今天的朋友圈,被北京肿瘤医院一位同行刷屏了:
2019年1月26日,北京肿瘤医院张晓东医生说了一个刚经历的病例:某患者胸壁巨大囊实性占位,临床综合考虑恶性肿瘤或感染性疾病(脓肿)或合并癌变,考虑穿刺活检有诱发破溃加重感染或肿瘤转移的风险,无论是良性病还是恶性肿瘤都有手术适应症,就在充分告知并签署知情同意书的情况下做了病灶完整切除和部分肋骨切除,术后病理为“结核性脓肿”。患者很快痊愈出院,但医生却接到了司法判决书“由于患者为良性病失去部分肋骨”,判罚医生有过失,赔付患者10余万元。其实,临床上有很多在术前很难获得病理,也有即使知道是良性肿瘤,但有恶变倾向的也需要手术干预,例如胃间质瘤>2cm者或短时间内快速增长等。如果都这样判决,那今后就惨了,等明确癌后也失去了手术机会,怨谁呢?

上面这段来自《江淮医学》的一篇原创文章《支持抗诉,患者治愈后起诉医生,法院判赔10万元》,作者叶正松。
豪大夫是个本分医生,不去探究其中曲折细节,也无力改变什么。
恰好整理过几个结核性脓胸病例,有的还继发了恶性淋巴瘤,在此做个科普。
脓胸相关恶性肿瘤(EAM)
慢性脓胸可以并发多种恶性肿瘤,包括淋巴瘤、恶性胸膜间皮瘤、鳞癌、血管肉瘤、腺癌等,统称为脓胸相关恶性肿瘤。
在西方国家,以鳞癌和恶性间皮瘤最常见;在日本和韩国恶性淋巴瘤最常见;我国尚缺乏权威统计数据。

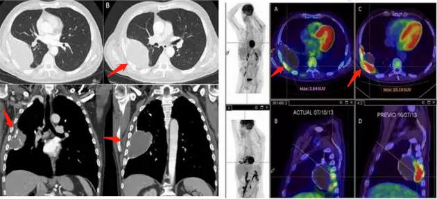
上图是一位70多岁的男性长者,多年前患过结核性胸膜炎,因为胸痛确诊为慢性脓胸。
他并未采取治疗,在3个月后复查,发现病灶周围长出不规则软组织密度影,做了PET-CT发现高摄取:

图中黄色发亮的地方,都是新生组织,后来经CT引导下穿刺活检,病理证实为脓胸相关恶性淋巴瘤。
这种病例,并不罕见!
尤其在日本,上世纪70年代之前,肺结核病人很多,当年流行一种治疗青年人活动性肺结核的方法:用人工气胸和胸廓成形术旷置病变肺叶。
结果在20-40年后,很多人发生了恶性淋巴瘤。

上图是一位54岁的男子,结核性脓胸40年,活检确诊为脓胸相关恶性淋巴瘤。
如果他及时做了手术清理,就能够解除继发恶性肿瘤风险了。
然而他没有……

上图是一位68岁的长者,童年时患过肺结核,本次咯血住院,穿刺证实为结核性脓胸继发血管肉瘤,恶性。
如果早一点手术清理,就不会发生了。
然而他也没有……

我国是结核大国,这种情况不算罕见
南京公共卫生医疗肿瘤的主任医师曾谊教授说:
结核性脓胸或者包裹性胸腔积液,临床屡见不鲜!建议大家一定要重视结核性胸膜炎的早期诊断和早期治疗,不要等到胸水分隔包裹,胸膜增厚了以后很难处理,早期应用激素还是有效的。如果形成脓胸建议在强有力的抗结核药物治疗基础上,早期手术对预后有好处,越晚手术难度越大,损伤也越大。抗结核药物只能杀菌,肺结核患者完成疗程或获得细菌学治愈后并不意味着医学干预的终止。

很多疾病治疗有风险,医生会尽量选择合适的方式。
但治好了之后收到一张传票,总归不是令人开心的事儿。
本文参考文章:
慢性脓胸相关性恶性肿瘤的影像学表现,胸科之窗,卜学勇,2016.12.21