X先生是一位普通的公司职员,在单位上班,每天辛苦的工作。加班到凌晨,熬夜通宵的搞业务更是常见的情况。

两周前,X先生和往常一样,加班到凌晨就回家了,他已经连续这样工作好几天了。第二天起床以后,X先生发现自己的左眼睛眼皮耷拉下来了,不管怎么用力睁眼,都是半闭半睁的状态,就好像不受自己控制一样,可是除了眼皮耷拉也没有任何其他症。“应该是这两天工作太累了,压力太大了没休息好吧”X先生这样想。就这样过去了一周,X先生的眼皮下垂仍然没有消失,并且出现了便秘的症状。“这周周末去检查一下吧”X先生坐在马桶上默默想着,同时也因为便秘鼓着气在用力排便。突然,他感觉到了一种“有生以来最剧烈的头痛”,并且感觉自己一侧的手脚开始发麻,活动不了了。这时候X先生觉得天旋地转,一种强烈的恶心的感觉让他剧烈呕吐了起来。妻子闻声急忙跑到卫生间来查看,看到X先生这个样子,立马拨打了120将X先生送到了医院,经过检查,X先生是颅内动脉瘤破裂出血,造成蛛网膜下腔出血,经过及时积极的手术治疗及后续的康复,X先生已经痊愈出院了。
这是发生在笔者身边的一则真实的病例。而导致这位患者发病的罪魁祸首只有一个,就是被称为颅内“定时*弹炸**”的脑动脉瘤。很多人可能对于这个疾病并不了解。那么什么是脑动脉瘤?为什么会发生脑动脉瘤?他有什么症状?该怎么治疗呢?让我们一一细说。
首先,什么是动脉瘤呢?它并不是肿瘤,而是血管壁局部变薄后形成囊性隆起,恰似老旧自行车内胎充气后局部鼓包一样。随着动脉瘤壁越来越薄最终破裂导致颅内出血----蛛网膜下腔出血。

局部血管壁超薄鼓包
那么为什么出现动脉瘤呢?动脉瘤出现的因素目前尚不十分清楚,但已知和下列因素有关:脑外伤、脑动脉硬化、先天性血管发育异常、血流冲击、感染等。获得性内弹力层的破坏是囊性脑动脉瘤形成的必要条件。内弹力层蜕变可能因动脉硬化,炎性反应和蛋白水解酶活性增加所致。高血压病人应警惕囊性动脉瘤的形成。也就是说,血压波动变化大,脑外伤,颅内感染,遗传因素都有可能会导致动脉瘤的发生。
在临床中导致脑动脉瘤破裂出血是有一些危险因素的。我给大家介绍主要的四种常见危险因素。第一种,这个病人患有一些基础疾病,比如说常见的三高:高血压,高血脂,高血糖。

警惕高血压
第二种,就是不良的生活习惯,比如抽烟,喝酒,长期熬夜,精神紧张,不规律的生活方式和饮食习惯。

腌制食品,辛辣食品,高盐食品宜少吃
第三种就是中老年人比较多见的动脉的粥样硬化。

动脉硬化血管内斑块形成
还有第四种就是家族的遗传因素,有些患者直系亲属患有动脉瘤或动脉瘤破裂出血的家族史,同样也是一种危险因素。
那动脉瘤都有啥表现?动脉瘤的表现有很多种,常常连见于以下这些表现:
(1)、前驱症状和体征:包括头痛,单侧眼眶或球后痛,伴动眼神经麻痹,恶心,呕吐,头晕的等。开头我们说到的X先生眼皮抬不起来,以及后期入院后出现的复视,都是动眼神经麻痹的症状。

动眼神经麻痹表现
(2)、出血症状:剧烈头痛,恶心呕吐,面色苍白,出冷汗,意识障碍,精神症状,癫痫

头晕头痛

恶心呕吐
(3)、体征:脑膜刺激征,单侧或双侧锥体束征,眼底出血

脑膜刺激征检查方法
动脉瘤最大的风险就是随时有可能会破裂,那么动脉瘤破裂出血都有啥表现?
(1)、患者首发症状大多为突发的剧烈头痛,被形容为“生平最剧烈的头痛”,如出血大可导致偏瘫、失语、抽搐、意识不清,昏迷甚至死亡。

偏瘫
(2)、颅内动脉瘤首次破裂出血死亡率约为30%,7%患者还未到医院就死亡了,幸存患者如不及时治疗会再次甚至多次出血,再次出血的死亡率为67%。
(3)、颅内动脉瘤患者部分伴有动眼神经麻痹,,单纯以眼睑下垂为首发症状者,很容易被误诊,患者往往以眼科疾病就诊。
笔者这里要说到的是,脑动脉瘤虽平时可能没有症状,但是它是非常凶险的一种疾病。一旦破裂出血,致残致死率是非常高的,大家一定要警惕。
说完脑动脉瘤的临床表现,我们再来说一说他的检查和治疗。
广大患者在医院就医的时候,可以通过以下检查来排除你是否得了脑动脉瘤:
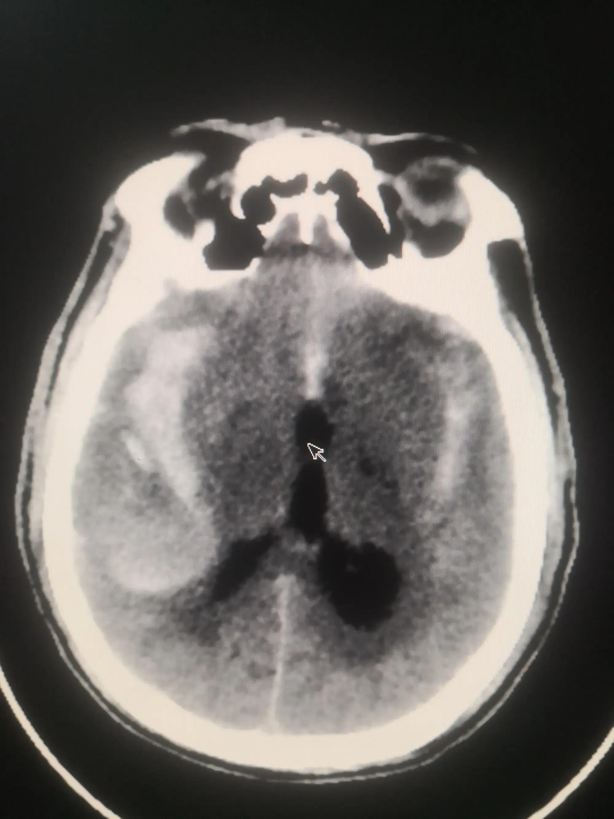
(1).头颅CT:诊断动脉瘤破裂引起蛛网膜下腔出血的首选方法。

蛛网膜下腔出血脑CT
(2).头部MRI:对颅底Willis的动脉瘤检出率,颅后窝、脑室系统少量出血以及动脉瘤内血栓形成、判断多发动脉瘤中破裂瘤体等优于CT。
(3).CTA及MRA,对于≥5mm动脉瘤检出敏感度可达95%~100%。

三位重建
(4).数字减影血管造影:DSA是诊断颅内动脉瘤必须的“金标准”。

DSA提示脑动脉瘤
临床上我们该怎么治疗脑动脉瘤呢?得了脑动脉瘤以后,有没有一种药物可以使脑动脉瘤从有变没?实际上到目前为止,没有任何一种特效药可以将脑动脉瘤从有变无?因为没有一种药物可以作用于特定的靶点上,使我们脑子里某个特定的血管上长出的动脉瘤消失。但是我们可以通过一些药物控制诱发脑动脉瘤破裂的危险因素。比如说这些患者有高血压,我们可以通过服用降压药使他们的血压控制在正常水平,防止在没有治疗之前脑动脉瘤破裂出血的风险。脑动脉瘤未破裂的脑动脉瘤一般采用手术治疗。手术治疗的目的是消除动脉瘤的破裂出血风险,其中包括手术治疗和介入治疗两大类。手术治疗的优点是可以根治,介入治疗的优点是并发症较少,需要结合患者的自身情况,才决定采取哪种治疗方式。
开颅手术治疗脑动脉瘤:(1)、动脉瘤颈夹闭或结扎:如果把动脉瘤比作一个充满气体的气球,那么动脉瘤颈就是气球系线的部分,医生通过手术的方式,将“气球”充气部分扎进,不再让气球继续充气。也就是说,手术目的在于阻断动脉瘤的血液供应,避免发生再出血。同时保持给动脉瘤供血的动脉继续通畅,以此维持脑组织正常血液循环。(2)、动脉瘤孤立术:动脉瘤孤立术则是把载瘤动脉在瘤的远端及近端同时夹闭,使动脉瘤孤立于血循环之外。(3)、动脉瘤包裹术:采用不同的材料加固动脉瘤壁,虽瘤腔内仍充血,但可减少破裂的机会。目前临床应用的有筋膜和棉丝等。

夹闭动脉瘤手术
血管内微创介入治疗脑动脉瘤:利用股动脉穿刺,将纤细的微导管放置于动脉瘤囊内或瘤颈部位,再经过微导管将柔软的钛合金弹簧圈送入动脉瘤囊内并将其充满,使得动脉瘤囊内血流消失,从而消除再次破裂出血的风险。

血管内栓塞动脉瘤
最后我们再说一说,动脉瘤患者平时注意哪些事情?
(1)避免剧烈运动、剧烈咳嗽、暴怒等容易引起血压波动的行为。

避免血压波动过大
(2)防治便秘。

注意饮食结构,防止便秘
(3)定期复查脑动脉瘤,如果发现动脉瘤形态变化随时处理。

定时复查动脉瘤
好啦,今天的科普就到这里。 如果您有脑动脉瘤相关的问题,欢迎在评论区留言。关注我,带您了解更多医学知识!