---濮阳市安阳地区医院心内科运用IVUS-TST技术攻克CTO病变
濮阳市河南省安阳地区医院于上世纪九十年代率先在本地区开展了十余项心脏介入诊疗项目,填补了该领域的空白。尤其是冠状动脉介入诊疗技术以其规范、高效、并发症发生率低,挽救了无数患者的生命。但是传统的冠脉造影已不能完全满足临床的需要,随着冠心病介入治疗(PCI)的发展,需要对冠脉内的解剖结构及病理生理状况有更全面的了解以指导介入治疗。血管内超声(IVUS)就好比介入医生的另一只眼睛,可以多方面弥补血管造影的不足,在冠心病的介入性诊疗中有很高的指导价值。安阳地区医院引进IVUS以来,有效弥补了冠状动脉造影中的不足,使介入治疗策略更加精准,方案更加优化,并发症得到有效预防,与国际先进心血管技术水平接轨。近日,中国心脏联盟心血管病预防与康复副主任委员、中国女医师协会心脏康复研究中心副主任、安阳地区医院刘慧教授带领心内科团队,又运用目前尖端的的血管内超声指导的真腔寻径与跟踪(IVUS-TST)技术攻克一例高难度慢性闭塞病变(CTO),其冠心病介入诊断治疗水平又有了一次大的飞跃,更加近距离的触及到当今最先进的介入诊疗技术。

病例回放
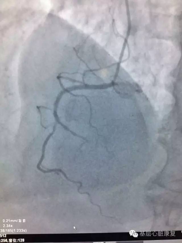
安阳地区医院心内一科收治一位65岁男性患者,一个月前冠状动脉造影示前降支70%狭窄,回旋支50%狭窄,右冠脉100%闭塞。仅右冠需要血运重建,为冠状动脉介入治疗适应症。曾于一月前行右冠状动脉介入治疗,因导丝进入假腔,未能通过闭塞病变,手术未成功。

艰苦博弈
CTO是指冠状动脉100%闭塞且闭塞超过3个月的病变。是当前介入治疗的难点之一, 因CTO介入治疗难度较大,成功率较低,因此也被称为冠心病介入治疗领域最后的堡垒,是高手竞技的舞台,纵使国际上最顶尖的专家也不能保证100%成功。对于这样一个曾行冠状动脉内介入治疗术失败的病例,病变处病理结构复杂,无疑又增加了手术的难度,注定是一场勇敢者的战斗,是对术者技术、信心、体力、耐力极限的挑战。对于这样一个曾经失败过的复杂的病变,刘慧教授带领心内科团队术前反复剖析病变,切磋商讨,术中凭着心血管介入技术的深厚功底以及娴熟的操作技巧,运用介入新器械、采用血管内超声指导真腔寻径与跟踪的前向新技术与病魔展开鏖战。




攻克难关
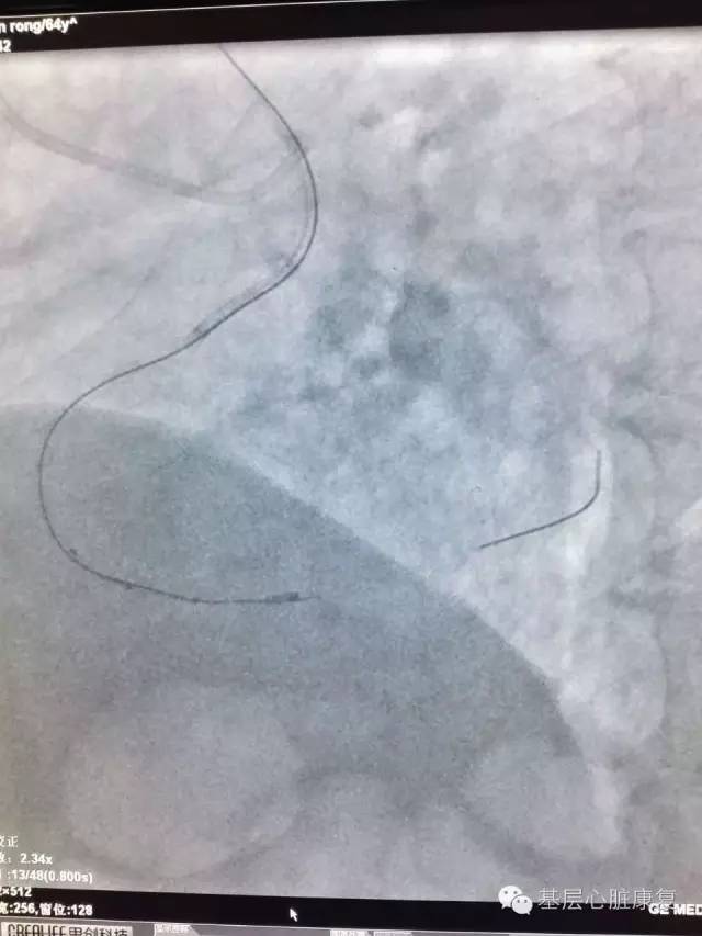
汗水湿透了手术衣而浑然不知,厚重的铅衣未能压垮必胜的信念。忘记了时间,忘记了疲劳,忘记了家里的老小。面对复杂的器械和病变,脑子时刻清晰不能有一丝混乱,心中的执着不能有一点懈怠。眼睛紧盯屏幕捕捉每一刻的影像,手中的钢丝在IVUS指导下探寻着通往光明的每一丝线索, 直至导丝穿入真腔并沿真腔前进,到达远端血管病变。

胜利喜悦
这时看一下墙壁上的钟表,已是深夜12:00了,不知不觉手术已进行了3个半小时。夜已深,大家已进入甜蜜的梦乡,而他们却为手术挑战的成功感到振奋,为患者感到由衷的高兴。他们渴望每一个患者的痊愈,渴望每一次手术的成功,渴望迎接每一次的挑战,他们一直在不懈的努力着……

知识链接:
血管内超声(IVUS)技术就是在心脏血管内做超声检查。老百姓都知道腹部可以做超声检查,如果冠状动脉血管内做超声检查,其精细程度可想而知! 血管内超声(IVUS)是利用心导管,将一高频微型超声探头送入冠状动脉血管腔内进行探测,经电子成像系统来显示其内部结构和形态的微细信息,是无创性的超声技术和有创性的导管技术相结合的一种新的诊断方法。运用该方法可以准确掌握血管的管壁形态及狭窄程度,尤其是在冠心病的介入性诊疗中有很高的指导价值。IVUS新技术以独特的视角进一步开辟了心血管疾病诊疗的新途径, IVUS技术诊断冠心病评价动脉壁粥样硬化具有比冠状动脉造影更高的准确性,是目前指导支架植入和评价支架植入效果的最佳指标。IVUS技术的可以更清晰、直观地“捕捉”冠脉内病变的性质和进展,精确地测量出冠脉狭窄和闭塞的程度,明确狭窄性质,科学判断疾病的严重程度,可从根本上提高冠心病的诊断率,及早清除心脏内的隐形杀手,冠心病患者将得到更大获益。

注:此文为广告推广