到重视造成的,因此给广大市民敲响了警钟——重视口腔问题,定期进行口腔检查!

“烂牙”一开始只是小问题,补牙可以一次补好,费用也比较低。但如果不及时将“烂牙”补好,细菌就会侵入神经,此时则需要做根管治疗,就诊时间会变长,过程也会相对繁琐,并且费用也会成倍的上升。因此,房思炼建议广大病友,一定要养成定期检查牙齿的习惯,及早发现问题,及早治疗,勿让小龋洞酿成大病灶,勿让小问题变成大问题!
本文指导专家

口腔科 房思炼 专科主任
医学博士,副主任医师,硕士生导师。
1993年大学毕业,1999年获华西医科大学口腔医学院口腔颌面外科博士学位,2000年在中山二院口腔颌面外科从事博士后研究工作,出站后一直在中山五院从事临床工作。
学术任职:国家自然科学基金同行评议专家、中华口腔医学会会员等。
学术专长:擅长口腔颌面部及头颈肿瘤的诊断、手术及化学治疗;口腔颌面部疼痛及创伤的诊治;颞下颌关节疾病的诊治;先天性及后天性畸形(如唇腭裂、外伤性面部畸形等)的修复、复杂牙的拔除及心理治疗等。
出诊时间:周一上午、周三下午、周四下午
【感谢口腔科陈晓莉医师对本文的支持】
文/中山六院
部分图片来源于摄图网、搜狗图库