肺不张根据病因不同分为哪些类型?
肺不张表示肺的充气减少,且容积缩小,可为部分或完全无气。根据其病因国内荣独山把它分为:①无力性肺不张;②阻塞性肺不张;③外压性肺不张;④约制性肺不张。
美国James. C.Reed则将其归纳分为:①阻塞性肺不张;②压迫性肺不张;③被动性肺不张;④瘢痕性肺不张;⑤粘连性肺不张;其中②、③相当于国内的外压性肺不张,④相当于约制性肺不张。肺不张的基本X线征象有哪些?① 密度增高;② 肺血管聚集;③ 叶间裂移位;④ 膈肌升高;⑤ 肺门移位;⑥ 肋骨聚拢;⑦ 健侧肺代偿性肺气肿;⑧ 纵隔移位;⑨ 心脏旋转;⑩ 支气管重新排列。
什么是阻塞性肺不张?阻塞的常见病因有哪些?
阻塞性肺不张是指气管、支气管气道阻塞,使其供应的肺部内气体吸收消失而造成的肺不张。肺不张的程度、部位和范围取决于阻塞的部位和程度。阻塞的病因较多,如吸入异物、浓厚的粘液、炎性渗出物、血块、支气管肿瘤、支气管肉芽组织或炎性支气管狭窄等。一般气管完全阻塞后18~24小时气体即可完全吸收。长期慢性肺不张易导致纤维化而永久萎缩。有的可伴发支气管扩张。
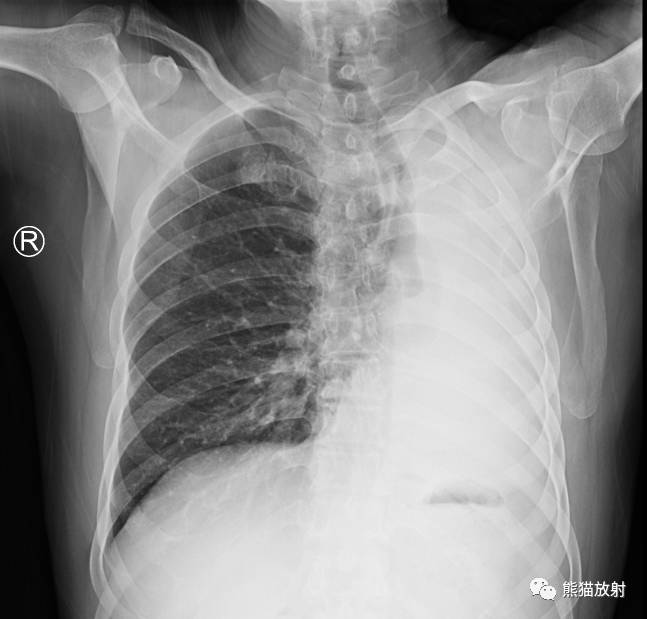
↓ 左肺全肺不张(患者肺野密度增高,胸廓塌陷,气管、纵隔左移) 原因?进一步行CT增强、支气管镜检查。

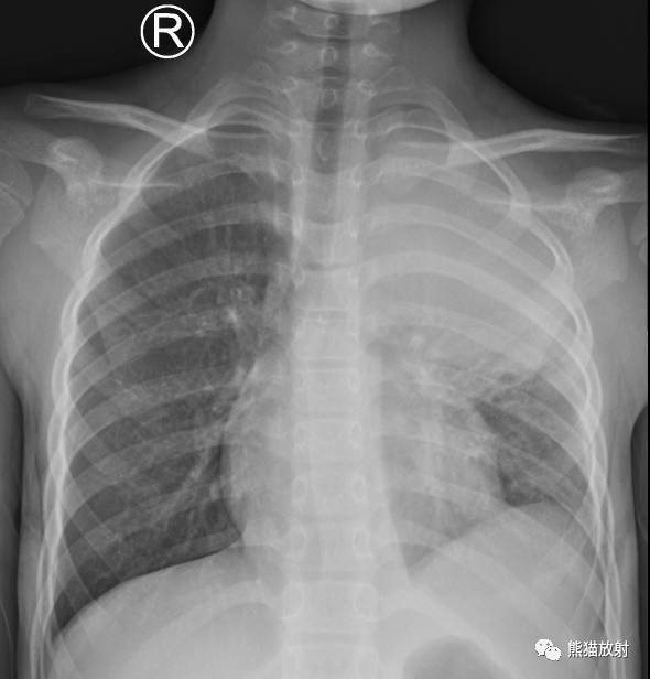
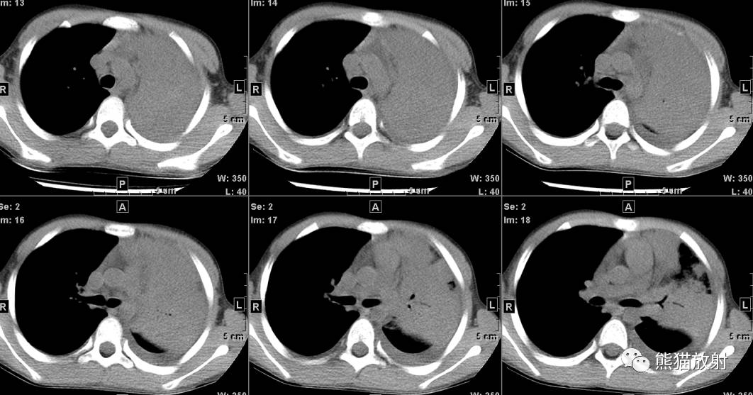
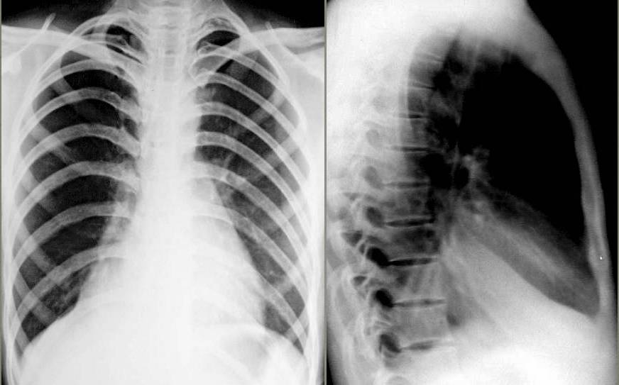
↓ 患儿9岁,咳嗽、高热。左肺炎症并左上肺肺实变、不张(X、CT)


肺叶不张和肺段不张各有何X线表现?(1)右肺上叶不张:横裂上移呈折扇形或三角形致密阴影,尖端指向肺门,甚至全部位于上纵隔旁。(2)右肺中叶不张:右心缘旁致密阴影,上缘不超过肺门。直立的正位片上常显影不清。侧位片显示较为清楚,呈三角形、梭形或线形,尖端指向肺门。
(3)左肺上叶不张:正位片上,上肺野内中带密度增高,下肺野相对较透亮,左肺上叶不张以左侧位较清楚。
(4)下叶不张:下叶肺不张使其向后、向内收缩至脊柱旁沟区,肺门向下、向内移位。左下叶不张易被心影掩盖,肺门影向下移位,并往往与心影重叠,左膈顶上升,舌叶动脉阴影下移等,为提示有下叶不张的重要依据。下叶不张由于前缘向后旋转,在侧位片上可以不能见到,需斜位片显示。
(5)肺段不张:除中叶内段不张尖端向外,其它肺段的不张均显示尖端指向肺门的三角形致密阴影。

↓ 右肺中叶不张 ↓


↓ 右下内基底段肺不张 ↓

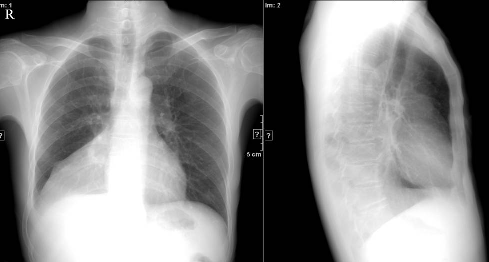
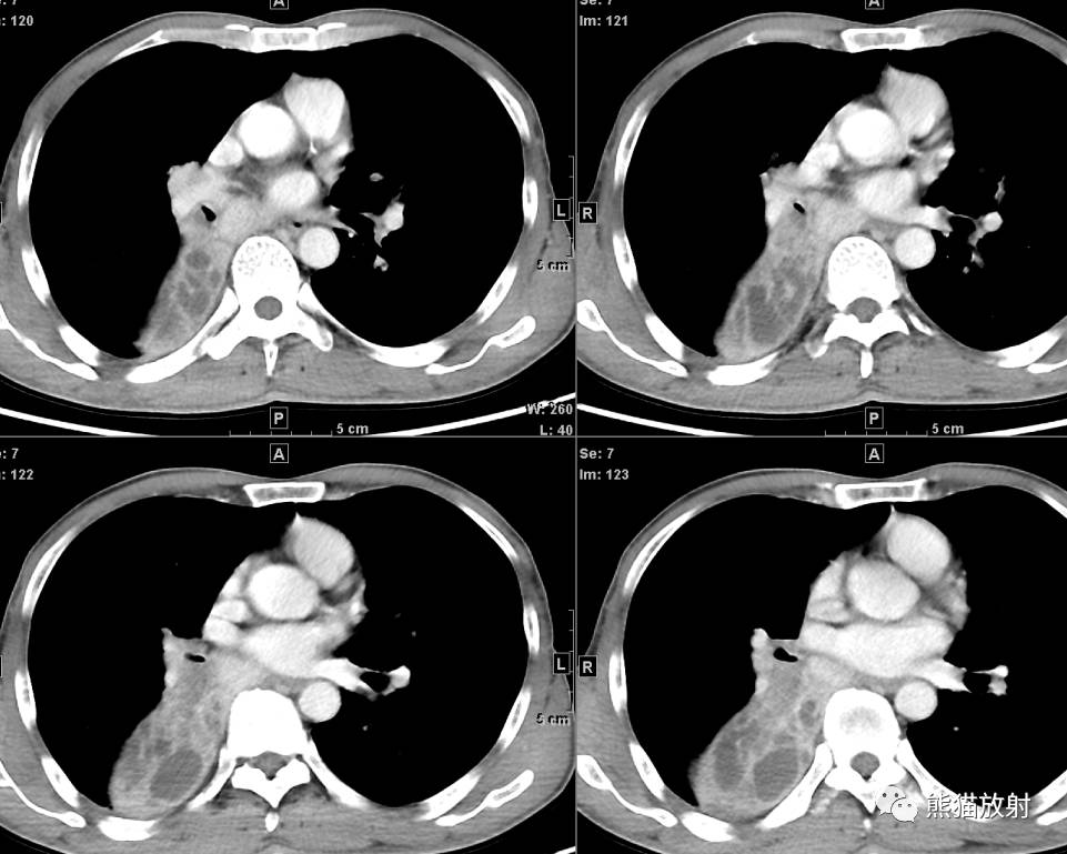
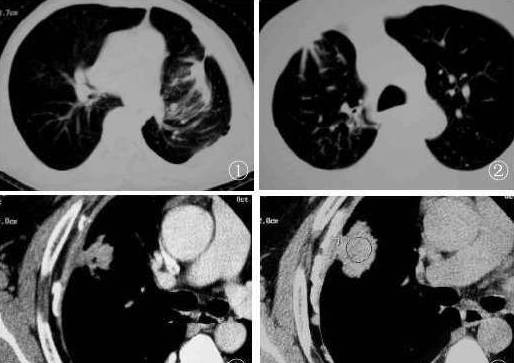
↓ 右肺中央型肺癌(鳞癌)并右下肺不张(X、CT)


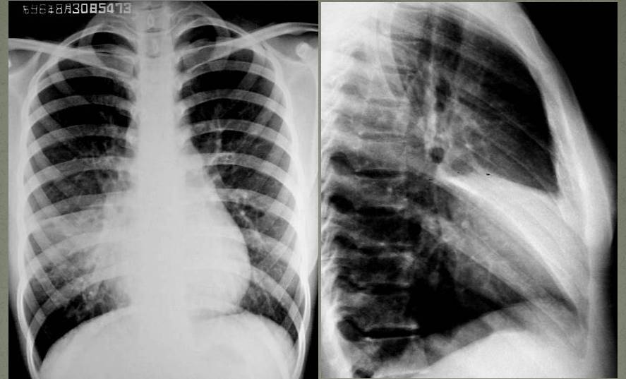
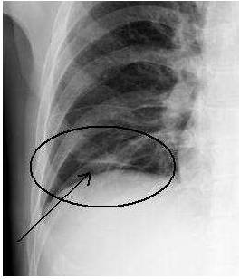
↓ 右侧气胸(肺压缩约70%),右肺上叶肺段不张(尖端指向肺门)

什么是盘状肺不张?盘状肺不张也呈线样肺不张,是亚肺段性不张的一种特殊X线表现形态。这种不张发生在肺底部,大多由于肺部呼吸障碍所致,往往与横膈的运动减弱密切相关,因为此时少量的分泌物可使支气管阻塞,引起亚段性肺不张。X线表现:膈顶上方为2~6cm长,厚度相对较扁的横行线条状或盘状增高密度阴影。看到此征象应首先考虑是膈下或腹部病变所引起,并观察横膈的位置与动度。盘状肺不张亦可见于急性胸膜炎引起的横膈动度减弱,肺梗死亦可并发本症。

↓ 结肠癌术后,左下肺盘状肺不张,右侧膈下游离气体

什么是球形肺不张?它是如何形成的?其X线有何特征性表现?球形肺不张,又称为圆形肺不张、折叠肺,是一种局限性肺不张,多呈球形而命名。一般认为游离的胸腔积液是发生本症的必要条件。积液吸收后有部分呈被动性不张状态的肺组织,因受周围增厚胸膜之固定不能复张,而形成球形肺不张。X线表现:球形肺不张显示为2.5~5.0cm的圆形或椭圆形块影,亦可呈逗点状、楔状、不规则分叶状,以两肺下叶之后方或近胸膜的外周肺组织好发。块影附近广泛的胸膜增厚是一个重要征象。最特殊的表现是靠近块影的内下缘肺血管纹理和支气管聚拢成束呈弧形,先达肺底部,然后向上弯曲延伸,颇似慧星的尾部,故称慧星尾征,这是本病的特征性表现。总之,不规则的胸膜增厚,伴慧星尾征的肺内块影是X线诊断的主要依据。

☆以上文字内容节选自《放射诊断要点与难点解析》(田军、孟庆学主编)
或点击此链接了解:
以下内容来自网络:











来源:熊猫放射
【版权声明】本平台属公益学习平台,转载系出于传递更多学习信息之目的,且已标明作者和出处,如不希望被传播的老师可与我们联系删除