网络咨询病例:


前言: 检查发现的肺结节,永恒的争论是炎性还是肿瘤性。一般随访中病灶吸收变淡则是炎性,若是持续存在则容易是肿瘤范畴的。但当炎症区域大部分已经吸收不见,仍有磨玻璃结节在,说恶性又不太典型,此时如何考虑为好呢?近日有位问诊的结友就是这样的情况,让我们一起来分析一下。
第一次问诊:2022年7月
疾病描述:
男性,40岁。双肺多发小结节,较大者位于左肺下叶,属磨玻璃结节,最新ct显示该结节密度不均匀,实性较高的中心密度约-300hu,整体平均密度高于-500hu。 CT一共有四次,均为薄层,可提供dicom文件: 第一次:2019.10 ,因感染肺炎进行CT;第二次:2020.08,公司健康体检; 第三次:2021.09,公司健康体检; 第四次:2022.06,主动肺结节复查。
影像展示与分析:
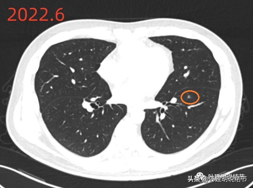
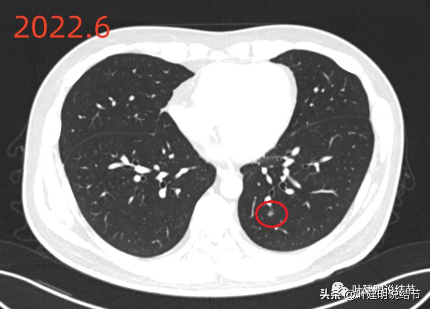
2022年6月的影像:

左下叶病次病灶(以下称病灶A)是微小磨玻璃结节,密度略不均,显得像混合磨玻璃密度,但纵隔窗应该未见明显实性成分的,整体轮廓较清,膨胀性不明显。感觉像慢性炎伴不典型增生或肺泡上皮增生可能性大。

左下叶主病灶(以下称病灶B)位于后基底段,是磨玻璃密度的,有微小血管进入,轮廓较清,像肿瘤范畴的结节些,原位癌可能性较大点,但目前较小。
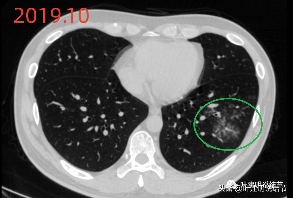
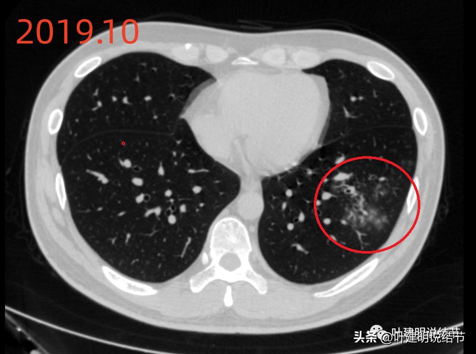
再看2019年时的影像:

当时病灶A就有,密度比现在感觉还略高,膨胀性更不足点。至少到2022年,病灶说不上明显进展。

病灶B当时也有,也是磨玻璃密度,轮廓清,有微小血管进入,应该仍考虑是肿瘤范畴的,只是也仍考虑不典型增生或原位癌可能性大,且前后对比无显著进展。

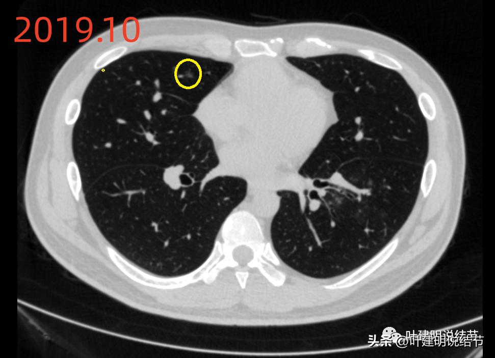
当时左上有微小高密度结节(以下称病灶C),考虑良性可能性大。

右中叶有淡磨玻璃结节(以下称病灶D),考虑慢性炎伴纤维增生或肺泡上皮增生可能性大。

当时左下有肺炎。

上图是不是病灶A所在的地方?旁边 还有其他两处磨玻璃密度的结节。

上图也是当时左下的炎性区域。
我的意见:
先看2022年6月的片子时,感觉左下叶红色圈起来的像原位癌,桔色圈起来的像不典型增生可能性大些。但回顾2019年的片子,当时有肺炎,如绿色圈起来的范围内都是炎症性的,那时候这两个病灶也有,但红色这处当时瘤肺边界模糊点,桔色这处密度比现在感觉要高点,又结合当时炎症过,所以总体看来,桔色的考虑慢性炎性结节可能性大;红色的虽不能除外原位癌,但也无法除外炎性,至少风险应该不算高,如果再随访下也可以的。若手术,红色的要后基底段切除,桔色的要前内基底段切除,就留下外基底段与背段感觉有些孤立;若均楔形切除也是可以的,但若均是炎性,则不划算,我个人意思仍是风险不大情况下,再观察下,反正危险不大嘛!
第二次问诊:2023年6月
疾病描述:
肺结节复查,昨天刚做完ct。
疾病:
双肺多发小结节,其中较大者在左肺下叶。
希望获得的帮助:
医生提供意见。
影像展示与分析:
再来看2023年6月的影像情况:

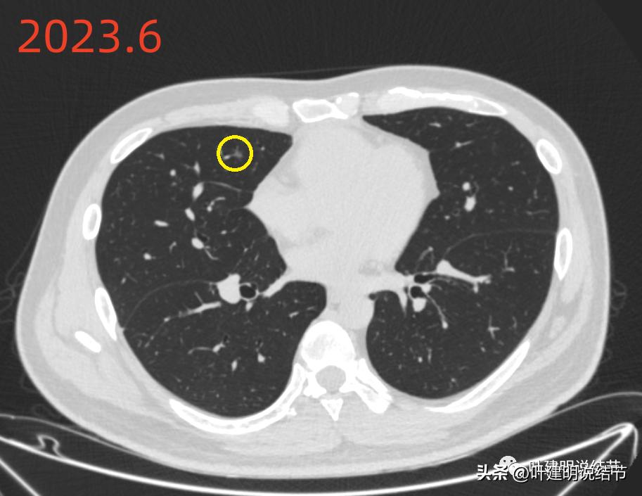
左上病灶C仍在,而且密度与2019年时比,感觉略高,大小没什么变化,基本上是良性的,纤维增生结节可能性大。

右中叶病灶D较2019年时也没有明显变化,膨胀性不够,但持续存在,考虑慢性炎伴纤维增生或肺泡上皮增生可能性大,能随访。

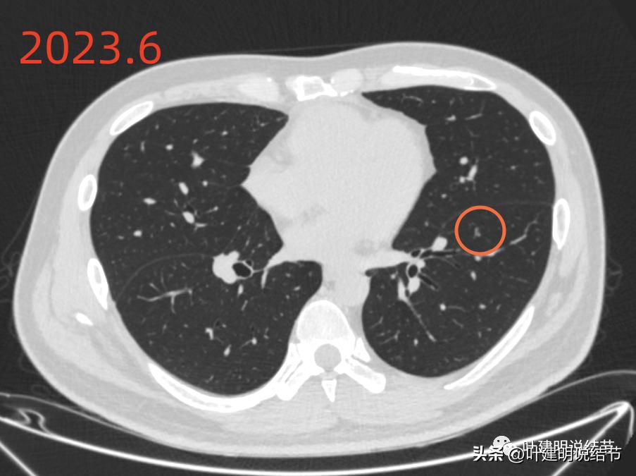
左下病灶A仍在,感觉较前略有收缩,而且它旁边原来在2019年时有的磨玻璃结节已经完全吸收。考虑慢性炎可能性更大些。

左下病灶B持续存在,密度略有增高的样子,轮廓清楚,有微小血管征,仍要考虑肿瘤范畴的,以原位癌可能性稍大,大小无明显进展。
我的意见:
绿色圈起来的左上叶微小结节一直有,密度高,轮廓略糊,考虑是良性纤维增生结节;黄色圈起来的右侧的小片状磨玻璃影,非圆形或类圆形,且对比无进展,考虑是少许纤维增生。左下主病灶持续存在,轮廓较为清楚,但实性成分不明显,考虑不典型增生或原位癌可能性较大,目前风险不算高,个人以为仍可随访;左下次病灶密度显高,边缘略糊,不太像恶性。原来又炎症过,对比此前此处刚好是炎症较为明显的位置,所以比较符合慢性炎点,目前风险低,能随访。意见供参考!
感悟:
炎症与肿瘤可以同在。当患过肺炎,炎症时有磨玻璃结节病灶时,随访,也只有随访才能来确定哪些是炎性结节,哪些可能是肿瘤范畴的结节。我们再强调:持续存在轮廓与边界清楚的磨玻璃结节基本上都是肿瘤范畴的!但是否干预处理则仍要综合考虑其生长速度、位置以及是否多发,还有患者的心理状态等多方面因素。总体上来说,进展缓慢、仍无大的风险就能再随访,但一定要按时复查对比,有时还需要靶扫描看细节信息。而在不断的随访过程中,大浪淘沙,那些不是肿瘤的结节就均被淘汰出局了,留下的才是真家伙!

(此处已添加医疗卡片,请到*今条头日**客户端查看)