【患者主诉】
牙周炎门牙松动,咬合深,咬合创伤导致门牙前突,牙缝过大,唇部突度严重影响美观。
【术前口内照】

术前口内照
【面诊检查】
牙列:恒牙列
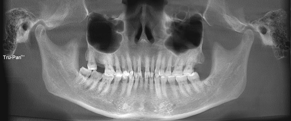
牙齿:17牙周炎拔除缺失
牙体牙髓状况:12、22过小牙
叩诊、松动度;11松动3度,牙周牙槽骨退缩,牙周溢脓,严重的深覆导致前牙咬合到牙龈,咬合创伤加剧了牙周疾病。
牙弓:对称性;宽度:狭窄;
牙龈牙周:退缩。11严重口腔卫生状况、牙结石2度
咬合状况:II类磨牙关系;
覆合覆盖:覆合8mm,覆盖8mm,
前牙唇倾度:过大;
拥挤度:下颌中度拥挤。
【头颅侧位片】

头颅侧位片
【术前全景片/CBCT】

术前全景片
【检查诊断】
矢状向:安氏II类双颌前突,上下切牙唇倾
垂直向:深覆合III度,下颌Spee曲线深 咬合创伤,牙周炎
横向:牙弓狭窄
中线:上中线对正
拥挤度:上合缝隙 下颌中度拥挤

【治疗目标与方式】
矢状向:内收上合牙列,改善前突。达到中性关系。利用17缺失间隙远移上合前牙列,内收前突的上合牙列。上下切牙舌倾内收
垂直向:邻面去釉排齐下颌前牙,压低下颌前牙改善深覆合。
横向:牙弓扩弓
中线:维持 上合中线
11牙周科会诊建议拔除,鉴于咬合创伤严重,正畸会诊建议给予保守治疗,先行牙周基础治疗,正畸打开咬合,减少了门牙的咬合接触与创伤。经过2年隐适美的治疗,不但改善了严重的深覆盖深覆,还成功的保存了这颗严重松动的牙周炎牙齿。正畸后无松动度,牙周无红肿溢脓。
【案例难点】
1、 II类骨性深覆盖严重前突 2、 咬到牙龈舌侧的严重深覆 3、 牙周炎及咬合创伤 4、 年龄过大 5、异地远程治疗与监控(患者和女儿在宁夏银川生活)每3个月来京复查一次。
幸运点:成功关闭了门牙牙缝,保留了即将拔除的牙周创伤松动牙。
【术后口内照】

术后口内照
【案例总结】
患者主诉牙列拥挤不齐、唇部突度不美观。根据患者的主诉和牙齿本身的情况,保守治疗保存了牙周患牙,分步压低前牙打开咬合,避免了咬合创伤,为关闭前牙牙缝创造了条件。