文|羊驼妈妈(文章原创,版权归本作者所有,欢迎个人转发分享)
现在国人的生活质量已经提升,很多家长都希望给孩子最好最精致的生活,满足孩子需求就成为很多家长的目标。就比如去一趟超市,孩子想买的零食一定是最多的,吃的喝的应有尽有,但孩子经常吃零食,麻烦也比较多。
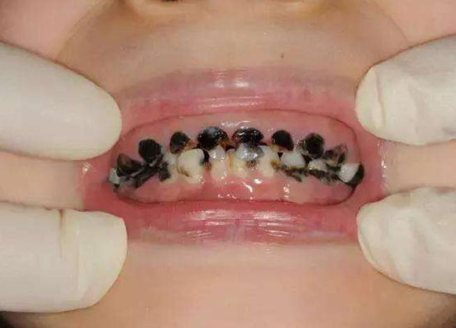
最近宝妈小晨发现自家宝宝的牙越来越黑,明明不到换牙的年龄,牙齿就开始脱落了。有些着急的小晨马上带着宝宝去医院做检查,发现孩子有轻微龋齿的问题。小晨认为,这与宝宝平时吃零食太多有关系,尤其是各种各样的糖果,每次不让孩子吃的时候,孩儿他爸总是偷偷给孩子拿,也是让人上火,这下好了吧,小小年纪牙齿就这么“烂”,以后可怎么办啊。但是医生给小晨的反馈,却让她有点意外。医生说:“宝宝的牙齿,可不是吃糖吃的”。

宝宝牙齿“稀烂”,不一定是糖果的锅,家长这些习惯要谨慎。
很多家长在宝宝小的时候,就非常忌讳给他们吃甜食,尤其是各种各样的糖果,孩子想都别想。因为妈妈们担心宝宝小小年纪,牙齿就出现问题,如果被蛀虫盯上,孩子的牙就危险了。不过,宝宝牙齿不好,与蛀虫有关,与细菌也有关。

如何保护宝宝们的牙齿?
1、家长吃过的食物,最好不要给宝宝
成年人耐受的细菌,和宝宝们耐受的细菌可不是一回事。有些家长总喜欢给宝宝吃自己吃过的食物,虽然发生细菌感染的概率不大,但禁不住次数太多,时间太久。成年人口腔中的细菌进入孩子口中,就可能出现细菌感染,导致龋齿。
2、从不定期检查宝宝牙齿
宝宝与成年人的身体状态不同,他们的器官还没有发育完全,牙齿也是一样,如果想让宝宝长出健康整洁的牙,定期检查也非常关键,这样也能时刻预防牙齿出现龋齿的风险,发现问题及时看医生还是很有必要的。

3、帮孩子刷牙,然后让他们养成刷牙的好习惯
如今,很多成年人的护牙意识已经有所提高,有些家长也会带着孩子一起刷牙,让他们从小就有爱牙意识,经常刷牙对口腔健康也有很多好处,尤其是吃过甜食以后,及时清理牙齿就能预防龋齿的发生,所以,尽早让孩子养成刷牙的好习惯很有必要。

总之,孩子的牙齿不好,不一定与吃糖有关,食物中的细菌也可能诱发龋齿等牙齿问题,家长们一定要注意自己的习惯,不要随便给宝宝喂自己吃过的食物,帮他们养成好习惯,孩子才能有一口好牙。
你家宝宝现在开始刷牙了吗?关于宝宝的牙齿问题,宝妈们还有哪些疑问呢?欢迎留言一起讨论。
-----------------------
在育儿过程中,无论遇到任何问题都可以找我,希望我的一点建议,能帮助你解决带娃过程中的烦恼与困惑。
我是羊驼妈妈,是一名高级育婴师、家庭教育指导师,也是3岁宝宝的妈妈,
更多育儿母婴知识请关注我们,如果您喜欢这篇文章,请点赞或分享给更多的人!