图文并茂,精彩!
1、胆结石
可完全钙化,也可以表现为环形钙化,如胆囊切除术也可以导致结石脱落至肝下隐窝。

2、胆囊钙化
多见于慢性胆囊炎、瓷胆囊

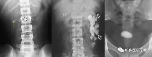
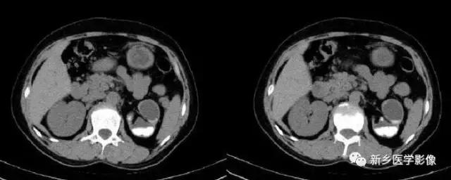
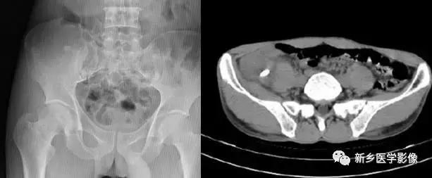
3、尿路结石
常见于尿路阳性结石,可以发生在尿路任何位置,如肾结石、输尿管结石及膀胱结石

4、腹部切口和注射部位
主要见于皮下脂肪层内,臀部多见。腹部平片有时候会误诊为腹腔病变。

5、慢性胰腺炎
主要表现为胰腺体积缩小,钙化,有时候假性囊肿囊壁也可钙化。

6、动脉钙化动脉瘤

7、肋软骨钙化(假象)
老年人多见,钙化不完全时,经验不足者腹部平片有时候可误诊为腹腔病变。

8、子宫平滑肌瘤(纤维瘤)
主要位于盆腔内,表现为不均一的点状钙化。

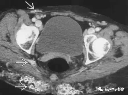
9、输精管钙化
主要表现为盆腔内对称性小钙化灶。
10、脾和肝肉芽肿
主要表现为点状的钙化,CT显示清晰,腹部平片有时候表现不明显。

11、静脉石

12、钙化的肠系膜淋巴结
主要表现为腹腔内弥漫性的小的、多发的钙化,大小可不一致。

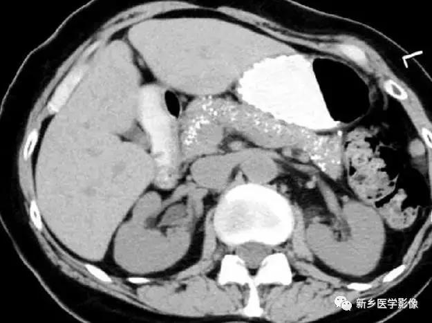
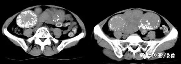
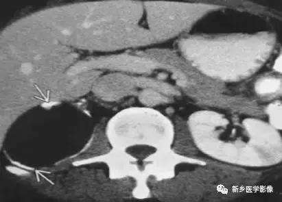
13、肾脏肿瘤
主要包括合并钙化的常见肿瘤或肿瘤样病变,如:肾囊肿,肾细胞癌,多房囊性肾瘤,多囊肝多囊肾囊壁钙化,肾脏结核,肾脏钙乳症。


14、阑尾结石(粪石)
主要位于右下腹部,表现为结节状、扁条状钙化。

15、前列腺钙化灶

16、卵巢肿瘤畸胎瘤
常见的为畸胎瘤以及合并钙化的卵巢癌。


17、铁质沉着综合征
主要表现为皮下组织钙化,多合并结缔组织症(如硬皮病、CREST综合征、系统性红斑狼疮、皮肌炎)。

18、棘球蚴病

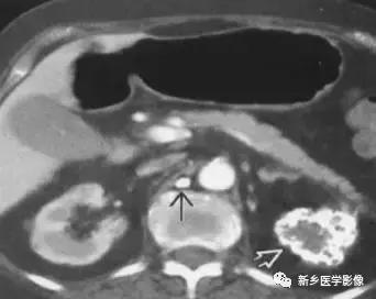
19、肾上腺囊性病变
主要包括合并钙化的感染性病变及肿瘤性病变,如: 肾上腺囊肿,肾上腺癌,嗜铬细胞瘤。

20、结核的腹部表现

21、阑尾粘液肿瘤

22、骨转移

23、其他
腹膜假性粘液瘤;腹膜炎(主要见于慢性纤维化腹膜炎);硬化性腹膜炎;肠系膜囊肿;肝转移灶和淋巴瘤;钙化或骨化的瘢痕(常见于切口部位,纵行多见);黏液囊性胰腺肿瘤
来源 | 新乡医学影像 作者 | 无泪幽灵
【版权声明】本平台属公益学习平台,转载系出于传递更多学习信息之目的,且已标明作者和出处,如不希望被传播的老师可与我们联系删除