随着信息化时代的到来,现代医学是精准诊断、精准治疗的时代。近日,哈尔滨医科大学附属第一医院口腔医学院口腔正畸科接诊了一个10岁的小朋友。家长自述孩子有偏侧咀嚼习惯,3年前发现孩子嘴歪,有遗传史,于当地口腔医院进行肌功能训练器治疗2年多,未见好转反而加重,现在来我院寻求帮助。
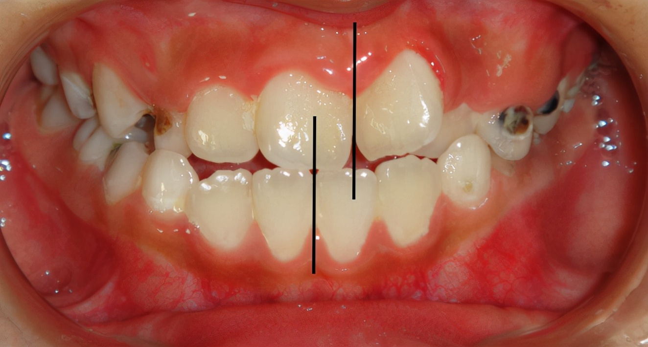
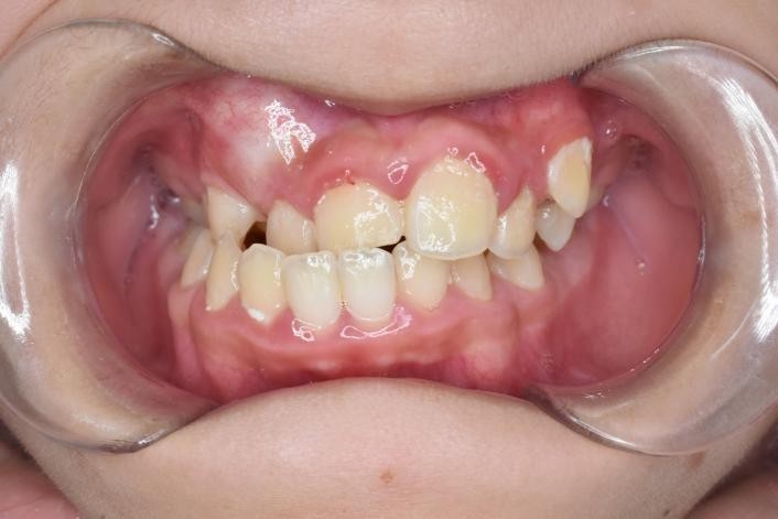
患儿的面像、口内情况如图所示。


可以看到患儿的下巴是偏斜的,面部不对称。经检查发现患儿口内可见多颗乳磨牙龋坏,有偏侧咀嚼习惯,存在颌骨发育的不对称。这种严重的骨性畸形需要双期矫治。第一期早期矫治,其目的是去除病因及干扰因素,让上下颌骨的生长导向正常,从矢状向、横向、垂直向去改善上下颌骨的不调。该患儿首先应用的是矫形力矫治器(螺旋扩弓器),协调上下颌骨宽度,去除锁合侧咬合干扰,建立双侧后牙咬合,治疗乳磨牙龋坏,同时指导患儿用双侧咀嚼食物促进咀嚼肌平衡发育。然后应用的是FRⅢ功能矫治器,解除前牙反合改善下颌偏斜,FRⅢ的作用原理是去除导致颌骨畸形的功能因素而且可以改善轻度的骨性错合。
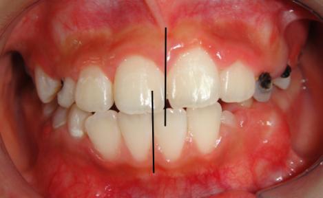
下图为早期矫治前后面型和口内像对比,可以看到矫治后的患儿面型左右基本对称,下牙列的偏斜程度也明显改善,前牙的反合得到解除,去除了上颌骨发育的不利因素。接下来就是等待患儿换完牙以后进行二期治疗,二期治疗可以从三维方向上控制牙齿的移动方向,进一步平衡咬合,使得矫治效果更加稳定。二期治疗的矫治器可以选择固定矫治器也可以选择无托槽隐形矫治器。




口腔正畸科主任张苗苗教授认为就牙弓不对称的患儿而言,上颌扩弓的时机应在生长发育高峰期或者生长发育高峰期前进行干预,越早干预效果越好。有研究表明长期的未经治疗的单侧后牙反合,晚干预的患儿(CS4期)较早干预的患儿(CS1期)双侧下颌升支的差异会增加1倍,也就是说如果早干预的患儿面下部左右不对称值为2mm,那么晚干预的患儿面下部左右不对称值就要达到4mm。因此,如果您家的孩子存在牙弓不对称,就要赶在生长发育高峰前尽早的扩弓,甚至在乳牙期(CS1)就要开始。张主任呼吁广大市民朋友切不可相信某些不良的宣传,一定要选择正规医疗机构进行矫治,避免错过最佳的治疗时机。选择适当的矫治时机、正确的矫治方案使得正畸治疗事半功倍!
儿童早期矫治时机的选择:
把握早期矫治的时机非常重要。由于儿童在此期间的生长发育速度较快,特别是在替牙列期,临床医生通常根据患儿全身骨龄进行综合判断,矫治应在生长发育高峰期前及生长发育高峰期进行,一般在青春生长高峰期前1-3年,约在10-12岁前(男性高峰期晚于女性2年左右),通常生长发育高峰期的评估是根据头颅侧位片的颈椎骨龄进行判断。上颌行扩大牙弓治疗,应在腭中缝融合前尽早治疗,一般不应大于15岁,否则扩大牙弓主要为后牙的颊向倾斜。
早期矫治的的适应症包括:
早期矫治的目标有限,早期矫治仅在牙颌面某一生长阶段进行,可能仅是整个矫治计划的一部分。判断是否进行早期矫治,一般而言,①去除影响口腔颌面部发育的口腔不良习惯②牙弓宽度不足或者牙弓不对称③个别牙齿错位影响下颌骨或者上颌骨的发育④上下颌骨宽度、矢状向异常(兜齿或者下颌后缩、上颌前突)以及垂直向异常(开合或者深覆合限制下颌骨发育者)
具体情况如下:
1.替牙列期前牙深覆合


(图为闭锁性深覆合矫治前后对比)
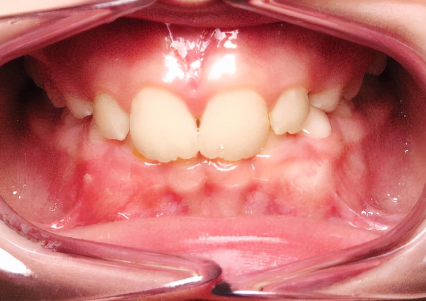
2.前牙反合(兜齿)

(图为反合矫治前后对比)
3.个别牙扭转异位可影响颌骨发育者


(图为上颌侧切扭转限制下颌发育矫治前后对比)
4.不良习惯矫治


(图为吮吸下唇习惯矫治前后对比)


(图为吐舌习惯矫治前后对比)
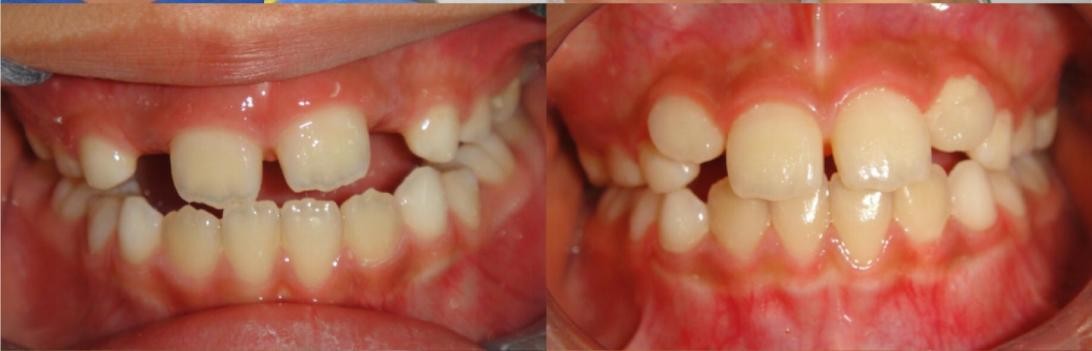
4.牙弓不对称


(图为单侧后牙反合一期矫治前后对比)
儿童早期矫治的矫治器有哪些呢?
早期矫治疗程不宜过长,一般不超过6-12个月。临床上,早期矫治多选用功能矫治器、活动矫治器、隐形矫治器、局部固定矫治器以及矫形力矫治器。
1.功能矫治器:多数是一种可摘戴矫治器,不影响口腔卫生和进食。对于存在骨性上下颌骨不调的患儿,需要采用功能矫治器,功能矫治器体积往往比较大,需要上下牙一起的佩戴,影响发音。治疗疗程相对较长,往往需要双期矫治。对于骨性错合的患儿如把握好矫治时机,矫治效果显著。

(图为前庭盾)
2.活动矫治器:固位于牙齿或粘膜上,患者可自行摘戴,不影响口腔卫生和进食。作用力比较简单,牙齿只能做单一方向上的移动。由于患儿乳牙牙冠相对较短,早期矫治往往在乳恒牙替换时进行治疗,牙套的固位力相对较差,想要获得很好的矫治效果往往需要更换几副牙套。一般仅适用于解决牙齿的扭转、咬合干扰等简单的牙列问题。

(图为去除不良吮吸下唇习惯的矫治器)
3.隐形矫治器:通过3D打印技术和计算机模拟排牙技术,隐形牙套可以做到牙齿三维方向上的移动,对于扩弓、低位牙齿、轻度拥挤等活动矫治器矫治效果不佳的情况,隐形矫治器均能达到很好的疗效。儿童1-2周更换1副矫治器,矫治器可自行摘戴不影响口腔卫生及进食。隐形矫治器采用薄的弹性膜片技术,佩戴矫治器时对发音影响小。另外,矫治器可以在运动期间帮助孩子保护牙齿,起到护齿的作用。患儿通常为替牙期儿童,处于乳恒牙替换阶段,隐形矫治器可以18个月内免费不限次数的重启制作,可以治疗多数的早期矫治问题,疗效明显,降低了因牙齿萌出乳牙脱落而中断治疗的风险,让患儿体验舒适的早期矫治。正畸科主任张苗苗教授认为隐形牙套作为近年来的新科技,对于牙弓宽度的扩弓作用效果显著,尤其是对于下颌后牙的宽度扩展,是其他活动矫治器所不能比的。本科室通过开展口腔扫描技术代替了传统的口腔模印技术,将儿童口内信息全部数字化之后运用计算机软件辅助进行三维诊断,不仅可以精确分析每一颗牙齿的移动步骤,还可以在正畸治疗前看到牙齿移动的全过程,让医患沟通更加直观。另外口扫技术,可以规避患儿制取印模过程产生的恶心、呕吐等不适。

(图为隐形矫治器)
- 局部固定矫治器:固定在牙齿上,患儿不能自行摘戴,所以矫治力比较持续,矫治效果很好。对于前牙区的牙齿不齐、扭转、间隙或间隙不足,可以通过简单的2×4技术进行矫治。由于不能自行摘戴,如果患儿不能够配合好好刷牙,会引起牙齿的龋坏、牙龈炎症等问题。
- 矫形力矫治器:利用患儿的生长发育潜力进行干预,促进或抑制颌骨的生长。应用于上下颌骨矢状向(前后向)或者横向(牙弓宽度)引起的不调,矫形力比较大,需要每天佩戴足够的时间。矫形力矫治器由口内装置和口外装置组成,需要患儿每天自行连接佩戴。

(图为扩弓矫治器)
哈尔滨医科大学口腔医学院正畸科张苗苗主任提醒,通过早期干预可以为恒牙创造了更多萌出间隙后,二期正畸治疗难度将大幅度降低,甚至不需要二期矫治。例如对于中度Ⅱ类患者(就是轻中度的“龅牙”或者“兔子牙”患儿),可通过扩弓及少量远移第一恒磨牙来减轻切牙前突,较少前牙受外伤的风险。
(刘博 张苗苗)
*以上图片均为本科室正畸患者照片以及本科室应用的矫治器照片,不得转发,如有转发追究法律责任。