去年,写了一篇科普“脱髓鞘”,想说了解你有多难?“,大家可能对脱髓鞘病变有了一个概念上的认识,可实际上,要诊断一个脱髓鞘,实际上就是中枢神经系统单发/多发病变的一个诊断和鉴别诊断过程,其中涉及的疾病种类实在是太多了。
2017年仍然按既定目标逐步介绍脱髓鞘疾病,在1月8日写了脱髓鞘:患病篇,今天,我们来聊聊疾病篇。
“脱髓鞘”,只有三个字,看起来很简单,可真正的要诊断一个脱髓鞘疾病,需要排除许多非脱髓鞘的疾病,疾病的诊断和鉴别诊断涉及的很多疾病估计很多非本专业人士也闻所未闻,今天,我就带您大开眼界,见识一下您三生三世也见不全的疾病,我可不是吹牛,咱们一起看!
神经系统疾病的定性诊断我们常常用的是“Midnights”原则,首先,我们了解一下什么是“Midnights”,
M--metablism,代谢性
I--inflammation,炎症
D--degeneration,变性
N--neoplasm,肿瘤
I--infection,感染
G--gland,腺体,内分泌
H--hereditary,遗传
T--toxication,中毒/trauma,外伤
S--stroke,卒中
前方高能,一大波专业名词和眼花缭乱的图片袭来……
(关注微信公众号:赵桂宪大夫 cactus20150101后可获取相关内容)
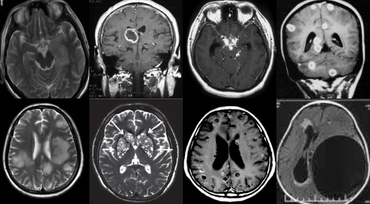
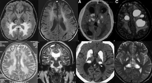
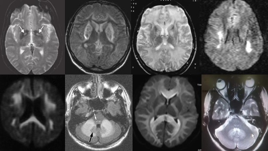
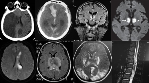
重要申明:以下每个部分会配磁共振图片,因疾病和影像之间存在同病异象、同像异病,为避免误导,图片不标注疾病,请各自鉴赏,另其中有部分图片来源于网络,有疑问可与本人联系。
在这九大类疾病中,每一大类都可出现中枢神经系统单发/多发病变,我们一个个看,
一、M—metabolism代谢性
代谢性脑病的原因很多,包括氨基酸、有机酸、脂肪酸、糖等代谢异常,以及线粒体功能障碍等,导致高氨血症、低血糖、酸中毒和能量缺乏,引起脑功能障碍。我们在临床上看到的有缺血缺氧性脑病、低血糖致白质脑病、肝性脑病、肾性脑病、Wernicke脑病、线粒体脑病等。中枢神经系统受累的病灶在磁共振上可出现各种表现。

I--inflammation,炎症
脱髓鞘,多发性硬化(MS)、视神经脊髓炎(NMO)、急性播散性脑脊髓炎(ADEM)、MOG相关性脱髓鞘病变、自身免疫性脑炎、CNS血管炎、神经系统结节病、Susac's Syndrome、Clippers’综合症、桥本氏脑病等。还有如急性、亚急性的放疗损伤等。

D--degeneration,变性
如脑梗塞或脑出血等疾病后华勒变性、ALS的锥体束变性等。脑白质疏松症等。

N--neoplasm,肿瘤
各种肿瘤,如胶质瘤、淋巴瘤、脑膜瘤、血管内淋巴瘤,生殖细胞瘤、各种转移瘤、心房粘液瘤等。神经纤维瘤病也可在中枢出现影像学上类似脱髓鞘的病变。

I--infection,感染
指的是各种感染,病毒(单纯疱疹病毒、带状疱疹…)、细菌(革兰阳性、革兰阴性、球菌、杆菌…)、结核、。真菌、梅毒、各种寄生虫(囊虫、弓形虫、吸虫、裂头蚴等)。还有进行性多灶性白质脑病(PML)、CJD、Whipple’s 病等。亚急性细菌性心内膜炎。

G--gland,腺体,内分泌
内分泌病变一般引起系统性病变,不引起实质占位病变。
H--hereditary,遗传
引起中枢神经系统病变的遗传性疾病可是种类繁多,主要指脑白质营养不良、脑小血管病等白质受累为主的病变。
如前者按发病机制可分为:溶酶体疾病(异染性脑白质营养不良、Fabry’s 病、Krabbe’s 病),过氧化物酶疾病(肾上腺脑白质营养不良(ALD)、肾上腺脊髓神经病(Adrenomyeloneuropathy))、线粒体疾病(MELAS、Leigh病)。按髓鞘病变病理过程种类分:异常髓鞘化:肾上腺脑白质营养不良、球形细胞脑白质营养不良、 染性脑白质营养不良;髓鞘化低下:佩梅氏病、Alexander病、白质消融性脑白质病;髓鞘囊性变性:Canavan病、空泡性脑白质病。
各种遗传性脑小血管病:如CADASIL、CARASIL、Fabry病及CAA、CAA相关性血管炎等等。
还有结节性硬化、各类NBIA(脑组织铁沉积神经变性病),脑肝肾综合征、线粒体脑病、LCC等。

T--toxication,中毒/trauma,外伤。
个人认为这里的中毒理解为毒物相关的病变更合理一些。
如酒精中毒相关的,如MBD。
各种中毒,有机溶剂,如苯、甲醇、一氧化碳中毒、氨己烯酸中毒等。
*品毒**如*洛因海**、*卡因可**等。
抗肿瘤或免疫*制剂抑**如甲硝唑、5-FU(5-氟尿嘧啶)及其前体药物卡培他滨、他克莫司、甲氨蝶呤、贝伐单抗等相关性脑病。

S--stroke,卒中,即血管性
各种动脉性、静脉性血管病、静脉窦血栓形成、动脉夹层致脑梗塞、脑小血管病、脑动静脉畸形、CAA等,Moya-Moya也可出现脑实质的多发病灶,易被误诊为脱髓鞘。

其它
除此之外,还有一些解剖结构变异造成的病变,如V-R间隙扩大,灰质异位等。

怎么样,够眼花缭乱了吧!
这还没完呢,由于影响和疾病之间有同病异象、异象同病的特点,所以,单从影像是无法区分如此众多的疾病的,那还需要结合患者的病史、体格检查来判断疾病,如果仍不能明确,则需要完善血生化、免疫等检测项目,甚至还需要脑脊液细胞学、活检病理、基因检测等来完善疾病的诊断和鉴别诊断,如何把这么多纷繁复杂的化验检查项目灵活应用好,这可是个技术活,需要长期的临床积累,我们以后慢慢聊……
如果您对此话题感兴趣,欢迎留言。
可关注本人微信公众号(赵桂宪大夫 cactus20150101)后可获取更多科普知识,欢迎转发。
赵桂宪,女,临床医学博士,2000年本科毕业于西安交通大学临床医学院。2008年博士毕业于福建医科大学后在复旦大学附属华山医院神经内科工作,长期工作于临床一线,擅长中枢神经系统脱髓鞘疾病的诊断和鉴别诊断及神经遗传变性病。同时进行多发性硬化(MS)的临床及科学研究。