今天一位网络问诊病人,才45岁,没有症状。我们先来看他的CT图像:

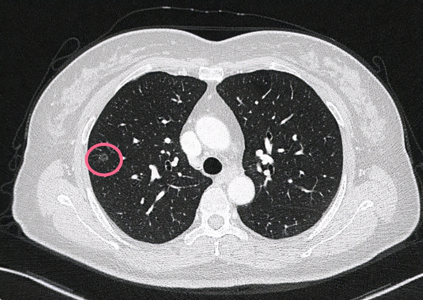
右上叶磨玻璃结节,瘤肺边界清,中间伴有小空泡,考虑原位腺癌可能性大,不能完全除外微浸润或不典型增生

斜裂处微小实性结节

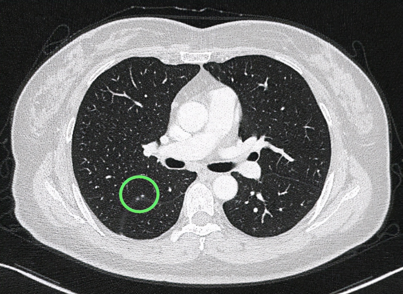
水平裂处多发微小实性结节,小而密度高

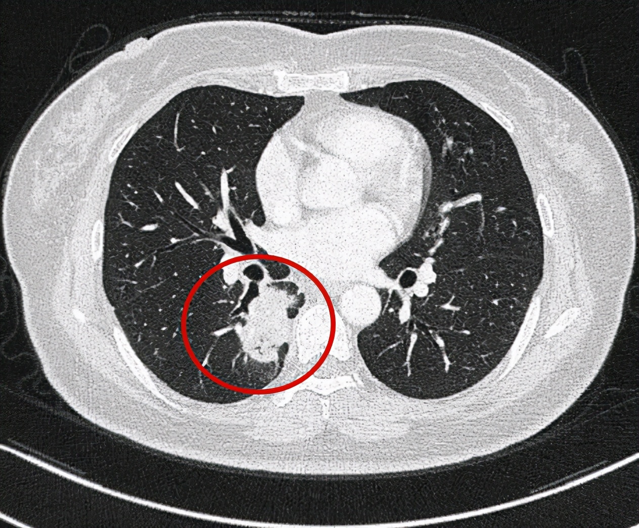
右下叶占位,有分叶、胸膜牵拉以边缘不规则等恶性征象

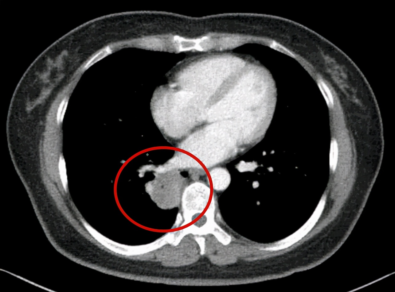
上图示纵隔窗
问诊建议:右下叶红色圈起来的考虑是肺癌,浸润性腺癌可能性大;右上叶磨玻璃结节粉色圈起来的考虑原位癌或不典型增生可能性大,不能完全除外微浸润性腺癌;绿色圈起来的基本上是叶裂处,从密度来看更像良性,但因为有右下叶的病灶在,且在叶间部位,也可能是种植转移,但术前较难确定。PET-CT可以考虑,但也有假阴性或假阳性。我的想法是如果没有远处其他确切转移,建议胸腔镜下探查,如果微小实性结节非转移性,则右下肺癌仍能手术的。如果真若是转移,也可取行病理依据,并送基因检测与免疫组化等检查,而单孔胸腔镜下探查下创伤小,恢复快,当然若不是转移,顺便镜下行右下叶切除并清扫淋巴结就行。
(此处已添加医疗卡片,请到*今条头日**客户端查看)