
皮肤这样怎么办!
泳衣、背心都不敢穿了
你这是得了银屑病又名“牛皮癣”
得了皮肤病要趁早治疗!
银屑病是一种常见的、慢性、反复发作的以红斑、鳞屑为特征的慢性炎症性皮肤病。此病病因尚未明确,可能与遗传、感染、免疫、精神因素等多因素相关。
有调查显示银屑病患者中有10%~20%左右有家族史,有6%的银屑病患者有咽部感染史。而据统计,我国目前约有650万银屑病患者,且患病率逐年上升。我院皮肤科杨玉峰主任从事皮肤科工作20余年,对治疗银屑病具有独特的见解及丰富的治疗经验,取得广大患友的一致好评。

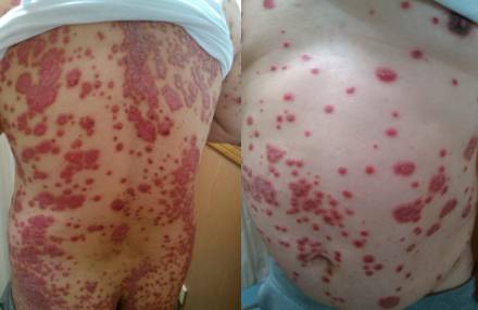
2016年6月的某一天,一位中老年患者朋友满眼绝望地走入杨主任诊室,在这炎热的夏季这位患者朋友身上套了一件长袖衬衫,他用低沉地声音询问杨主任:“杨主任,你能帮我把病治好吗?我已经看了很多年,各大医院都看遍了,都没法看好,我就要绝望了”。杨主任亲切地问了一声“你是哪里不舒服呢?”,只见患者将上衣向上撩开,患者满身的红斑映入眼帘。

(图为治疗前)
“杨主任点头示意并详细地咨询患者朋友病史后述说道“根据皮疹的颜色及舌脉,考虑为血热型银屑病,只要你配合治疗,我尽我最大努力,有机会好转。”

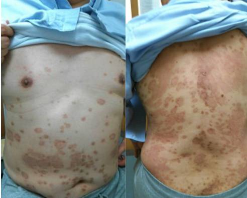
(图为治疗后)
根据患友证型,杨主任治疗处以清热解毒,凉血活血为法。患者朋友治疗1周后,自觉症状有所改善,满怀信心再次来到杨主任诊室,间断治疗半年后,患者朋友瘙痒已控制,身上皮疹也已基本消退,只留下褐色印记。患友满心欢喜,这让他重燃了对生活的希望,他向杨主任连忙道谢后便欣然离开了。
为响应“世界银屑病日”号召,深圳市中医院将在二门诊楼一楼挂号大厅举行一场关于皮肤健康的免费义诊活动,为广大的群众带来福音。
届时我院皮肤科带头人主任医师杨玉峰教授带领一队青年骨干医师为广大群众诊疗各种皮肤相关问题,包括湿疹、*麻疹荨**、银屑病、*褐斑黄**、*疮痤**、脱发等问题,欢迎各位友人参加。
活动时间:
2017年10月30日9:00-11:00
活动地点:
深圳市福田区福华1号深圳市中医院(二门诊)门诊楼一楼挂号大厅
深圳市中医院皮肤科
皮肤科是深圳市中医院的特色专科。创立于1979年,现由专家杨玉峰教授主持。杨玉峰教授是位热忱传统中医的中医大家,不仅擅长传统医学,更能中西医理论相结合,运用中医传统疗法与现代诊疗技术治疗各种皮肤疑难杂症。在中医治疗皮肤美容方面也有深刻的体会。经多年临床对治疗皮肤病方面有丰富的经验。
擅长治疗难治性*疮痤**、慢性湿疹、慢性*麻疹荨**、银屑病、脱发等。我院皮肤科在杨玉峰教授的带领下,目前科室科研有热毒清颗粒、桑叶消风颗粒、健脾祛湿颗粒、养血祛风颗粒等经验方药,另外研制*疮痤**溶液、消斑散、侧柏溶液、榴莲皮软膏等特色外用药物。并常年开展自血疗法、刺络拔罐、火针等特色疗法。