“欢迎您乘坐和谐号动车组列车,您乘坐的这趟列车是由合肥南站开往上海站的G7258次列车……站在车门附近的乘客请您到车厢里面就座,列车就要开车了”。
大梅坐在靠窗的座位,呆呆地看着窗外。薄薄的雪花落在窄窄的窗框上,一阵风吹过就落了下去。大梅不禁心头一紧。

“看什么呢?今天起得早,靠着眯一会吧”。老公轻轻揽过她的肩头,轻声说道。
“嗯”,大梅含混地应了一声便不敢再出声,赶紧闭上了眼睛,她怕哽咽的声音和眼里的泪光暴露她心底的恐惧。
这次去上海,不是去玩,而是去看病,那种看了很久也没看好的病。
这两个多月,大梅反反复复地发烧咳嗽,看了好几家医院都说是肺炎,但是眼看着最近越来越严重,吊水都压不住了,这次去上海能看好吗?真的只是肺炎吗?大梅不敢想,也想不下去了。
大梅微微睁开双眼,看到窗外的电线杆迅速地向后退去,但是前面好像还有无数根电线杆。大梅感觉,也许这是一个死循环,就像她每一次退烧之后还会很快再一次发烧,其实可能还有无数次发烧在等着她。
大梅从老公肩上抬起头,把脸转向了车窗的一侧,眼泪落了下来。
那是两个月前,双十一前夜,大梅特意冲了杯咖啡,算是吹响“血拼”的冲锋号。但刚喝上两口就剧烈地咳起来。大梅想着兴许喝太快了,没太在意。之后她酣畅淋漓地奋战到凌晨两点半,终于清空了购物车,才心满意足地去睡了。
第二天早上,大梅醒来就觉得头晕乎乎的,一量体温发现发烧了。还好是周六不用上班,她去社区医院配了些消炎药。吃了两三天,发烧好了。
第二周的周六,最后的三个快递即将到达。大梅很开心,中午炖了自己最爱的鱼汤,一边喝汤一边期待。

小半碗鱼汤下肚,大梅又开始咳嗽起来,这次咳嗽得还挺厉害,差点咳吐了。傍晚,家里的八哥在敲门声中叫着“快递来了”的时候,大梅已经开始发起高烧全身酸痛,快递都没力气拆了。第二天,大梅去医院连续吊了几天消炎针,发烧才慢慢好了。

然而,事情远没有结束……
算下来,这个月大梅总共去了医院4次。
“不对劲啊,你这发烧咳嗽也太频繁了,要不去大医院查查吧”。老公劝她。
大梅第二天就请假去了市医院,抽血、拍片子,医生说大梅血里炎症指标高,还有几个风湿的指标高,肺里的炎症可能是感染,也可能是风湿病,就让大梅住院了。

“不是肿瘤,还好还好”。一向心大的大梅放下心来,继续刷起了“双十一返场”。
医生给用了抗生素和激素,大梅很快退了烧,没几天就出院了。出院之后,大梅按照医生给的方案继续吃激素,定时地减量,虽然还是会一阵阵地咳嗽,但再也没烧过。
元旦刚过,大梅按医嘱停了激素,也顺利抢到了一家三口回老家的高铁票,欢欢喜喜地期待着大团圆。
然而帅不过三秒,3天之后大梅又双叒叕发烧了,咳嗽也更厉害了。去医院,抽血,拍片,同样的流程再走一遍,医生说她炎症指标更高了,肺里的炎症也更多了。医生还是觉得像感染,这次给用了2种抗生素,但这一回,体温始终不降。
每次查房医生都说大梅的肺炎很疑难。眼看着快过年了,这年还怎么过啊?焦虑、害怕……各种复杂的情绪涌上来,大梅绷不住了。
刚好大梅的主管医生曾在上海中山医院感染病科进修过,她推荐大梅夫妻俩去找那里的胡必杰教授看看,也许能“破案”。两口子赶紧预约了专家号,踏上了去上海的高铁。
胡教授仔细看了大梅历次的胸部CT胶片,也觉得更像是感染,不过在阅片的时候发现了一个问题:大梅每次发病的时候,肺部的病灶位置似乎都不太固定,胡教授认为,这要么是毒性不那么强的病原体持续存在导致的感染,要么就是反复地急性感染了什么。另外,除了肺炎,大梅的纵膈淋巴结也有肿大。

胡教授又仔细询问了大梅的病史和日常生活,除了半年前买了八哥之外,并没什么特别,不过发烧是这两个月才有的。胡教授安排大梅住院,进一步做些检查。
住院之后,医生安排了抽血,发现大梅的炎症指标又飙出新高,马上给她预约了支气管镜检查,排在入院的第二天。
检查当中,医生发现了个大新闻:大梅的左主支气管有一个破口,轻轻按压,还会有分泌物及气泡涌出来。

“瘘了”!操作的医生们交换了下眼神,小声而又异口同声地说出了这两个字。
“瘘”是“瘘管”的简称,医学术语里,是指在空腔脏器和体表之间、或者空腔脏器之间出现了不正常的连接管道,也就是“短路”了。大梅支气管上有了瘘口,意味着支气管内部与纵膈相通了。

医生手绘就问你服不服
但是好端端的支气管,流通的是气体,怎么会破出一个口子来呢?
会不会是被什么东西扎破的?
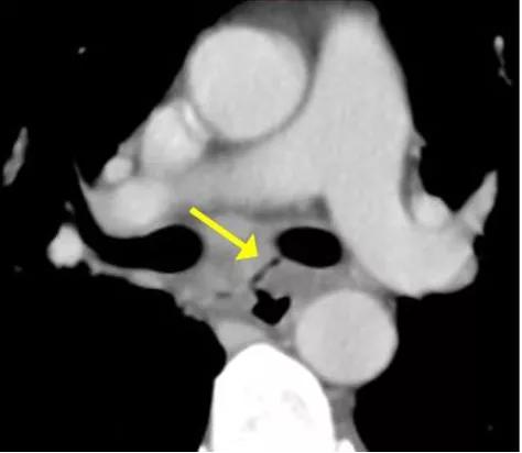
“片子再仔细看看,比较下纵隔窗,诶!纵隔这里,好像有几个气泡啊”,胡教授一边在大屏幕上带大家阅片一边分析:“像是个瘘,把食管和左主支气管联通起来了”。

“外院拍的片子都拿出来,看看之前有没有”。
历次的CT胶片一字排开,铺满了整整一面墙的读片灯。一张张看下来,发现最开始的CT上就有这个可疑的瘘,但是都太细太小了,不带着追溯的目的很难发现。
“平常喜不喜欢吃鸡肉、鱼肉这种有小骨头、有刺的食物” ?胡教授问大梅。
“喜欢吃鱼”。大梅据实回答,“但是这跟发烧有什么关系吗”?
“那被鱼刺卡过吗” ?
“生病前好像没有啊”。
“以前呢”?
“以前倒是有过几回。哦……好像半年前,有一次家里炖了豆腐鲫鱼汤,很好吃,不小心就被一个很粗的鱼刺卡了,我吃了好几口米饭才咽下去,后面胸口疼了好几天。但后面就好了。应该和发烧咳嗽没关系吧,都是卡鱼刺之后三四个月的事儿了” 。
“你咳嗽什么时候最厉害?”
“嗯……好像是一喝汤汤水水就咳,而且很快就会发烧,现在我都不敢喝水了”。
“所以很有可能是鱼刺刺破了食管,虽然被强行用米饭带了下去,但不断有食物通过破口进入纵膈,导致纵膈感染,时间久了,组织坏死又把气管给打通了;从此走行食水的食管、和流通气体的气管这两个原本各司其职互不干涉的管道发生了短路,造成吸入性的肺炎和纵隔腔的感染;这也能解释为什么大梅吃流质更容易出现呛咳和发烧”。胡教授分析道。
想想食物和细菌混合,放在室温下一两个星期,会发生什么?毫无疑问,是腐烂,发臭!如果这些发生在比室温更高、更适宜细菌生长的人体内部呢,而且是在原本无菌的、重要脏器比如心脏、大血管的周围?
假如不幸破口比较大、进入的食物比较多,那些馊臭的食物滞留在里面几个月,甚至有可能把大血管烂出个洞来;
又或者假如鱼刺比较长,没能被米饭带下去而是越刺越深戳破了大动脉,刚从心脏里射出的高压的血液会奔涌而出;
那样的话,患者几乎没有生还可能。
大梅和老公得知了病情推测,都惊恐地瞪大了眼睛。一番安慰宽心之后,医生给大梅调整了用药:抗感染的方向主要是针对口腔常见菌群——厌氧菌的治疗;同时由于高度怀疑大梅食管也有瘘口,为了防止感染的进一步加重,需要禁食,从静脉补充营养进去。医生又给大梅约了最近的专家胃镜,揭开谜底。
入院第四天,肺泡灌洗液的病原测序结果报告:口腔厌氧菌群为主。符合预期。
入院第五天,无痛胃镜检查:“食管内距门齿30cm处见一直径约0.5cm瘘口,金属夹夹闭,放置小肠营养管”。

果然!
检查结束回到病房,医生跟大梅两口子宣布了确诊的喜讯,大梅老公抱着刚从麻醉中苏醒还有些没力气的大梅,二人相拥而泣。
确诊之后,大梅的吃饭问题需要通过营养管解决,食物通过营养管直接进入小肠,给食管上的伤口一段时间愈合恢复,然后才能恢复正常饮食。
关闭了源源不断的污染源,又在药物的助攻之下,大梅的体温峰值逐渐下降。到入院第八天的时候,大梅体温恢复正常,抽血复查炎症指标也明显降低了。
再后来,医生给她拔除了小肠营养管,慢慢开放饮食。大梅终于又喝到了她最爱的鱼汤,鱼刺已经被老公仔细滤掉了。失而复得的感觉,真好!
来上海的第十三天,腊月二十三,大梅一家三口踏上了返程的列车。
排除毒素,一身轻松!回家!过年!

相关案例
1、71岁的张大爷平常特别喜欢吃鱼,戴着假牙的他大骨小刺儿吞了不少。有一次他吞了根比较粗的甲鱼骨,喝了好几口醋,还用米饭送,才给咽下去,感觉胸骨后火辣辣地疼。第二天张大爷就开始发烧、肚子痛,在家附近的诊所挂了快2个星期的消炎针都不见好,去大医院一拍CT不得了:肝内异物刺入伴脓肿形成!原来鱼骨头扎破了胃,穿越去了肝脏,造成了严重的感染!
张大爷被推进手术室做了全麻下腹腔镜探查,吸尽了肝肿块里的脓液,还钳出了一个3cm长的弯形鱼骨!术后又经过一波三折的抗感染治疗才得以恢复。肚皮上的几个洞时刻提醒着张大爷:细嚼慢咽,可不敢再大意了!

2、64岁的老杨喝了四十年的酒,三天两头喝得烂醉如泥,但现在老杨却怎么也不敢喝了,原来1年前他因为喝酒在生死间徘徊了一次。那次老杨和朋友聚餐喝了不少酒,第二天酒醒后就开始发烧、咳嗽,后来喘得越来越厉害,去医院检查被告知已经呼吸衰竭了,拍了CT发现了重症肺炎!
中山医院感染病科胡必杰教授很快从CT上发现了原因:右侧主支气管腔内有一块高密度影,很可能是个骨性异物。后来果然在支气管镜检查中找到了一块骨头并且钳了出来。配合着药物治疗,老杨很快就奇迹般地恢复了。医生说老杨很可能是喝醉酒意识不清的时候把骨头呛进气管里了。

1、哪些人群容易误吞异物?
多见于婴幼儿、儿童、高龄或心智受损的老人、没有牙齿或有义齿、进食过快、醉酒及精神异常者。坚果、果壳多见于儿童患者;成年人的异物多为鱼骨、鸡骨、牙签、药物、义齿。吞食异物者中仅有少数能感知或回忆起误食异物,加强看护是防止发生的关键。
2、误吞异物相关的临床表现有哪些?
多数情况下,约80%左右的异物会在1周内通过消化道排出,损伤轻微,但在少数患者中,尖锐的异物可造成消化道穿孔、肠梗阻、食管支气管瘘形成,甚至造成肝脓肿、脾破裂、动脉破裂、食道撕裂等罕见但严重的并发症。但很多患者临床表现不具备特异性或不能及时提供相关病史,容易造成误诊、漏诊。
3、误吞异物常见的错误处理方法
被鱼刺、骨头卡着了:
喝点醋——错!喝醋法并不能软化鱼刺,效果有限,还刺激肠胃。
咽馒头、饭菜——错!这个方法更危险,压力之下,可能造成二次伤害,不但会造成划伤,还会使鱼刺越刺越深,相当于“用锤子锤了一下钉子”,若不幸刺破血管,非常危险。
抠喉催吐——错!可能加重消化道损伤,一旦用力过猛,肌肉收缩,也可能导致异物卡得更紧更深。
拍背——错!不但对异物排出没有帮助,而且很可能使异物越掉越深。
4、不小心吞了鱼刺骨头怎么办?
如果卡到鱼刺、骨头,并出现胸骨后疼痛等不适,立即停止进食,不建议自行尝试取出,以免造成更大的损伤,切记海姆立克法并不适用鱼刺骨头卡喉的急救!应尽快去附近医院就诊,由专业医生进行内镜下检查并取出异物。再次提醒,吃饭务必细嚼慢咽、少饮酒,婴幼儿童或高龄老人应在有监护人的情况下进食!
本文首发于复旦大学附属中山医院感染团队(zsgr2020),医师报已获授权发布!
作者:李娜 黄英男
审核:胡必杰 潘珏
编辑:黄玲玲