
第25期
作者简介

袁兴运
西安交通大学第一附属医院
神经内科
国家高级卒中中心
病例一
临床信息:
性别:男
年龄:60岁
主诉:不语伴右侧肢体活动不能5小时。
现病史:5小时前安静休息过程中家属发现患者不能言语、右侧肢体活动不能,右上肢抬举不能,不能行走,伴有口角向左侧歪斜,发病时无恶心、呕吐,无肢体抽搐,左侧肢体有自发活动。
查体:嗜睡状,双眼向左侧凝视,混合型失语,右侧鼻唇沟浅,右侧肢体肌力0级,肌张力减低,右侧巴氏征(+)。
NIHSS评分:16分
既往发现血压高多年,间断服药,未监测。
发病到入院的时间:5小时
发病到CT的时间:5小时15分
发病到穿刺的时间:5小时30分
术前mTICI分级: 0 级
发病到第一次支架释放的时间:6小时15分
停留的时间:5分钟
发病到再通(mTICI 2b/3)的时间:6小时20分
术后mTICI分级: 3级
是否使用补救措施 否
NIHSS评分:术后即刻_2分;术后24小时_2分;术后48小时_1分;
术后72小时_出血 死亡。
耗材:
鞘:8F鞘
导引导管: 8F MPA
中间导管: 5F Navien
微导管: Rebar 18
导丝: SilverSpeed-14
Solitaire支架型号:Solitaire 4*20mm
其他器材使用情况: 4*30mm球囊
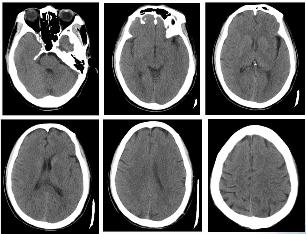
术前CT
ASPECTS评分 8分

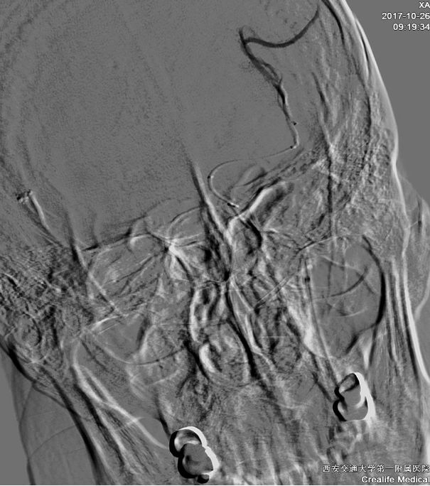
术前造影:
串联病变

ASITN/SIR 2级

球囊扩张

微导管在血栓远端造影

支架到位释放透视图+造影图
异常早显静脉

取出栓子

术后正侧位造影图片

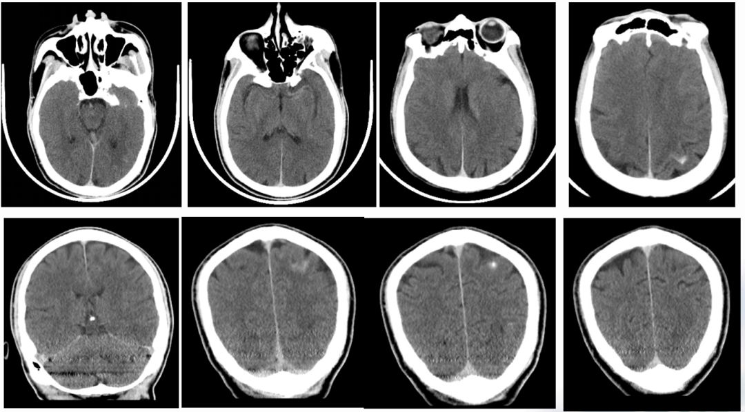
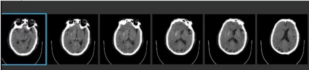
术后即刻CT

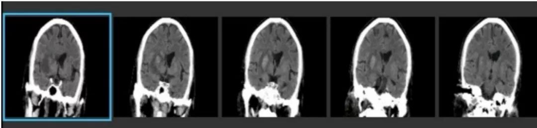
术后24h CT

术前NIHSS评分16分
术后24hNIHSS评分 2分
术后48hNIHSS评分

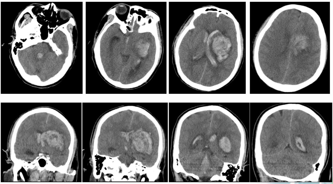
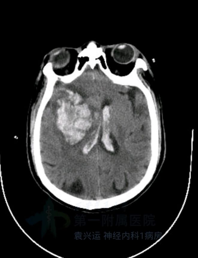
术后第3天,患者突然意识丧失,呼叫无反应,刺激右侧肢体无反应,左侧可见回缩,紧急头颅CT提示左侧半球大量脑出血并破入脑室,很快左侧瞳孔散大,深昏迷,家属拒绝行开颅血肿清除术,自动出院。
术后3天CT:

病例二
临床信息:
性别:男
年龄:68岁
主诉:头晕伴左侧肢体无力5小时。
现病史:5小时前活动过程中自觉头晕,伴左侧肢体无力,当时左上肢尚可持物,可自行行走,3小时前自觉症状加重,遂来我院。查体:嗜睡,对答基本切题,左侧鼻唇沟浅,右侧肢体肌力5级,左上肢肌力3级,左下肢肌力4级,左侧巴氏征(+)。
NIHSS评分:6分(嗜睡1+面瘫1+上肢2+下肢1+感觉1)
既往史:有高血压8年,间断服药,糖尿病病史3年,未治疗。
发病到入院的时间:5小时
发病到CT的时间:5小时15分
发病到穿刺的时间:6小时
术前mTICI分级: 0 级
发病到再通(mTICI 3级)的时间:6小时30分
术后mTICI分级: 3级
直接支架成型
NIHSS评分:术后即刻_1分;术后24小时_1分;术后36小时_2分;术后45 小时 22分 出血转化 放弃回家。
耗材信息:
鞘:8F鞘
导引导管: 8F MPA
微导管: Headway 21
导丝: Pilot 50 transend 300
支架型号:Wallstent 8*40mm 9*40mm
其他器材使用情况: 4*30mm球囊
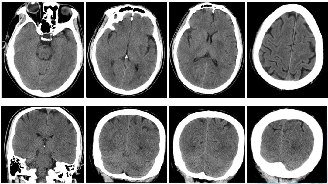
术前CT

术前MR
ASPECTS评分 8分

术前造影:
串联病变

双颈动脉支架

术后CT
24H

36H

45H

术前NIHSS评分 6分
术后24hNIHSS评分 1分
术后36hNIHSS评分 2分
术后45hNIHSS评分 22分

术前/术中/术后用药
术中抗凝:3000IU肝素
抗血小板:术前双联抗血小板(阿司匹林 100mg+氯吡格雷300mg),术后双抗一次,停用阿司匹林调整单用波立维。
降压药物:血压波动在100-110/60-90mmHg。
给予依达拉奉、丁苯酞保护治疗。
讨论
1.再灌注出血转化常常发生在24小时内,这两例患者都在症状好转24小时天后突然梗死后出现转化,令人防不胜防。
2.处理血压严密管理,镇静,早期较少抗栓药物,还要何办法避免此类灾难性结果出现。

点评专家

刘亚杰 教授
南方医科大学深圳医院神经内科主任医师、教授、博士、硕士研究生导师专业特长:从事神经内科临床工作近30年,掌握神经内科常见病及疑难病诊治。主要擅长:缺血性脑血管病诊治及预防,对脑卒中的诊治特别是,脑动脉狭窄介入治疗有较深入的研究。学会任职:广东省卒中学会第一届理事会副会长广东省老年保健协会神经内科专业委员会第二届常务委员广东省卒中学会缺血性神经介入分会主委深圳市卒中学会副会长深圳市医师协会神经内科医师分会第一届理事会副会长医疗卫生援黔专家团核心专家国家神经系统疾病医疗质量控制专家神经介入专业质控专家委员会委员中国贵阳健康大使。
点评:
本文两例脑卒中病例很好的反映了目前“真实世界“急诊再通手术的一个严重且重要的问题: 再灌注后脑出血,值得关注。根据我国2017年的ACTUAL研究,国内21个脑血管病中心纳入632例急性缺血性卒中患者,其中101例在脑动脉再通手术后72小时内出现症状性脑出血(15.98%)。此类患者的预后明显差于对照病例: 症状性脑出血患者的90天死亡率高达65.3%,显著高于无脑出血的患者(18.8%)。两个病例在病例选择、围手术期用药以及手术操作等各方面均符合规范,同时进行了严密的术后血压管理,仍不幸发生出血并发症,提示了对脑动脉急诊再通治疗后脑出血机制进行深入研究的必要性和迫切性。

推荐阅读
Recommended reading

径技·例量专栏
(往期合集)
长按下方二维码进入

神经介入在线作为中国卒中学会神经介入分会的官方公众号,现已成立三年。作为最早创建的神经介入专业的学术交流平台,由缪中荣教授团队倾力打造,秉承合作、创新、交流的宗旨,为医务工作者提供国内外神经介入领域最新资讯、指南,聚焦难点深度评论,引领学术前沿。
2019年致力搭建神经介入领域国内外最新医学资讯、研究进展、病例讨论、趣味科普等各项学术交流互动共享平台,整合医疗资源,发挥联盟优势,风雨共济,守候健康,我们在这里等你!

报名入口
取栓培训班
长按左侧二维码识别6.16开课
劲动脉培训班
长按左侧二维码识别6.23开课