【案例简介】女、14岁诊断为PROS综合症,月经期间出血不止,发生失血性休克。通过介入栓塞双侧子宫动脉,出血得到了有效的控制。
宝宝出生后家长发现全身肢体多处片状红斑,双足并趾,手足粗大,皮温增高,4月时当地医院行硬化治疗,具体药物不详,未见明显好转。
2021年11月初潮后开始月经不规律,经期量出血量大,最低血红蛋自55g/L,曾输血治疗两次。口服止血药仍控制不佳。后口服优思明每日1片,阻断来月经后出血才能控制。
核磁检查提示双侧小腿、双足脂肪层异常信号,肌肉内、肌间异常信号,考虑血管畸形。右下肢血管超声提示下肢动脉未见异常,股动脉周围未见明显股静脉,浅静脉增粗。


全身多发片状红斑,肢端肥大,并趾
孩子现在14岁,一旦停用药物后就会出血不止,家里人非常担心,辗转多个医院,依旧没能解决孩子的问题。经过多方打听,了解到我的团队在这方面比较专业,经过详细的查体和问询病史,考虑孩子为PROS综合症,PIK3CA相关过度生长谱(PROS)是罕见综合征的总称,其特征是由PIK3CA基因体细胞突变引起的畸形和组织过度生长。
考虑到孩子一直存在月经期间出血不止,申刚主任跟患者家属充分交代了病情,并告知可以通过介入栓塞的方式尝试解决这个问题,家属也看到了希望,愿意进行手术治疗,
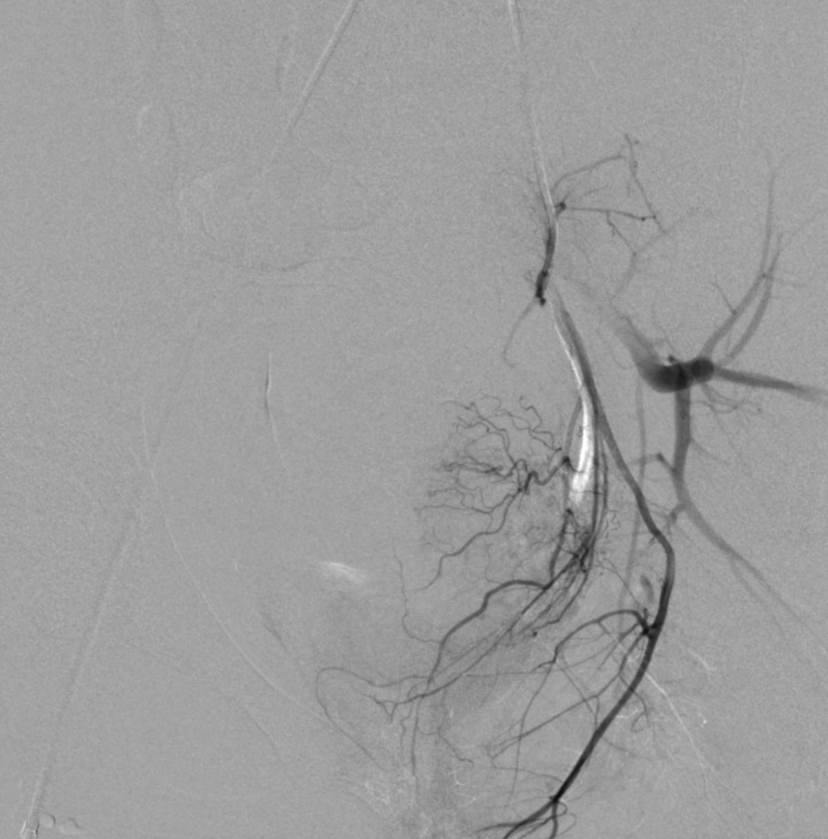
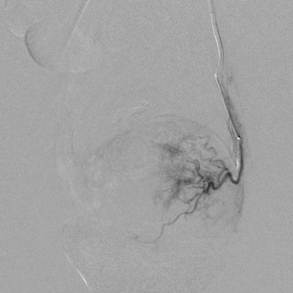
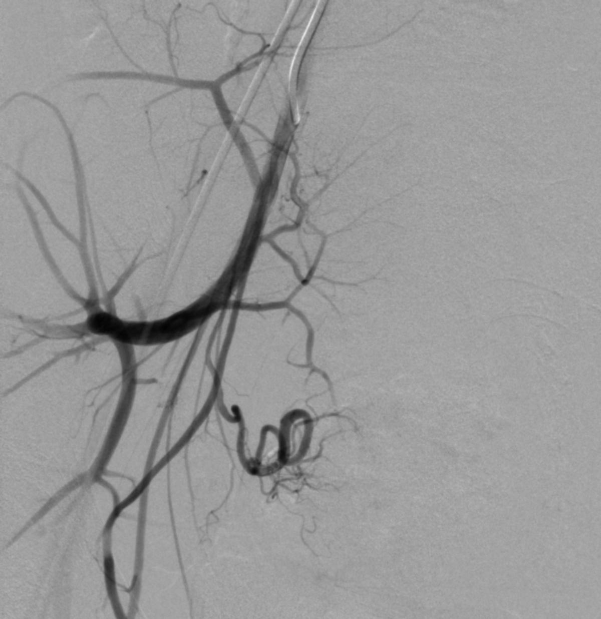
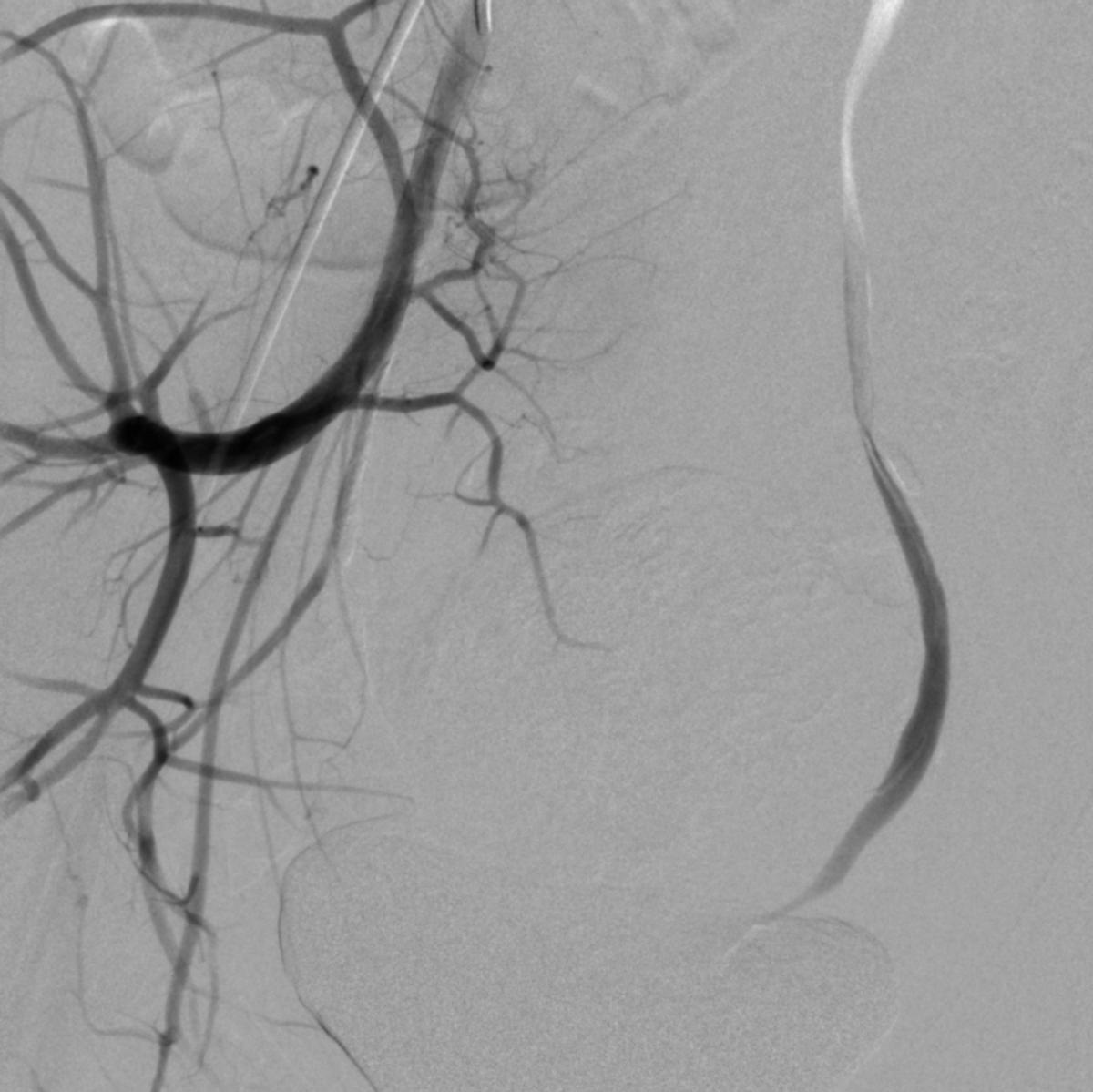
患儿完成入院前术前检查,并进行了全科的术前讨论。结合患儿体征及相关的术前检查,目*考前**虑PROS综合症。目前主要解决的是月经出血的问题,可以通过栓塞双侧子宫动脉来进行治疗。患儿全麻后,使用5F穿刺针行右股动脉穿刺,成功后置入5F血管鞘,导丝引导下置入5F Headhunter Angiopointer造影导管,在导丝引导下选入髂内动脉,进入子宫动脉,造影见左侧子宫动脉远端纤细,右侧子宫动脉螺旋增粗,微导丝引入微导管进入子宫动脉,使用聚乙烯醇颗粒栓塞剂350um-560um,栓塞微粒球(300-500um)分别行双侧子宫动脉栓塞,栓塞后造影未见子宫动脉远端分支显影。

左侧子宫动脉远端纤细

栓塞治疗

栓塞术后造影


右侧子宫动脉造影

微导管栓塞治疗

栓塞治疗后
术后随访

手术后告知患者可以继续服用2周的优思明,可以进行停药试试效果。1月后家长通过好大夫告知,最近一次月经量不大,四天结束了,非常感谢医生,孩子总算好了。
PROS疾病的治疗是可变的,取决于具体疾病。不存在根治性治疗,大多数治疗是为了控制症状。实体组织的过度生长和畸形可以通过手术治疗。硬化疗法可用于治疗血管畸形。